Skip to main content

IFITM1 Antibody - BSA Free

Novus Biologicals, part of Bio-Techne | Catalog # NBP1-89345

Novus Biologicals, part of Bio-Techne
Catalog #
Availability
Size / Price
Qty
Loading...
NBP1-89345
NBP1-89345-25ul

Key Product Details

Validated by

Orthogonal Validation

Species Reactivity

Human

Applications

Immunohistochemistry, Immunohistochemistry-Paraffin, Western Blot, Immunocytochemistry/ Immunofluorescence, Simple Western

Label

Unconjugated

Antibody Source

Polyclonal Rabbit IgG

Format

BSA Free

Concentration

Concentrations vary lot to lot. See vial label for concentration. If unlisted please contact technical services.

Product Specifications

Immunogen

This antibody was developed against Recombinant Protein corresponding to amino acids: MHKEEHEVAVLGAPPSTILPRSTVINIHSETSVPDH

Clonality

Polyclonal

Host

Rabbit

Isotype

IgG

Scientific Data Images for IFITM1 Antibody - BSA Free

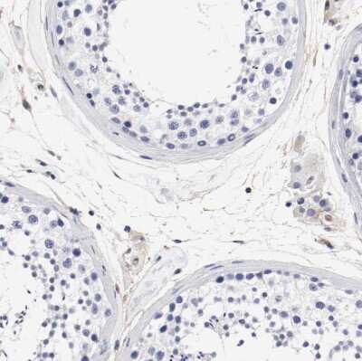
Immunohistochemistry-Paraffin: IFITM1 Antibody [NBP1-89345]

Immunohistochemistry-Paraffin: IFITM1 Antibody [NBP1-89345]

Immunohistochemistry-Paraffin: IFITM1 Antibody [NBP1-89345] - Staining in human epididymis and testis tissues using anti-IFITM1 antibody. Corresponding IFITM1 RNA-seq data are presented for the same tissues.
Western Blot: IFITM1 Antibody [NBP1-89345]

Western Blot: IFITM1 Antibody [NBP1-89345]

Western Blot: IFITM1 Antibody [NBP1-89345] - Analysis in human cell line CAPAN-2.
Immunocytochemistry/ Immunofluorescence: IFITM1 Antibody [NBP1-89345]

Immunocytochemistry/ Immunofluorescence: IFITM1 Antibody [NBP1-89345]

Immunocytochemistry/Immunofluorescence: IFITM1 Antibody [NBP1-89345] - Staining of human cell line A-431 shows localization to cytosol. Antibody staining is shown in green.

Applications for IFITM1 Antibody - BSA Free

Application
Recommended Usage

Immunocytochemistry/ Immunofluorescence

0.25-2 ug/ml

Immunohistochemistry

1:500 - 1:1000

Immunohistochemistry-Paraffin

1:500 - 1:1000

Simple Western

1:20

Western Blot

0.04-0.4 ug/ml
Application Notes
For IHC-Paraffin, HIER pH 6 retrieval is recommended. ICC/IF Fixation Permeabilization: Use PFA/Triton X-100.

In Simple Western only 10 - 15 uL of the recommended dilution is used per data point.
See Simple Western Antibody Database for Simple Western validation: Tested in h. Tonsil, separated by Size, antibody dilution of 1:20, apparent MW was 20 kDa. Separated by Size-Wes, Sally Sue/Peggy Sue.

Formulation, Preparation, and Storage

Purification

Affinity purified

Formulation

PBS (pH 7.2) and 40% Glycerol

Format

BSA Free

Preservative

0.02% Sodium Azide

Concentration

Concentrations vary lot to lot. See vial label for concentration. If unlisted please contact technical services.

Shipping

The product is shipped with polar packs. Upon receipt, store it immediately at the temperature recommended below.

Stability & Storage

Store at 4C short term. Aliquot and store at -20C long term. Avoid freeze-thaw cycles.

Background: IFITM1

Implicated in the control of cell growth. Component of a multimeric complex involved in the transduction of antiproliferative and homotypic adhesion signals

Long Name

Interferon-induced Transmembrane Protein 1

Alternate Names

CD225, IFI17, Leu-13

Gene Symbol

IFITM1

Additional IFITM1 Products

Product Documents for IFITM1 Antibody - BSA Free

Certificate of Analysis

To download a Certificate of Analysis, please enter a lot number in the search box below.

Product Specific Notices for IFITM1 Antibody - BSA Free

This product is for research use only and is not approved for use in humans or in clinical diagnosis. Primary Antibodies are guaranteed for 1 year from date of receipt.

Loading...
Loading...
Loading...
Loading...