Skip to main content

Inhibin beta A Antibody (CL15357) [Unconjugated] - BSA Free

Novus Biologicals, part of Bio-Techne | Catalog # NBP3-43663

Novus Biologicals, part of Bio-Techne
Catalog #
Availability
Size / Price
Qty
Loading...
NBP3-43663-100ul
NBP3-43663-25ul

Key Product Details

Validated by

Orthogonal Validation

Species Reactivity

Human, Rat

Applications

Immunohistochemistry, Immunohistochemistry-Paraffin, Western Blot

Label

Unconjugated

Antibody Source

Monoclonal Mouse IgG1 Clone # CL15357

Format

BSA Free

Concentration

1 mg/ml

Product Specifications

Immunogen

This antibody was generated using a recombinant protein sequence of P08476, with the exact immunogen sequence remaining proprietary.

Clonality

Monoclonal

Host

Mouse

Isotype

IgG1

Description

Novus Biologicals Mouse Inhibin beta A Antibody (CL15357) [Unconjugated] - BSA Free (NBP3-43663) is a monoclonal antibody validated for use in IHC and WB. All Novus Biologicals antibodies are covered by our 100% guarantee.

Scientific Data Images for Inhibin beta A Antibody (CL15357) [Unconjugated] - BSA Free

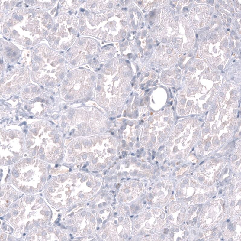
Inhibin beta A Antibody (CL15357) [Unconjugated] Immunohistochemistry-Paraffin: Inhibin beta A Antibody (CL15357) [NBP3-43663]

Immunohistochemistry-Paraffin: Inhibin beta A Antibody (CL15357) [NBP3-43663]

Analysis in human placenta and kidney tissues using NBP3-43663 antibody. Corresponding INHBA RNA-seq data are presented for the same tissues.
Inhibin beta A Antibody (CL15357) [Unconjugated] Immunohistochemistry-Paraffin: Inhibin beta A Antibody (CL15357) [NBP3-43663]

Immunohistochemistry-Paraffin: Inhibin beta A Antibody (CL15357) [NBP3-43663]

Staining of human prostate shows no positivity in glandular cells as expected.
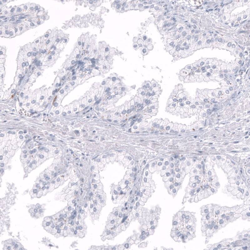
Inhibin beta A Antibody (CL15357) [Unconjugated] Immunohistochemistry-Paraffin: Inhibin beta A Antibody (CL15357) [NBP3-43663]

Immunohistochemistry-Paraffin: Inhibin beta A Antibody (CL15357) [NBP3-43663]

Staining of rat cerebral cortex shows moderate cytoplasmic positivity in a subset of neurons in the upper layers.

Applications for Inhibin beta A Antibody (CL15357) [Unconjugated] - BSA Free

Application
Recommended Usage

Immunohistochemistry

1:50 - 1:200

Immunohistochemistry-Paraffin

1:50 - 1:200

Western Blot

1 ug/ml
Application Notes
For IHC-Paraffin, HIER pH 6 retrieval is recommended.

Formulation, Preparation, and Storage

Purification

Protein A purified

Formulation

PBS, pH 7.2, 40% glycerol

Format

BSA Free

Preservative

0.02% Sodium Azide

Concentration

1 mg/ml

Shipping

The product is shipped with polar packs. Upon receipt, store it immediately at the temperature recommended below.

Stability & Storage

Store at 4C short term. Aliquot and store at -20C long term. Avoid freeze-thaw cycles.

Background: INHBA

The inhibin beta A subunit joins the alpha subunit to form a pituitary FSH secretion inhibitor. Inhibin has been shown to regulate gonadal stromal cell proliferation negatively and to have tumor-suppressor activity. In addition, serum levels of inhibin have been shown to reflect the size of granulosa-cell tumors and can therefore be used as a marker for primary as well as recurrent disease. Because expression in gonadal and various extragonadal tissues may vary severalfold in a tissue-specific fashion, it is proposed that inhibin may be both a growth/differentiation factor and a hormone. Furthermore, the beta A subunit forms a homodimer, activin A, and also joins with a beta B subunit to form a heterodimer, activin AB, both of which stimulate FSH secretion. Finally, it has been shown that the beta A subunit mRNA is identical to the erythroid differentiation factor subunit mRNA and that only one gene for this mRNA exists in the human genome.

Long Name

Inhibin Subunit Beta A

Alternate Names

Activin Beta A, Inhibin Beta A, Inhibin Subunit Beta A

Gene Symbol

INHBA

Additional INHBA Products

Product Documents for Inhibin beta A Antibody (CL15357) [Unconjugated] - BSA Free

Certificate of Analysis

To download a Certificate of Analysis, please enter a lot number in the search box below.

Product Specific Notices for Inhibin beta A Antibody (CL15357) [Unconjugated] - BSA Free

This product is for research use only and is not approved for use in humans or in clinical diagnosis. Primary Antibodies are guaranteed for 1 year from date of receipt.

Loading...
Loading...
Loading...
Loading...