Skip to main content

IL-13R alpha 2 Antibody (PSH03-85)

Novus Biologicals, part of Bio-Techne | Catalog # NBP3-32466

Recombinant Monoclonal Antibody
Novus Biologicals, part of Bio-Techne
Catalog #
Availability
Size / Price
Qty
Loading...
NBP3-32466

Key Product Details

Species Reactivity

Human

Applications

Flow Cytometry, Immunocytochemistry/ Immunofluorescence, Immunohistochemistry, Immunohistochemistry-Paraffin, Western Blot

Label

Unconjugated

Antibody Source

Recombinant Monoclonal Rabbit IgG Clone # PSH03-85 expressed in HEK293

Concentration

1 mg/ml

Product Specifications

Immunogen

Recombinant protein within human IL-13R alpha 2 aa 1-350 / 380. (Uniprot: Q14627)

Localization

Membrane.

Clonality

Monoclonal

Host

Rabbit

Isotype

IgG

Theoretical MW

44 kDa.
Disclaimer note: The observed molecular weight of the protein may vary from the listed predicted molecular weight due to post translational modifications, post translation cleavages, relative charges, and other experimental factors.

Description

Novus Biologicals Rabbit IL-13R alpha 2 Antibody (PSH03-85) (NBP3-32466) is a recombinant monoclonal antibody validated for use in IHC, WB, Flow and ICC/IF. All Novus Biologicals antibodies are covered by our 100% guarantee.

Scientific Data Images for IL-13R alpha 2 Antibody (PSH03-85)

IL-13R alpha 2 Antibody (PSH03-85)

Western Blot: IL-13R alpha 2 Antibody (PSH03-85) [NBP3-32466]

Western Blot: IL-13R alpha 2 Antibody (PSH03-85) [NBP3-32466] - Western blot analysis of IL-13R alpha 2 on different lysates with Rabbit anti-IL-13R alpha 2 antibody (NBP3-32466) at 1/2,000 dilution.

Lane 1: A375 cell lysate (no heat)
Lane 2: U-937 cell lysate (no heat) (negative)
Lane 3: Daudi cell lysate (negative)

Lysates/proteins at 20 ug/Lane.

Predicted band size: 44 kDa
Observed band size: 50-80 kDa

Exposure time: 25 seconds;

4-20% SDS-PAGE gel.

Proteins were transferred to a PVDF membrane and blocked with 5% NFDM/TBST for 1 hour at room temperature. The primary antibody (NBP3-32466) at 1/2,000 dilution was used in 5% NFDM/TBST at 4 overnight. Goat Anti-Rabbit IgG - HRP Secondary Antibody at 1/50,000 dilution was used for 1 hour at room temperature.
IL-13R alpha 2 Antibody (PSH03-85)

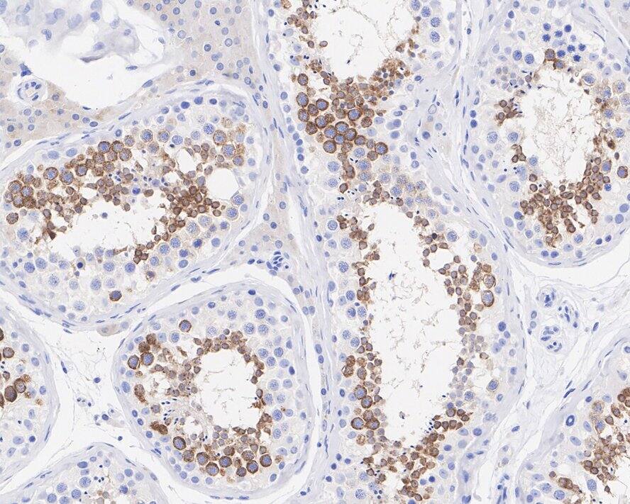
Immunohistochemistry: IL-13R alpha 2 Antibody (PSH03-85) [NBP3-32466]

Immunohistochemistry: IL-13R alpha 2 Antibody (PSH03-85) [NBP3-32466] - Immunohistochemical analysis of paraffin-embedded human testis tissue with Rabbit anti-IL-13R alpha 2 antibody (NBP3-32466) at 1/1,000 dilution.

The section was pre-treated using heat mediated antigen retrieval with Tris-EDTA buffer (pH 9.0) for 20 minutes. The tissues were blocked in 1% BSA for 20 minutes at room temperature, washed with ddH2O and PBS, and then probed with the primary antibody (NBP3-32466) at 1/1,000 dilution for 1 hour at room temperature. The detection was performed using an HRP conjugated compact polymer system. DAB was used as the chromogen. Tissues were counterstained with hematoxylin and mounted with DPX.
IL-13R alpha 2 Antibody (PSH03-85)

Flow Cytometry: IL-13R alpha 2 Antibody (PSH03-85) [NBP3-32466]

Flow Cytometry: IL-13R alpha 2 Antibody (PSH03-85) [NBP3-32466] - Flow cytometric analysis of A375 (positive) and U-937 (negative) cells labeling IL-13R alpha 2.

Cells were washed twice with cold PBS and resuspend. Then stained with the primary antibody (NBP3-32466, 1μg/mL) (red) compared with Rabbit IgG Isotype Control (green). After incubation of the primary antibody at +4℃ for an hour, the cells were stained with a iFluor™ 488 conjugate-Goat anti-Rabbit IgG Secondary antibody at 1/1,000 dilution for 30 minutes at +4℃. Unlabelled sample was used as a control (cells without incubation with primary antibody; black).

Applications for IL-13R alpha 2 Antibody (PSH03-85)

Application
Recommended Usage

Flow Cytometry

1:1000

Immunohistochemistry-Paraffin

1:1000

Western Blot

1:2000

Formulation, Preparation, and Storage

Purification

Protein A purified

Formulation

PBS (pH7.4), 0.1% BSA and 40% Glycerol

Preservative

0.05% Sodium Azide

Concentration

1 mg/ml

Shipping

The product is shipped with polar packs. Upon receipt, store it immediately at the temperature recommended below.

Stability & Storage

Store at 4C short term. Aliquot and store at -20C long term. Avoid freeze-thaw cycles.

Background: IL-13 R alpha 2

IL13 receptor alpha 2 is encoded by this gene is closely related to Il13RA1, a subuint of the interleukin 13 receptor complex. This protein binds IL13 with high affinity, but lacks cytoplasmic domain, and does not appear to function as a signal mediator. It is reported to play a role in the internalization of IL13.

Long Name

Interleukin 13 Receptor alpha 2

Alternate Names

CD213a2, IL-13Ra2, IL13R alpha 2, IL13RA2

Gene Symbol

IL13RA2

Additional IL-13 R alpha 2 Products

Product Documents for IL-13R alpha 2 Antibody (PSH03-85)

Certificate of Analysis

To download a Certificate of Analysis, please enter a lot number in the search box below.

Product Specific Notices for IL-13R alpha 2 Antibody (PSH03-85)

This product is for research use only and is not approved for use in humans or in clinical diagnosis. Primary Antibodies are guaranteed for 1 year from date of receipt.

Loading...
Loading...
Loading...
Loading...
Loading...