Skip to main content

IRF3 Antibody (SD2062)

Novus Biologicals, part of Bio-Techne | Catalog # NBP2-67741

Recombinant Monoclonal Antibody
Novus Biologicals, part of Bio-Techne
Catalog #
Availability
Size / Price
Qty
Loading...
NBP2-67741

Key Product Details

Species Reactivity

Human, Mouse, Rat

Applications

Immunohistochemistry, Immunohistochemistry-Paraffin, Western Blot, Flow Cytometry, Immunocytochemistry/ Immunofluorescence

Label

Unconjugated

Antibody Source

Recombinant Monoclonal Rabbit IgG Clone # SD2062 expressed in HEK293

Concentration

1 mg/ml

Product Specifications

Immunogen

Synthetic peptide within Human IRF3 aa 71-120 / 427. (SwissProt: Q14653 Human; SwissProt: P70671 Mouse)

Localization

Cytoplasm, Nucleus.

Clonality

Monoclonal

Host

Rabbit

Isotype

IgG

Scientific Data Images for IRF3 Antibody (SD2062)

Western Blot: IRF3 Antibody (SD2062) [NBP2-67741]

Western Blot: IRF3 Antibody (SD2062) [NBP2-67741]

Western Blot: IRF3 Antibody (SD2062) [NBP2-67741] - Analysis of IRF3 on different lysates. Proteins were transferred to a PVDF membrane and blocked with 5% BSA in PBS for 1 hour at room temperature. The primary antibody (1/500) was used in 5% BSA at room temperature for 2 hours. Goat Anti-Rabbit IgG - HRP Secondary Antibody at 1:5,000 dilution was used for 1 hour at room temperature. Positive control: Lane 1: Jurkat cell lysateLane 2: Hela cell lysate
Immunocytochemistry/ Immunofluorescence: IRF3 Antibody (SD2062) [NBP2-67741]

Immunocytochemistry/ Immunofluorescence: IRF3 Antibody (SD2062) [NBP2-67741]

Immunocytochemistry/Immunofluorescence: IRF3 Antibody (SD2062) [NBP2-67741] - Staining IRF3 in PANC-1 cells (green). The nuclear counter stain is DAPI (blue). Cells were fixed in paraformaldehyde, permeabilised with 0.25% Triton X100/PBS.
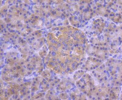
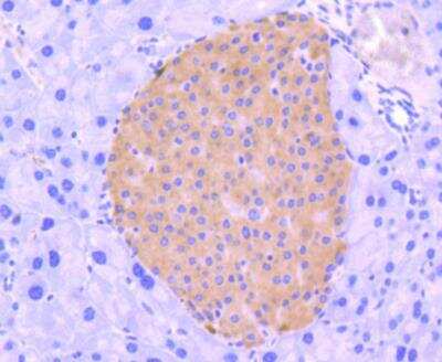
Immunohistochemistry-Paraffin: IRF3 Antibody (SD2062) [NBP2-67741]

Immunohistochemistry-Paraffin: IRF3 Antibody (SD2062) [NBP2-67741]

Immunohistochemistry-Paraffin: IRF3 Antibody (SD2062) [NBP2-67741] - Analysis of paraffin-embedded mouse pancreas tissue using anti-IRF3 antibody. Counter stained with hematoxylin.

Applications for IRF3 Antibody (SD2062)

Application
Recommended Usage

Flow Cytometry

1:50-1:100

Immunocytochemistry/ Immunofluorescence

1:50-1:200

Immunohistochemistry-Paraffin

1:50-1:200

Western Blot

1:500-1:5000

Formulation, Preparation, and Storage

Purification

Protein A purified

Formulation

TBS (pH7.4), 0.05% BSA, 40% Glycerol

Preservative

0.05% Sodium Azide

Concentration

1 mg/ml

Shipping

The product is shipped with polar packs. Upon receipt, store it immediately at the temperature recommended below.

Stability & Storage

Store at 4C short term. Aliquot and store at -20C long term. Avoid freeze-thaw cycles.

Background: IRF3

IRF3 is a family of interferon (IFN) regulatory factors (IRFs) have been shown to play a role in transcription of IFN genes as well as IFN-stimulated genes. The IRF-3 gene encodes a 50-kDa protein that binds specifically to the IFN-stimulated response element (ISRE) but not to the IRF-1 binding site PRD-I. Overexpression of IRF-3 stimulates expression of the IFN-stimulated gene 15 (ISG15) promoter, an ISRE-containing promoter. he high amino acid homology between IRF-3 and ISG factor 3 gamma polypeptide (ISGF3 gamma) and their similar binding properties indicate that, like ISGF3 gamma, IRF-3 may activate transcription by complex formation with other transcriptional factors, possibly members of the Stat family (1). IRF-3 is expressed constitutively in a variety of tissues, and the relative levels of IRF-3 mRNA do not change in virus-infected or IFN-treated cells. (2). In uninfected cells, the IRF-3 component of DRAF1 resides in the cytoplasm. The cytoplasmic localization of IRF-3 is dependent on a nuclear export signal, and IRF-3 is recognized by the chromosome region maintenance 1 (CRM1) (also known as exportin 1) shuttling receptor. Following infection and specific phosphorylation, IRF-3 accumulates in the nucleus where it associates with CBP and p300 (3).

Long Name

Interferon Regulatory Factor 3

Alternate Names

interferon regulatory factor 3, IRF-3

Gene Symbol

IRF3

Additional IRF3 Products

Product Documents for IRF3 Antibody (SD2062)

Certificate of Analysis

To download a Certificate of Analysis, please enter a lot number in the search box below.

Product Specific Notices for IRF3 Antibody (SD2062)

This product is for research use only and is not approved for use in humans or in clinical diagnosis. Primary Antibodies are guaranteed for 1 year from date of receipt.

Loading...
Loading...
Loading...
Loading...
Loading...