Skip to main content

Importin-7 Antibody

Novus Biologicals, part of Bio-Techne | Catalog # NBP2-27150

Novus Biologicals, part of Bio-Techne
Catalog #
Availability
Size / Price
Qty
Loading...
NBP2-27150
NBP2-27150SS

Key Product Details

Species Reactivity

Validated:

Human, Rat, Primate

Cited:

Rat, Primate - Cercopithecus aethiops (African Green Monkey)

Predicted:

Mouse (100%). Backed by our 100% Guarantee.

Applications

Validated:

Immunohistochemistry, Immunohistochemistry-Paraffin, Western Blot, In vitro assay

Cited:

Western Blot, In vitro assay

Label

Unconjugated

Antibody Source

Polyclonal Rabbit IgG

Concentration

0.5 mg/ml

Product Specifications

Immunogen

A portion of amino acids 1-76 of human IOP7 was used as the immunogen.

Reactivity Notes

The amino acid sequence used as immunogen is 88% homologous in Xenopus. Primate reactivity reported in scientific literature (PMID: 24100013). Rat reactivity reported in scientific literature (PMID: 24184208).

Clonality

Polyclonal

Host

Rabbit

Isotype

IgG

Description

Novus Biologicals Rabbit Importin-7 Antibody (NBP2-27150) is a polyclonal antibody validated for use in IHC and WB. Anti-Importin-7 Antibody: Cited in 2 publications. All Novus Biologicals antibodies are covered by our 100% guarantee.

Scientific Data Images for Importin-7 Antibody

Western Blot: Importin-7 Antibody [NBP2-27150]

Western Blot: Importin-7 Antibody [NBP2-27150]

Western Blot: Importin-7 Antibody [NBP2-27150] - Analysis of IOP7 in MCF7 cell lysate in the 1) absence and 2) presence of immunizing peptide, and 3) RAW cell lysate using this antibody. Goat anti-rabbit Ig HRP secondary antibody and PicoTect ECL substrate solution were used for this test.
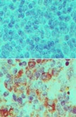
Immunohistochemistry-Paraffin: Importin-7 Antibody [NBP2-27150]

Immunohistochemistry-Paraffin: Importin-7 Antibody [NBP2-27150]

Immunohistochemistry-Paraffin: Importin-7 Antibody [NBP2-27150] - Analysis of IOP7 in formalin-fixed, paraffin-embedded mouse spleen tissue using an isotype control (top) and this antibody (bottom) at 5 ug/ml.

Applications for Importin-7 Antibody

Application
Recommended Usage

Immunohistochemistry-Paraffin

5ug/ml

In vitro assay

reported in scientific literature (PMID 24184208)

Western Blot

1-3ug/ml~

Formulation, Preparation, and Storage

Purification

Protein A purified

Formulation

PBS and 0.05% BSA

Preservative

0.05% Sodium Azide

Concentration

0.5 mg/ml

Shipping

The product is shipped with polar packs. Upon receipt, store it immediately at the temperature recommended below.

Stability & Storage

Store at 4C short term. Aliquot and store at -20C long term. Avoid freeze-thaw cycles.

Background: Importin-7

Importin-7 (IOP7) belongs to the Importin beta family and contains an importin N-terminal domain. It functions in nuclear protein import in association with importin-beta subunit kPNB1. It mediates autonomously the nuclear import of ribosomal proteins RPL23A, RPS7 and RPL5 and the nuclear import of H2A, H2B, H3 and H4 histones in vitro. Studies suggest it acts as a nuclear import receptor for the Glucocorticoid receptors. It also acts as a receptor for nuclear localization signals (NLS) and to promote translocation of import substrates through the nuclear pore complex (NPC) by an energy requiring, Ran-dependent mechanism. Reports indicate that in HIV-1 infection, IOP7 binds and mediates the nuclear import of HIV-1 Rev.

Alternate Names

FLJ14581, Imp7MGC138673, importin 7, RAN binding protein 7, Ran-binding protein 7, RanBP7, RANBP7importin-7

Gene Symbol

IPO7

Additional Importin-7 Products

Product Documents for Importin-7 Antibody

Certificate of Analysis

To download a Certificate of Analysis, please enter a lot number in the search box below.

Product Specific Notices for Importin-7 Antibody

This product is for research use only and is not approved for use in humans or in clinical diagnosis. Primary Antibodies are guaranteed for 1 year from date of receipt.

Loading...
Loading...
Loading...
Loading...