Skip to main content

IGF-II R/IGF2R Antibody (2G11) - BSA Free

Novus Biologicals, part of Bio-Techne | Catalog # NB300-514

Novus Biologicals, part of Bio-Techne

Key Product Details

Species Reactivity

Validated:

Human, Mouse, Rat, Bovine, Primate

Cited:

Human, Mouse

Applications

Validated:

Immunohistochemistry, Immunohistochemistry-Paraffin, Western Blot, ELISA, Flow Cytometry, Immunocytochemistry/ Immunofluorescence, Immunoprecipitation, CyTOF-ready

Cited:

Western Blot, Flow Cytometry, Immunocytochemistry/ Immunofluorescence, IF/IHC

Label

Unconjugated

Antibody Source

Monoclonal Mouse IgG2a Kappa Clone # 2G11

Format

BSA Free

Concentration

1.0 mg/ml

Product Specifications

Immunogen

Purified bovine Mannose 6 Phosphate Receptor (Cation independent) [UniProt# P08169]

Epitope

In the extracellular domain of Mannose 6 Phosphate Receptor (Cation independent).

Reactivity Notes

Mouse reactivity reported in scientific literature (PMID: 9119492). Does not react with Chinese hamster ovary cell Mannose 6 Phosphate Receptor (PMID: 8163521).

Marker

Late Endosome Marker

Clonality

Monoclonal

Host

Mouse

Isotype

IgG2a Kappa

Description

Novus Biologicals Mouse IGF-II R/IGF2R Antibody (2G11) - BSA Free (NB300-514) is a monoclonal antibody validated for use in IHC, WB, ELISA, Flow, ICC/IF and IP. Anti-IGF-II R/IGF2R Antibody: Cited in 13 publications. All Novus Biologicals antibodies are covered by our 100% guarantee.

Scientific Data Images for IGF-II R/IGF2R Antibody (2G11) - BSA Free

Immunocytochemistry/ Immunofluorescence: IGF-II R/IGF2R Antibody (2G11) - BSA Free [NB300-514]

Immunocytochemistry/ Immunofluorescence: IGF-II R/IGF2R Antibody (2G11) - BSA Free [NB300-514]

Immunocytochemistry/Immunofluorescence: IGF-II R/IGF2R Antibody (2G11) [NB300-514] - HeLa cells were fixed in 4% paraformaldehyde for 10 minutes and permeabilized in 0.05% Triton X-100 in PBS for 5 minutes. The cells were incubated with anti-IGF-II R/IGF2R Antibody (2G11) NB300-514 at 1 ug/ml overnight at 4C and detected with an anti-mouse Dylight 488 (Green) at a 1:1000 dilution for 60 minutes. Nuclei were counterstained with DAPI (Blue). Cells were imaged using a 100X objective and digitally deconvolved.
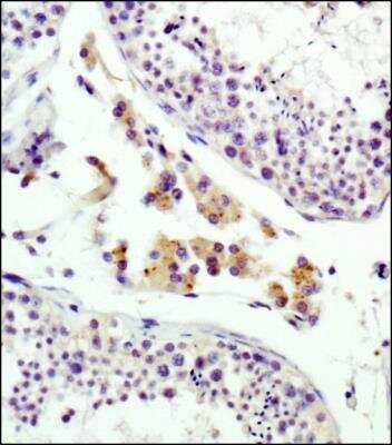
Immunohistochemistry: IGF-II R/IGF2R Antibody (2G11) - BSA Free [NB300-514]

Immunohistochemistry: IGF-II R/IGF2R Antibody (2G11) - BSA Free [NB300-514]

Immunohistochemistry: Mannose 6 Phosphate Receptor (Cation independent) Antibody (2G11) [NB300-514] - Staining of human testis using NB300-514 antibody at 1:100.
Flow Cytometry: IGF-II R/IGF2R Antibody (2G11) - BSA Free [NB300-514]

Flow Cytometry: IGF-II R/IGF2R Antibody (2G11) - BSA Free [NB300-514]

Flow Cytometry: IGF-II R/IGF2R Antibody (2G11) [NB300-514] - An intracellular stain was performed on MCF7 cells with IGF-II R/IGF2R [2G11] Antibody NB300-514AF647 (blue) and a matched isotype control (orange). Cells were fixed with 4% PFA and then permeabilized with 0.1% saponin. Cells were incubated in an antibody dilution of 5 ug/mL for 30 minutes at room temperature. Both antibodies were conjugated to Alexa Fluor 647.

Applications for IGF-II R/IGF2R Antibody (2G11) - BSA Free

Application
Recommended Usage

Flow Cytometry

1 ug per million cells

Immunocytochemistry/ Immunofluorescence

1:10-1:250

Immunohistochemistry

1:100

Immunohistochemistry-Paraffin

1:100

Immunoprecipitation

1:10-1:500

Western Blot

1 ug/ml
Application Notes
By Western Blot, a 300 kDa protein representing Mannose 6 Phosphate Receptor is seen in HeLa cell extract under non-reducing conditions. Immunofluorescence staining of Mannose 6 Phosphate Receptor in HeLa cells with this antibody results in perinuclear staining. This antibody is also useful in Flow Cytometry, Immunoprecipitation, ELISA and Immunohistochemistry-on paraffin embedded sections. This antibody is CyTOF ready.

Formulation, Preparation, and Storage

Purification

Protein A purified

Formulation

PBS

Format

BSA Free

Preservative

0.05% Sodium Azide

Concentration

1.0 mg/ml

Shipping

The product is shipped with polar packs. Upon receipt, store it immediately at the temperature recommended below.

Stability & Storage

Store at 4C short term. Aliquot and store at -20C long term. Avoid freeze-thaw cycles.

Background: IGF-II R/IGF2R

Mannose 6 phosphate is a sequence tag that plays a pivotal role in delivering proteins to the lysosome. Specifically, the mannose 6 phosphate sequence is tagged to N-linked oligosaccharides of lysosomal hydrolases as they pass through the cis-Golgi network. Once the lysosomal enzymes are tagged with the M6P sequence, they are destined to the late endosome by way of vesicular transport. After a low pH dissociates the M6P Receptor from its ligand, the M6P sequences are recycled. Additionally, M6P is bound by lectin in the immune system, and is converted to fructose 6-phosphate by mannose phosphate isomerase.

Long Name

Insulin-like Growth Factor II Receptor

Alternate Names

CD222, CIMPR, IGF-IIR, IGF2R, IGFIIR, M6P-R, MPRI

Entrez Gene IDs

3482 (Human); 16004 (Mouse); 25151 (Rat); 281849 (Bovine)

Gene Symbol

IGF2R

UniProt

Additional IGF-II R/IGF2R Products

Product Documents for IGF-II R/IGF2R Antibody (2G11) - BSA Free

Certificate of Analysis

To download a Certificate of Analysis, please enter a lot number in the search box below.

Product Specific Notices for IGF-II R/IGF2R Antibody (2G11) - BSA Free

This product is for research use only and is not approved for use in humans or in clinical diagnosis. Primary Antibodies are guaranteed for 1 year from date of receipt.

Loading...
Loading...
Loading...
Loading...
Loading...