Skip to main content

Hydrogen Potassium ATPase Beta Antibody - BSA Free

Novus Biologicals, part of Bio-Techne | Catalog # NBP2-32035

Novus Biologicals, part of Bio-Techne
Catalog #
Availability
Size / Price
Qty
Loading...
NBP2-32035
NBP2-32035-25ul

Key Product Details

Validated by

Orthogonal Validation, Independent Antibodies

Species Reactivity

Human

Applications

Immunohistochemistry, Immunohistochemistry-Paraffin

Label

Unconjugated

Antibody Source

Polyclonal Rabbit IgG

Format

BSA Free

Concentration

Concentrations vary lot to lot. See vial label for concentration. If unlisted please contact technical services.

Product Specifications

Immunogen

This antibody was developed against a recombinant protein corresponding to amino acids: TPDYQDQLRSPGVTLRPDVYGEKGLEIVYNVSDNRTWADLTQTLHAFLAGYSPAAQEDSINCTSEQYFFQESFRAPNHTKFSCKFTADML

Reactivity Notes

Immunogen displays the following percentage of sequence identity for non-tested species: Rat (80%), Mouse (83%)

Clonality

Polyclonal

Host

Rabbit

Isotype

IgG

Description

Novus Biologicals Rabbit Hydrogen Potassium ATPase Beta Antibody - BSA Free (NBP2-32035) is a polyclonal antibody validated for use in IHC. All Novus Biologicals antibodies are covered by our 100% guarantee.

Scientific Data Images for Hydrogen Potassium ATPase Beta Antibody - BSA Free

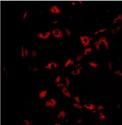
Immunohistochemistry: Hydrogen Potassium ATPase Beta Antibody [NBP2-32035]

Immunohistochemistry: Hydrogen Potassium ATPase Beta Antibody [NBP2-32035]

Immunohistochemistry: Hydrogen Potassium ATPase Beta Antibody [NBP2-32035] - Staining of human stomach, lower shows strong cytoplasmic positivity in subset of glandular cells.
Immunohistochemistry-Paraffin: Hydrogen Potassium ATPase Beta Antibody [NBP2-32035]

Immunohistochemistry-Paraffin: Hydrogen Potassium ATPase Beta Antibody [NBP2-32035]

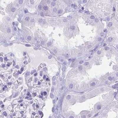
Immunohistochemistry-Paraffin: Hydrogen Potassium ATPase Beta Antibody [NBP2-32035] - Staining of human pancreas shows low expression as expected.
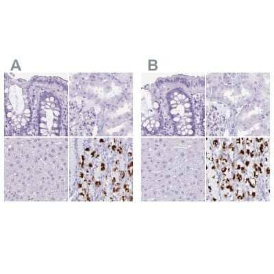
Immunohistochemistry-Paraffin: Hydrogen Potassium ATPase Beta Antibody [NBP2-32035]

Immunohistochemistry-Paraffin: Hydrogen Potassium ATPase Beta Antibody [NBP2-32035]

Immunohistochemistry-Paraffin: Hydrogen Potassium ATPase Beta Antibody [NBP2-32035] - Staining of human stomach shows high expression.

Applications for Hydrogen Potassium ATPase Beta Antibody - BSA Free

Application
Recommended Usage

Immunohistochemistry

1:50 - 1:200

Immunohistochemistry-Paraffin

1:50 - 1:200
Application Notes
For IHC-Paraffin, HIER pH 6 retrieval is recommended. IHC-P reported in a verified customer review.

Reviewed Applications

Read 1 review rated 5 using NBP2-32035 in the following applications:

Formulation, Preparation, and Storage

Purification

Immunogen affinity purified

Formulation

PBS (pH 7.2) and 40% Glycerol

Format

BSA Free

Preservative

0.02% Sodium Azide

Concentration

Concentrations vary lot to lot. See vial label for concentration. If unlisted please contact technical services.

Shipping

The product is shipped with polar packs. Upon receipt, store it immediately at the temperature recommended below.

Stability & Storage

Store at 4C short term. Aliquot and store at -20C long term. Avoid freeze-thaw cycles.

Background: Hydrogen Potassium ATPase Beta

The hydrogen/potassium ATPase, or gastric proton pump, belongs to a family of P-type cation-transporting ATPases. This family of ATPases shares a number of functional and structural similarities including the common feature of consisting of an alpha and beta subunit. Like the ubiquitous sodium/potassium ATPase, the hydrogen/potassium ATPase consists of a large transmembrane catalytic subunit, termed the alpha-subunit which contains sites for ATP binding and phosphorylation, and an associated smaller glycoprotein, termed the beta-subunit which may play a role in maintaining the structural and functional integrity of the complex.

Long Name

Potassium-transporting ATPase subunit beta

Alternate Names

ATP4B

Gene Symbol

ATP4B

UniProt

Additional Hydrogen Potassium ATPase Beta Products

Product Documents for Hydrogen Potassium ATPase Beta Antibody - BSA Free

Certificate of Analysis

To download a Certificate of Analysis, please enter a lot number in the search box below.

Product Specific Notices for Hydrogen Potassium ATPase Beta Antibody - BSA Free

This product is for research use only and is not approved for use in humans or in clinical diagnosis. Primary Antibodies are guaranteed for 1 year from date of receipt.

Loading...
Loading...
Loading...
Loading...