Skip to main content

Key Product Details

Species Reactivity

Validated:

Human

Cited:

Human

Applications

Validated:

Immunohistochemistry, Western Blot

Cited:

Western Blot

Label

Unconjugated

Antibody Source

Monoclonal Mouse IgG2B Clone # 749606

Product Specifications

Immunogen

E. coli-derived recombinant human Urocortin
Arg26-Lys124 (predicted)
Accession # P55089

Specificity

Detects human Urocortin in direct ELISAs and Western blots.

Clonality

Monoclonal

Host

Mouse

Isotype

IgG2B

Scientific Data Images for Human Urocortin Antibody

Detection of Human Urocortin antibody by Western Blot.

Detection of Human Urocortin by Western Blot.

Western blot shows lysates of SH-SY5Y human neuroblastoma cell line, HepG2 human hepatocellular carcinoma cell line, HeLa human cervical epithelial carcinoma cell line, and HEK293 human embryonic kidney cell line. PVDF membrane was probed with 0.5 µg/mL of Mouse Anti-Human Urocortin Monoclonal Antibody (Catalog # MAB7447) followed by HRP-conjugated Anti-Mouse IgG Secondary Antibody (Catalog # HAF007). A specific band was detected for Urocortin at approximately 5 kDa (as indicated). This experiment was conducted under reducing conditions and using Immunoblot Buffer Group 8.
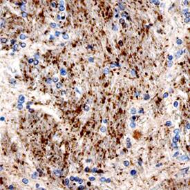
Urocortin antibody in Human Brain by Immunohistochemistry (IHC-P).

Urocortin in Human Brain.

Urocortin was detected in immersion fixed paraffin-embedded sections of human brain using Mouse Anti-Human Urocortin Monoclonal Antibody (Catalog # MAB7447) at 15 µg/mL overnight at 4 °C. Before incubation with the primary antibody, tissue was subjected to heat-induced epitope retrieval using Antigen Retrieval Reagent-Basic (Catalog # CTS013). Tissue was stained using the Anti-Mouse HRP-DAB Cell & Tissue Staining Kit (brown; Catalog # CTS002) and counterstained with hematoxylin (blue). Specific staining was localized to neuronal processes. View our protocol for Chromogenic IHC Staining of Paraffin-embedded Tissue Sections.

Applications for Human Urocortin Antibody

Application
Recommended Usage

Immunohistochemistry

8-25 µg/mL
Sample: Immersion fixed paraffin-embedded sections of human brain

Western Blot

0.5 µg/mL
Sample: SH‑SY5Y human neuroblastoma cell line, HepG2 human hepatocellular carcinoma cell line, HeLa human cervical epithelial carcinoma cell line, and HEK293 human embryonic kidney cell line

Formulation, Preparation, and Storage

Purification

Protein A or G purified from hybridoma culture supernatant

Reconstitution

Sterile PBS to a final concentration of 0.5 mg/mL. For liquid material, refer to CoA for concentration.

Reconstitution Buffer Available:
Size / Price
Qty
Loading...

Formulation

Lyophilized from a 0.2 μm filtered solution in PBS with Trehalose. *Small pack size (SP) is supplied either lyophilized or as a 0.2 µm filtered solution in PBS.

Shipping

Lyophilized product is shipped at ambient temperature. Liquid small pack size (-SP) is shipped with polar packs. Upon receipt, store immediately at the temperature recommended below.

Stability & Storage

Use a manual defrost freezer and avoid repeated freeze-thaw cycles.
  • 12 months from date of receipt, -20 to -70 °C as supplied.
  • 1 month, 2 to 8 °C under sterile conditions after reconstitution.
  • 6 months, -20 to -70 °C under sterile conditions after reconstitution.

Background: Urocortin

Urocortin (UCN, UCN1) is a member of the widely expressed corticotropin releasing factor (CRF) peptide family that includes UCN1-3 and CRF. UCN stimulates cAMP and MAPK pathways via either of two G-protein coupled receptors, CRFR1 and CRFR2, while other family members prefer CRFR1 (CRF) or CRFR2 (UCN2, UCN3). In the brain, UCN has been implicated in counteracting stress-provoked anxiety and suppressing appetite. It also modulates metabolic activity in peripheral tissues and protects the heart from ischemia/reprofusion injury. The UCN cDNA encodes 124 aa, including a 25 aa signal sequence, a 57 aa propeptide, and a 42 aa mature active 5 kDa UCN peptide. The proform of human UCN (aa 26-124, 11 kDa predicted) shares approximately 80% aa sequence identity with mouse and rat UCN.

Alternate Names

UCN, UI, UROC

Entrez Gene IDs

7349 (Human); 22226 (Mouse)

Gene Symbol

UCN

UniProt

Additional Urocortin Products

Product Documents for Human Urocortin Antibody

Certificate of Analysis

To download a Certificate of Analysis, please enter a lot number in the search box below.

Note: Certificate of Analysis not available for kit components.

Product Specific Notices for Human Urocortin Antibody

For research use only

Loading...
Loading...
Loading...
Loading...