Skip to main content

Key Product Details

Species Reactivity

Validated:

Human

Cited:

Human

Applications

Validated:

Immunohistochemistry, Western Blot

Cited:

Immunohistochemistry, Western Blot, Immunocytochemistry, Immunoprecipitation, Cell-based ELISA, Functional Assay

Label

Unconjugated

Antibody Source

Monoclonal Mouse IgG1 Clone # 89025

Product Specifications

Immunogen

Chinese hamster ovary cell line CHO-derived recombinant human TIMP-2
Cys27-Pro220
Accession # P16035

Specificity

Detects human TIMP-2 in direct ELISAs and Western blots. In direct ELISAs and Western blots, no cross-reactivity with recombinant human TIMP-1 or recombinant mouse TIMP-1 is observed.

Clonality

Monoclonal

Host

Mouse

Isotype

IgG1

Scientific Data Images for Human TIMP-2 Antibody

Detection of Human TIMP-2 antibody by Western Blot.

Detection of Human TIMP‑2 by Western Blot.

Western blot shows Recombinant Human TIMP-2 Western Blot Standard Protein (Catalog # WBC023) and lysates of HeLa human cervical epithelial carcinoma cell line and human placenta tissue. PVDF membrane was probed with 2 µg/mL of Mouse Anti-Human TIMP-2 Monoclonal Antibody (Catalog # MAB971) followed by HRP-conjugated Anti-Mouse IgG Secondary Antibody (Catalog # HAF018). A specific band was detected for TIMP-2 at approximately 22 kDa (as indicated).This experiment was conducted under reducing conditions and using Immunoblot Buffer Group 1.
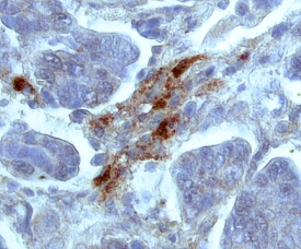
TIMP-2 antibody in Human Ovarian Cancer Tissue by Immunohistochemistry (IHC-P).

TIMP-2 in Human Ovarian Cancer Tissue.

TIMP-2 was detected in immersion fixed paraffin-embedded sections of human ovarian cancer tissue using 15 µg/mL Mouse Anti-Human TIMP-2 Monoclonal Antibody (Catalog # MAB971) overnight at 4 °C. Tissue was stained with the Anti-Mouse HRP-AEC Cell & Tissue Staining Kit (red; Catalog # CTS003) and counterstained with hematoxylin (blue). View our protocol for Chromogenic IHC Staining of Paraffin-embedded Tissue Sections.

Applications for Human TIMP-2 Antibody

Application
Recommended Usage

Immunohistochemistry

8-25 µg/mL
Sample: Immersion fixed paraffin-embedded sections of human ovarian cancer tissue

Western Blot

2 µg/mL
Sample: Recombinant Human TIMP-2 Western Blot Standard Protein (Catalog # WBC023), HeLa human cervical epithelial carcinoma cell line, and human placenta tissue

Reviewed Applications

Read 1 review rated 5 using MAB971 in the following applications:

Formulation, Preparation, and Storage

Purification

Protein A or G purified from ascites

Reconstitution

Reconstitute at 0.5 mg/mL in sterile PBS. For liquid material, refer to CoA for concentration.

Reconstitution Buffer Available:
Size / Price
Qty
Loading...

Formulation

Lyophilized from a 0.2 μm filtered solution in PBS with Trehalose. *Small pack size (SP) is supplied either lyophilized or as a 0.2 µm filtered solution in PBS.

Shipping

Lyophilized product is shipped at ambient temperature. Liquid small pack size (-SP) is shipped with polar packs. Upon receipt, store immediately at the temperature recommended below.

Stability & Storage

Use a manual defrost freezer and avoid repeated freeze-thaw cycles.
  • 12 months from date of receipt, -20 to -70 °C as supplied.
  • 1 month, 2 to 8 °C under sterile conditions after reconstitution.
  • 6 months, -20 to -70 °C under sterile conditions after reconstitution.

Background: TIMP-2

Tissue inhibitors of metalloproteinases or TIMPs are a family of proteins that regulate the activation and proteolytic activity of the zinc enzymes known as matrix metalloproteinases (MMPs). There are four members of the family, TIMP-1, TIMP-2, TIMP-3, and TIMP-4. TIMP-2 is a non N-glycosylated protein with a molecular mass of 22 kDa produced by a wide range of cell types, which inhibits MMPs non-covalently by the formation of binary complexes. TIMP-2 also has erythroid-potentiating and cell growth promoting activities.

Long Name

Tissue Inhibitors of Metalloproteinases 2

Alternate Names

TIMP2

Entrez Gene IDs

7077 (Human); 21858 (Mouse); 29543 (Rat)

Gene Symbol

TIMP2

UniProt

Additional TIMP-2 Products

Product Documents for Human TIMP-2 Antibody

Certificate of Analysis

To download a Certificate of Analysis, please enter a lot number in the search box below.

Note: Certificate of Analysis not available for kit components.

Product Specific Notices for Human TIMP-2 Antibody

For research use only

Loading...
Loading...
Loading...
Loading...