Skip to main content

Key Product Details

Species Reactivity

Validated:

Human

Cited:

Human

Applications

Validated:

Immunohistochemistry, Flow Cytometry, CyTOF-ready

Cited:

Western Blot, Immunocytochemistry

Label

Unconjugated

Antibody Source

Polyclonal Sheep IgG

Product Specifications

Immunogen

E. coli-derived recombinant human TLR9
Asn64-Glu189
Accession # Q9NR96

Specificity

Detects human TLR9 in direct ELISAs. In direct ELISAs, approximately 75% cross-reactivity with recombinant mouse TLR9 is observed, and less than 1% cross-reactivity with recombinant human (rh) TLR1, rhTLR2, rhTLR3, rhTLR4, rhTLR5, rhTLR7, rhTLR8, and rhTLR10 is observed.

Clonality

Polyclonal

Host

Sheep

Isotype

IgG

Scientific Data Images for Human TLR9 Antibody

Detection of TLR9 antibody in Human PBMC lymphocytes antibody by Flow Cytometry.

Detection of TLR9 in Human PBMC lymphocytes by Flow Cytometry.

Human PBMC lymphocytes were stained with Sheep Anti-Human TLR9 Antigen Affinity-purified Polyclonal Antibody (Catalog # AF3658) followed by NorthernLights™ 637-conjugated Anti-Sheep IgG Secondary Antibody (Catalog # NL011) and Mouse Anti-Human CD19 PE-conjugated Monoclonal Antibody (Catalog # FAB4867P). Quadrant markers were set based on control antibody staining (Catalog # 5-001-A).
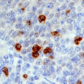
TLR9 antibody in Human Tonsil by Immunohistochemistry (IHC-P).

TLR9 in Human Tonsil.

TLR9 was detected in immersion fixed paraffin-embedded sections of human tonsil using Sheep Anti-Human TLR9 Antigen Affinity-purified Polyclonal Antibody (Catalog # AF3658) at 1 µg/mL overnight at 4 °C. Tissue was stained using the Anti-Sheep HRP-DAB Cell & Tissue Staining Kit (brown; Catalog # CTS019) and counterstained with hematoxylin (blue). Specific staining was localized to membranes of lymphocytes. View our protocol for Chromogenic IHC Staining of Paraffin-embedded Tissue Sections.

Applications for Human TLR9 Antibody

Application
Recommended Usage

CyTOF-ready

Ready to be labeled using established conjugation methods. No BSA or other carrier proteins that could interfere with conjugation.

Flow Cytometry

2.5 µg/106 cells
Sample: Human PBMC lymphocytes

Immunohistochemistry

5-15 µg/mL
Sample: Immersion fixed paraffin-embedded sections of human tonsil

Formulation, Preparation, and Storage

Purification

Antigen Affinity-purified

Reconstitution

Sterile PBS to a final concentration of 0.2 mg/mL. For liquid material, refer to CoA for concentration.

Reconstitution Buffer Available:
Size / Price
Qty
Loading...

Formulation

Lyophilized from a 0.2 μm filtered solution in PBS with Trehalose. *Small pack size (SP) is supplied either lyophilized or as a 0.2 µm filtered solution in PBS.

Shipping

Lyophilized product is shipped at ambient temperature. Liquid small pack size (-SP) is shipped with polar packs. Upon receipt, store immediately at the temperature recommended below.

Stability & Storage

Use a manual defrost freezer and avoid repeated freeze-thaw cycles.
  • 12 months from date of receipt, -20 to -70 °C as supplied.
  • 1 month, 2 to 8 °C under sterile conditions after reconstitution.
  • 6 months, -20 to -70 °C under sterile conditions after reconstitution.

Background: TLR9

TLR9 (Toll receptor 9; also CD289) is a 145-150 kDa member of the Toll-like receptor family of molecules. It is expressed by colonic epithelium, CD123+ plasmacytoid dendritic cells, and transitional B cells, and responds to unmethylated DNA CpG motifs that exhibit either a GTCGTT sequence (in human), or a GACGTT sequence (in mouse). TLR9 is found in the ER, and translocates to either the cell membrane, or to lysosomes where it binds bacterial DNA. Precursor human TLR9 is a type I transmembrane protein 1032 amino acids (aa) in length. It possesses a 793 aa extracellular region that contains 26 LRRs (aa 26-818), plus a 193 aa cytoplasmic domain. The full-length 150 kDa form is suggested to be ligand-binding but nonsignaling. The active form is believed to be an 80 kDa cleavage product found in the endosome compartment. There are multiple splice forms. One contains a deletion of aa 2-16, a second possesses an alternate start site at Met58, while a third and fourth show alternative start sites aa 23 and 24 upstream of the standard site. Over aa 64-189, human TLR9 shares 76% aa identity with mouse TLR9.

Long Name

Toll-like Receptor 9

Alternate Names

CD289

Entrez Gene IDs

54106 (Human); 81897 (Mouse); 338457 (Rat)

Gene Symbol

TLR9

UniProt

Additional TLR9 Products

Product Documents for Human TLR9 Antibody

Certificate of Analysis

To download a Certificate of Analysis, please enter a lot number in the search box below.

Note: Certificate of Analysis not available for kit components.

Product Specific Notices for Human TLR9 Antibody

For research use only

Loading...
Loading...
Loading...
Loading...
Loading...