Skip to main content

INCA1 Antibody - BSA Free

Novus Biologicals, part of Bio-Techne | Catalog # NBP1-90960

Novus Biologicals, part of Bio-Techne
Catalog #
Availability
Size / Price
Qty
Loading...
NBP1-90960
NBP1-90960-25ul

Key Product Details

Species Reactivity

Human

Applications

Immunohistochemistry, Immunohistochemistry-Paraffin

Label

Unconjugated

Antibody Source

Polyclonal Rabbit IgG

Format

BSA Free

Concentration

Concentrations vary lot to lot. See vial label for concentration. If unlisted please contact technical services.

Product Specifications

Immunogen

This antibody was developed against Recombinant Protein corresponding to amino acids: KKRRPCLEGMQQQGLGGVPARVRAVTYHLEDLRRRQSIINELKKAQWGSSGAASEPVVLGEEGCGFPSTNEYPD

Clonality

Polyclonal

Host

Rabbit

Isotype

IgG

Scientific Data Images for INCA1 Antibody - BSA Free

Immunohistochemistry-Paraffin: INCA1 Antibody [NBP1-90960]

Immunohistochemistry-Paraffin: INCA1 Antibody [NBP1-90960]

Immunohistochemistry-Paraffin: INCA1 Antibody [NBP1-90960] - Staining of human liver shows strong cytoplasmic and nuclear positivity in hepatocytes.
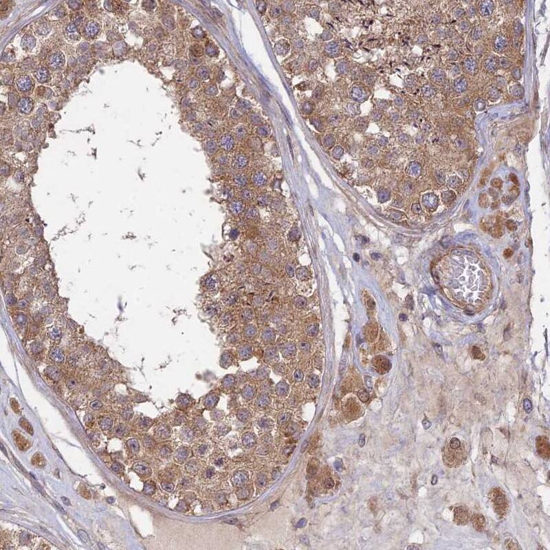
INCA1 Antibody - BSA Free Immunohistochemistry: INCA1 Antibody - BSA Free [NBP1-90960]

Immunohistochemistry: INCA1 Antibody - BSA Free [NBP1-90960]

Staining of human testis shows moderate cytoplasmic positivity in cells in seminiferous ducts and Leydig cells.

Applications for INCA1 Antibody - BSA Free

Application
Recommended Usage

Immunohistochemistry

1:200 - 1:500

Immunohistochemistry-Paraffin

1:200 - 1:500
Application Notes
For IHC-Paraffin, HIER pH 6 retrieval is recommended. Immunocytochemistry/Immunofluorescence Fixation Permeabilization: Use PFA/Triton X-100.

Formulation, Preparation, and Storage

Purification

Affinity purified

Formulation

PBS (pH 7.2) and 40% Glycerol

Format

BSA Free

Preservative

0.02% Sodium Azide

Concentration

Concentrations vary lot to lot. See vial label for concentration. If unlisted please contact technical services.

Shipping

The product is shipped with polar packs. Upon receipt, store it immediately at the temperature recommended below.

Stability & Storage

Store at 4C short term. Aliquot and store at -20C long term. Avoid freeze-thaw cycles.

Background: INCA1

Alternate Names

HSD45, inhibitor of CDK, cyclin A1 interacting protein 1, MGC148150, MGC148151, protein INCA1

Gene Symbol

INCA1

UniProt

Additional INCA1 Products

Product Documents for INCA1 Antibody - BSA Free

Certificate of Analysis

To download a Certificate of Analysis, please enter a lot number in the search box below.

Product Specific Notices for INCA1 Antibody - BSA Free

This product is for research use only and is not approved for use in humans or in clinical diagnosis. Primary Antibodies are guaranteed for 1 year from date of receipt.

Loading...
Loading...
Loading...
Loading...