Skip to main content

IFRD1 Antibody

Novus Biologicals, part of Bio-Techne | Catalog # NBP2-24679

Novus Biologicals, part of Bio-Techne
Catalog #
Availability
Size / Price
Qty
Loading...
NBP2-24679
NBP2-24679SS

Key Product Details

Species Reactivity

Validated:

Human, Porcine, Bovine, Canine, Primate

Predicted:

Chimpanzee (100%), Equine (100%), Mouse (92%), Rat (92%), Rhesus Macaque (92%). Backed by our 100% Guarantee.

Applications

Immunohistochemistry, Immunohistochemistry-Paraffin, Western Blot

Label

Unconjugated

Antibody Source

Polyclonal Rabbit IgG

Concentration

0.5 mg/ml

Product Specifications

Immunogen

A portion of amino acids 70-120 of human Tis7 was used as the immunogen.

Reactivity Notes

The amino acid sequence used as immunogen is 83% homologous in opossum.

Clonality

Polyclonal

Host

Rabbit

Isotype

IgG

Description

Novus Biologicals Rabbit IFRD1 Antibody (NBP2-24679) is a polyclonal antibody validated for use in IHC and WB. All Novus Biologicals antibodies are covered by our 100% guarantee.

Scientific Data Images for IFRD1 Antibody

Western Blot: IFRD1 Antibody [NBP2-24679]

Western Blot: IFRD1 Antibody [NBP2-24679]

Western Blot: IFRD1 Antibody [NBP2-24679] - Analysis of Tis7 in HeLa cell lysate in the 1) absence 2) presence of immunizing peptide and 3) RAW cell lysate using this antibody. 0 ug/ml, 1.0 ug/ml and 4.0 ug/ml respectively.
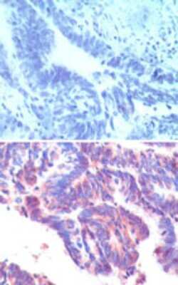
Immunohistochemistry-Paraffin: IFRD1 Antibody [NBP2-24679]

Immunohistochemistry-Paraffin: IFRD1 Antibody [NBP2-24679]

Immunohistochemistry-Paraffin: IFRD1 Antibody [NBP2-24679] - Immunohistochemical analysis of IFRD1 in formalin-fixed, paraffin-embedded humanrectum tissue using an isotype control (top) and NBP2-24679 (bottom) at 5 ug/ml.

Applications for IFRD1 Antibody

Application
Recommended Usage

Immunohistochemistry-Paraffin

5 ug/ml

Western Blot

1.0-4.0 ug/ml

Formulation, Preparation, and Storage

Purification

Protein A purified

Formulation

PBS and 0.05% BSA

Preservative

0.05% Sodium Azide

Concentration

0.5 mg/ml

Shipping

The product is shipped with polar packs. Upon receipt, store it immediately at the temperature recommended below.

Stability & Storage

Store at 4C short term. Aliquot and store at -20C long term. Avoid freeze-thaw cycles.

Background: IFRD1

Could play a role in regulating gene activity in the proliferative and/or differentiative pathways induced by NGF. May be an autocrine factor that attenuates or amplifies the initial ligand-induced signal

Alternate Names

12-O-tetradecanoylphorbol-13-acetate-induced sequence 7, interferon-related developmental regulator 1, Nerve growth factor-inducible protein PC4, PC4, pheochromocytoma cell-4, TIS7, TPA induced sequence 7

Gene Symbol

IFRD1

Additional IFRD1 Products

Product Documents for IFRD1 Antibody

Certificate of Analysis

To download a Certificate of Analysis, please enter a lot number in the search box below.

Product Specific Notices for IFRD1 Antibody

This product is for research use only and is not approved for use in humans or in clinical diagnosis. Primary Antibodies are guaranteed for 1 year from date of receipt.

Loading...
Loading...
Loading...
Loading...