Skip to main content

IKK gamma Antibody (HL1577) - Azide and BSA Free

Novus Biologicals, part of Bio-Techne | Catalog # NBP3-25521

Recombinant Monoclonal Antibody
Novus Biologicals, part of Bio-Techne
Catalog #
Availability
Size / Price
Qty
Loading...
NBP3-25521

Key Product Details

Species Reactivity

Validated:

Human, Mouse

Predicted:

Rabbit (92%), Rat (90%). Backed by our 100% Guarantee.

Applications

Immunohistochemistry, Immunohistochemistry-Paraffin, Western Blot, Immunocytochemistry/ Immunofluorescence

Label

Unconjugated

Antibody Source

Recombinant Monoclonal Rabbit IgG Clone # HL1577 expressed in HEK293

Format

Azide and BSA Free

Concentration

Concentrations vary lot to lot. See vial label for concentration. If unlisted please contact technical services.

Product Specifications

Immunogen

Recombinant protein encompassing a sequence within the center region of human IKK gamma. The exact sequence is proprietary.

Reactivity Notes

Immunogen displays the following percentage of sequence identity for non-tested species: Bovine (84%), Porcine (87%).

Clonality

Monoclonal

Host

Rabbit

Isotype

IgG

Description

Novus Biologicals Rabbit IKK gamma Antibody (HL1577) - Azide and BSA Free (NBP3-25521) is a recombinant monoclonal antibody validated for use in IHC, WB and ICC/IF. All Novus Biologicals antibodies are covered by our 100% guarantee.

Scientific Data Images for IKK gamma Antibody (HL1577) - Azide and BSA Free

IKK gamma Antibody (HL1577) - Azide and BSA Free

Immunocytochemistry/Immunofluorescence: IKK gamma Antibody (HL1577) - Azide and BSA Free [NBP3-25521] -

Immunocytochemistry/Immunofluorescence: IKK gamma Antibody (HL1577) - Azide and BSA Free [NBP3-25521] - IKK gamma antibody [HL1577] detects IKK gamma protein at cytoplasm and nucleus by immunofluorescent analysis. Sample: HeLa cells were fixed in 4% paraformaldehyde at RT for 15 min. Green: IKK gamma stained by IKK gamma antibody [HL1577] (NBP3-25521) diluted at 1:500. Red: alpha Tubulin, a cytoskeleton marker, stained by alpha Tubulin antibody [GT114] diluted at 1:1000.
IKK gamma Antibody (HL1577) - Azide and BSA Free

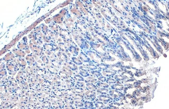
Immunohistochemistry-Paraffin: IKK gamma Antibody (HL1577) - Azide and BSA Free [NBP3-25521] -

Immunohistochemistry-Paraffin: IKK gamma Antibody (HL1577) - Azide and BSA Free [NBP3-25521] - IKK gamma antibody [HL1577] detects IKK gamma protein at cytoplasm by immunohistochemical analysis. Sample: Paraffin-embedded mouse stomach. IKK gamma stained by IKK gamma antibody [HL1577] (NBP3-25521) diluted at 1:100. Antigen Retrieval: Citrate buffer, pH 6.0, 15 min
IKK gamma Antibody (HL1577) - Azide and BSA Free

Western Blot: IKK gamma Antibody (HL1577) - Azide and BSA Free [NBP3-25521] -

Western Blot: IKK gamma Antibody (HL1577) - Azide and BSA Free [NBP3-25521] - Whole cell extract (10 ug) was separated by 10% SDS-PAGE, and the membrane was blotted with IKK gamma antibody [HL1577] (NBP3-25521) diluted at 1:1000. The HRP-conjugated anti-rabbit IgG antibody was used to detect the primary antibody.

Applications for IKK gamma Antibody (HL1577) - Azide and BSA Free

Application
Recommended Usage

Western Blot

1:500-1:3000

Formulation, Preparation, and Storage

Purification

Protein A purified

Formulation

PBS

Format

Azide and BSA Free

Preservative

No Preservative

Concentration

Concentrations vary lot to lot. See vial label for concentration. If unlisted please contact technical services.

Shipping

The product is shipped with polar packs. Upon receipt, store it immediately at the temperature recommended below.

Stability & Storage

Store at 4C short term. Aliquot and store at -20C long term. Avoid freeze-thaw cycles.

Background: IKK gamma

Familial incontinentia pigmenti (IP) is a genodermatosis that segregates as an X-linked dominant disorder and is usually lethal prenatally in males (The International Incontinentia Pigmenti Consortium, 2000 [PubMed 10839543]). In affected females it causes highly variable abnormalities of the skin, hair, nails, teeth, eyes, and central nervous system. The prominent skin signs occur in 4 classic cutaneous stages: perinatal inflammatory vesicles, verrucous patches, a distinctive pattern of hyperpigmentation, and dermal scarring. Cells expressing the mutated X chromosome are eliminated selectively around the time of birth, so females with IP exhibit extremely skewed X-inactivation. Familial incontinentia pigmenti is caused by mutations in the NEMO gene and is here referred to as IP2, or 'classical' incontinentia pigmenti. Sporadic incontinentia pigmenti, the so-called IP1, which maps to Xp11, is categorized as hypomelanosis of Ito (MIM 300337).[supplied by OMIM]

Long Name

IkB Kinase gamma

Alternate Names

FIP3P, IKBKG, IKKAP1, NEMO

Gene Symbol

IKBKG

Additional IKK gamma Products

Product Documents for IKK gamma Antibody (HL1577) - Azide and BSA Free

Certificate of Analysis

To download a Certificate of Analysis, please enter a lot number in the search box below.

Product Specific Notices for IKK gamma Antibody (HL1577) - Azide and BSA Free

This product is for research use only and is not approved for use in humans or in clinical diagnosis. Primary Antibodies are guaranteed for 1 year from date of receipt.

Loading...
Loading...
Loading...
Loading...