Skip to main content

iASPP Antibody - BSA Free

Novus Biologicals, part of Bio-Techne | Catalog # NBP1-77912

Novus Biologicals, part of Bio-Techne
Catalog #
Availability
Size / Price
Qty
Loading...
NBP1-77912

Key Product Details

Species Reactivity

Human

Applications

Immunohistochemistry, Immunohistochemistry-Paraffin, Western Blot, ELISA

Label

Unconjugated

Antibody Source

Polyclonal Rabbit IgG

Format

BSA Free

Concentration

Please see the vial label for concentration. If unlisted please contact technical services.

Product Specifications

Immunogen

This affinity purified iASPP Antibody was prepared from whole rabbit serum produced by repeated immunizations with a synthetic peptide corresponding to an internal region near amino acids 775-800 of human iASPP (isoform 1) protein. (Uniprot: Q8WUF5)

Reactivity Notes

A BLAST analysis was used to suggest cross reactivity with iASPP proteins from human, dog and mouse sources. Expect reactivity against both isoform 1 and isoform 2. Partial reactivity may occur against iASPP from bovine. Reactivity against homologues from other sources is not known.

Specificity

This affinity-purified antibody is directed against the human iASPP protein. A BLAST analysis was used to suggest cross reactivity with iASPP proteins from human, dog and mouse sources. Expect reactivity against both isoform 1 and isoform 2. Partial reactivity may occur against iASPP from bovine. Reactivity against homologues from other sources is not known.

Clonality

Polyclonal

Host

Rabbit

Isotype

IgG

Description

This affinity-purified antibody is directed against the human iASPP protein. The product was affinity purified from monospecific antiserum by immunoaffinity purification

Store vial at -20C prior to opening. Aliquot contents and freeze at -20C or below for extended storage. Avoid cycles of freezing and thawing. Centrifuge product if not completely clear after standing at room temperature. This product is stable for several weeks at 4C as an undiluted liquid. Dilute only prior to immediate use.

Scientific Data Images for iASPP Antibody - BSA Free

Western Blot: iASPP Antibody [NBP1-77912]

Western Blot: iASPP Antibody [NBP1-77912]

Western Blot: iASPP Antibody [NBP1-77912] - Shows detection of a band at ~100 kDa (arrowhead) corresponding to isoform 1 of iASPP in MCF7 whole cell lysates. Preincubation with immunizing peptide blocks specific band staining (data not shown). Approximately 35 ug of lysate was separated by 4-20% Tris Glycine SDS-PAGE. After blocking, the membrane was probed with the primary antibody diluted to 1:1,500 in 5% BLOTTO/PBS overnight at 4C. The membrane was washed and reacted with a 1:10,000 dilution of IRDye800 conjugated Gt-a-Rabbit IgG [H&L] for 45 min at room temperature (800 nm channel, green). Molecular weight estimation was made by comparison to prestained MW markers.
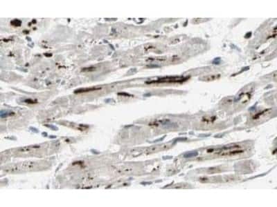
Immunohistochemistry: iASPP Antibody [NBP1-77912]

Immunohistochemistry: iASPP Antibody [NBP1-77912]

Immunohistochemistry: iASPP Antibody [NBP1-77912] - Staining of myocytes in human heart tissue. Tissue was formalin-fixed and paraffin embedded. Brown color indicates presence of protein, blue color shows cell nuclei.
iASPP Antibody

iASPP Antibody

Affinity Purified anti-iASPP antibody shows strong cytoplasmic and membranous staining of myocytes in human heart tissue. Tissue was formalin-fixed and paraffin embedded. Brown color indicates presence of protein, blue color shows cell nuclei. Personal Communication, Kenneth Wester, www.proteinatlas.org, Uppsala, Sweden.

Applications for iASPP Antibody - BSA Free

Application
Recommended Usage

ELISA

1:40000-1:160000

Immunohistochemistry

1:1000-1:5000

Immunohistochemistry-Paraffin

1:10-1:500

Western Blot

1:1000-1:5000
Application Notes
This affinity purified antibody has been tested for use in ELISA, immunohistochemistry and by western blot. Specific conditions for reactivity should be optimized by the end user. Expect bands approximately 100 kDa and 50 kDa in size corresponding to isoforms 1 and 2 respectively of iASPP protein by western blotting in the appropriate cell lysate or extract.

Formulation, Preparation, and Storage

Purification

Immunogen affinity purified

Formulation

0.02 M Potassium Phosphate, 0.15 M Sodium Chloride, pH 7.2

Format

BSA Free

Preservative

0.01% Sodium Azide

Concentration

Please see the vial label for concentration. If unlisted please contact technical services.

Shipping

The product is shipped with polar packs. Upon receipt, store it immediately at the temperature recommended below.

Stability & Storage

Store at -20C short term. Aliquot and store at -80C long term. Avoid freeze-thaw cycles.

Background: iASPP

ASPP proteins (ASPP1, ASPP2 and iASPP) represent a new family of p53 binding proteins. ASPP1 and ASPP2 bind and enhance p53-mediated apoptosis. In contrast, the third member, iASPP, functionally inactivates p53. iASPP (also called protein phosphatase 1 regulatory (inhibitor) subunit 13 like protein, Inhibitor of ASPP protein, Protein iASPP, PPP1R13B-like protein and NFkB-interacting protein 1) plays a central role in regulation of apoptosis and transcription via its interaction with NF-kappa-B and p53/TP53 proteins. iASPP blocks transcription of HIV-1 virus by inhibiting the action of both NF-kappa-B and SP1. This protein also inhibits p53/TP53 function, possibly by preventing the association between p53/TP53 and ASPP1 or ASPP2, and therefore suppressing the subsequent activation of apoptosis. iASPP is predominantly a cytoplasmic protein (isoform 1) but can also be found in the nucleus (isoform 2). iASPP is highly expressed in heart, placenta and prostate and is weakly expressed in brain, liver, skeletal muscle, testis and peripheral blood leukocyte. The N-terminal region of isoform 1 is required for cytoplasmic localization. Defects in iASPP may be a cause of certain breast cancers and the protein is overexpressed in many patients suffering from breast carcinomas and expressing a wild-type p53/TP53 protein.

Alternate Names

IASPPinhibitor of apoptosis stimulating protein of p53, Inhibitor of ASPP protein, NFkB-interacting protein 1, NKIP1, PPP1R13BL, PPP1R13B-like protein, Protein iASPP, protein phosphatase 1, regulatory (inhibitor) subunit 13 like, protein phosphatase 1, regulatory subunit 13 like, RAINFkB interacting protein 1, relA-associated inhibitor

Gene Symbol

PPP1R13L

Additional iASPP Products

Product Documents for iASPP Antibody - BSA Free

Certificate of Analysis

To download a Certificate of Analysis, please enter a lot number in the search box below.

Product Specific Notices for iASPP Antibody - BSA Free

This product is for research use only and is not approved for use in humans or in clinical diagnosis. Primary Antibodies are guaranteed for 1 year from date of receipt.

Loading...
Loading...
Loading...
Loading...