Skip to main content

IFITM1 Antibody (S07-7F8)

Novus Biologicals, part of Bio-Techne | Catalog # NBP3-19659

Recombinant Monoclonal Antibody
Novus Biologicals, part of Bio-Techne
Catalog #
Availability
Size / Price
Qty
Loading...
NBP3-19659-100ul
NBP3-19659-50ul

Key Product Details

Species Reactivity

Human

Applications

Immunohistochemistry, Immunohistochemistry-Paraffin, Western Blot

Label

Unconjugated

Antibody Source

Recombinant Monoclonal Rabbit IgG Clone # S07-7F8 expressed in HEK293

Concentration

0.3 mg/ml

Product Specifications

Immunogen

A synthetic peptide of human IFITM1 (Uniprot # P13164)

Clonality

Monoclonal

Host

Rabbit

Isotype

IgG

Theoretical MW

14 kDa.
Disclaimer note: The observed molecular weight of the protein may vary from the listed predicted molecular weight due to post translational modifications, post translation cleavages, relative charges, and other experimental factors.

Description

Novus Biologicals Rabbit IFITM1 Antibody (S07-7F8) (NBP3-19659) is a recombinant monoclonal antibody validated for use in IHC and WB. All Novus Biologicals antibodies are covered by our 100% guarantee.

Scientific Data Images for IFITM1 Antibody (S07-7F8)

Western Blot: IFITM1 Antibody (S07-7F8) [NBP3-19659]

Western Blot: IFITM1 Antibody (S07-7F8) [NBP3-19659]

Western Blot: IFITM1 Antibody (S07-7F8) [NBP3-19659] - Western blot detection of IFITM1 in K562 cell lysates using NBP3-19659 (1:1000 diluted). Predicted band size: 14kDa. Observed band size: 14kDa.
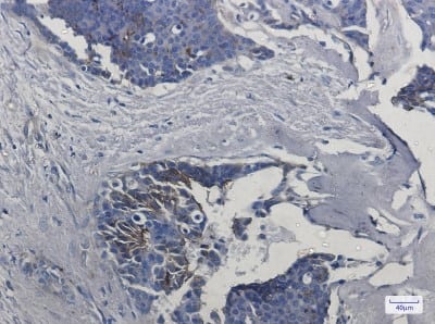
Immunohistochemistry-Paraffin: IFITM1 Antibody (S07-7F8) [NBP3-19659]

Immunohistochemistry-Paraffin: IFITM1 Antibody (S07-7F8) [NBP3-19659]

Immunohistochemistry-Paraffin: IFITM1 Antibody (S07-7F8) [NBP3-19659] - Immunohistochemistry of IFITM1 in paraffin-embedded Human breast cancer tissue using NBP3-19659 at dilution 1/50

Applications for IFITM1 Antibody (S07-7F8)

Application
Recommended Usage

Immunohistochemistry

1/200

Western Blot

1/1000

Formulation, Preparation, and Storage

Purification

Affinity purified

Formulation

50mM Tris-Glycine(pH 7.4), 0.15M NaCl, 40% Glycerol, 0.05% BSA

Preservative

0.01% Sodium Azide

Concentration

0.3 mg/ml

Shipping

The product is shipped with polar packs. Upon receipt, store it immediately at the temperature recommended below.

Stability & Storage

Store at 4C short term. Aliquot and store at -20C long term. Avoid freeze-thaw cycles.

Background: IFITM1

Implicated in the control of cell growth. Component of a multimeric complex involved in the transduction of antiproliferative and homotypic adhesion signals

Long Name

Interferon-induced Transmembrane Protein 1

Alternate Names

CD225, IFI17, Leu-13

Gene Symbol

IFITM1

Additional IFITM1 Products

Product Documents for IFITM1 Antibody (S07-7F8)

Certificate of Analysis

To download a Certificate of Analysis, please enter a lot number in the search box below.

Product Specific Notices for IFITM1 Antibody (S07-7F8)

This product is for research use only and is not approved for use in humans or in clinical diagnosis. Primary Antibodies are guaranteed for 1 year from date of receipt.

Loading...
Loading...
Loading...
Loading...