Skip to main content

IGF-II R/IGF2R Antibody (2G11) - Azide and BSA Free

Novus Biologicals, part of Bio-Techne | Catalog # NBP2-80785

Novus Biologicals, part of Bio-Techne
Catalog #
Availability
Size / Price
Qty
Loading...
NBP2-80785

Key Product Details

Species Reactivity

Human, Mouse, Rat, Bovine, Primate

Applications

Immunohistochemistry, Immunohistochemistry-Paraffin, Western Blot, ELISA, Flow Cytometry, Immunocytochemistry/ Immunofluorescence, Immunoprecipitation, CyTOF-ready

Label

Unconjugated

Antibody Source

Monoclonal Mouse IgG2a Kappa Clone # 2G11

Format

Azide and BSA Free

Concentration

1 mg/ml

Product Specifications

Immunogen

Purified bovine Mannose 6 Phosphate Receptor (Cation independent) [UniProt# P08169]

Epitope

In the extracellular domain of Mannose 6 Phosphate Receptor (Cation independent).

Reactivity Notes

Mouse reactivity reported in scientific literature (PMID: 9119492). Does not react with Chinese hamster ovary cell Mannose 6 Phosphate Receptor.

Clonality

Monoclonal

Host

Mouse

Isotype

IgG2a Kappa

Description

Novus Biologicals Mouse IGF-II R/IGF2R Antibody (2G11) - Azide and BSA Free (NB300-514) is a monoclonal antibody validated for use in IHC, WB, ELISA, Flow, ICC/IF and IP. All Novus Biologicals antibodies are covered by our 100% guarantee.

Scientific Data Images for IGF-II R/IGF2R Antibody (2G11) - Azide and BSA Free

Immunocytochemistry/ Immunofluorescence: IGF-II R/IGF2R Antibody (2G11) - Azide and BSA Free [NBP2-80785]

Immunocytochemistry/ Immunofluorescence: IGF-II R/IGF2R Antibody (2G11) - Azide and BSA Free [NBP2-80785]

Immunocytochemistry/Immunofluorescence: IGF-II R/IGF2R Antibody (2G11) - Azide and BSA Free [NBP2-80785] - Staining in Hela Cells. Mannose 6-Phosphate Receptor staining (green), F-Actin staining with Phalloidin (red) and nuclei with DAPI (blue) is shown. Cells were grown on chamber slides and fixed with formaldehyde prior to staining. Cells were probed without (control) or with an antibody recognizing Mannose 6-Phosphate Receptor at a dilution of 1:20 over night at 4 C, washed with PBS and incubated with a DyLight-488 conjugated secondary antibody. Image from the standard format of this antibody.
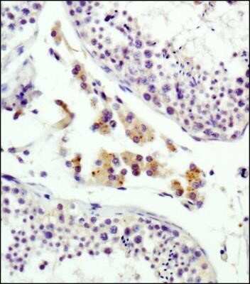
Immunohistochemistry: IGF-II R/IGF2R Antibody (2G11) - Azide and BSA Free [NBP2-80785]

Immunohistochemistry: IGF-II R/IGF2R Antibody (2G11) - Azide and BSA Free [NBP2-80785]

Immunohistochemistry: IGF-II R/IGF2R Antibody (2G11) - Azide and BSA Free [NBP2-80785] - Staining of human testis using NB300-514 antibody at 1:100. Image from the standard format of this antibody.
Flow Cytometry: IGF-II R/IGF2R Antibody (2G11) - Azide and BSA Free [NBP2-80785]

Flow Cytometry: IGF-II R/IGF2R Antibody (2G11) - Azide and BSA Free [NBP2-80785]

Flow Cytometry: IGF-II R/IGF2R Antibody (2G11) - Azide and BSA Free [NBP2-80785] - An intracellular stain was performed on MCF7 cells with IGF-II R/IGF2R [2G11] Antibody NB300-514AF647 (blue) and a matched isotype control (orange). Cells were fixed with 4% PFA and then permeabilized with 0.1% saponin. Cells were incubated in an antibody dilution of 5 ug/mL for 30 minutes at room temperature. Both antibodies were directly conjugated to Alexa Fluor 647.

Applications for IGF-II R/IGF2R Antibody (2G11) - Azide and BSA Free

Application
Recommended Usage

Flow Cytometry

1 ug per million cells

Immunocytochemistry/ Immunofluorescence

1:10-1:250

Immunohistochemistry

1:100

Immunohistochemistry-Paraffin

1:100

Immunoprecipitation

1:10-1:500

Western Blot

1 ug/ml
Application Notes
By Western Blot, a 300 kDa protein representing Mannose 6 Phosphate Receptor is seen in HeLa cell extract under non-reducing conditions. Immunofluorescence staining of Mannose 6 Phosphate Receptor in HeLa cells with this antibody results in perinuclear staining. This antibody is also useful in Flow Cytometry, Immunoprecipitation, ELISA and Immunohistochemistry-on paraffin embedded sections. This antibody is CyTOF ready.

Formulation, Preparation, and Storage

Purification

Protein A purified

Formulation

PBS

Format

Azide and BSA Free

Preservative

No Preservative

Concentration

1 mg/ml

Shipping

The product is shipped with polar packs. Upon receipt, store it immediately at the temperature recommended below.

Stability & Storage

Store at 4C short term. Aliquot and store at -20C long term. Avoid freeze-thaw cycles.

Background: IGF-II R/IGF2R

Mannose 6 phosphate is a sequence tag that plays a pivotal role in delivering proteins to the lysosome. Specifically, the mannose 6 phosphate sequence is tagged to N-linked oligosaccharides of lysosomal hydrolases as they pass through the cis-Golgi network. Once the lysosomal enzymes are tagged with the M6P sequence, they are destined to the late endosome by way of vesicular transport. After a low pH dissociates the M6P Receptor from its ligand, the M6P sequences are recycled. Additionally, M6P is bound by lectin in the immune system, and is converted to fructose 6-phosphate by mannose phosphate isomerase.

Long Name

Insulin-like Growth Factor II Receptor

Alternate Names

CD222, CIMPR, IGF-IIR, IGF2R, IGFIIR, M6P-R, MPRI

Gene Symbol

IGF2R

Additional IGF-II R/IGF2R Products

Product Documents for IGF-II R/IGF2R Antibody (2G11) - Azide and BSA Free

Certificate of Analysis

To download a Certificate of Analysis, please enter a lot number in the search box below.

Product Specific Notices for IGF-II R/IGF2R Antibody (2G11) - Azide and BSA Free

This product is for research use only and is not approved for use in humans or in clinical diagnosis. Primary Antibodies are guaranteed for 1 year from date of receipt.

Loading...
Loading...
Loading...
Loading...
Loading...