Skip to main content

Key Product Details

Species Reactivity

Human

Applications

Immunohistochemistry, Western Blot

Label

Unconjugated

Antibody Source

Monoclonal Mouse IgG1 Clone # 904802

Product Specifications

Immunogen

Chinese hamster ovary cell line CHO-derived recombinant human Thyroglobulin
Met1-Lys2768
Accession # P01266

Specificity

Detects human Thyroglobulin in direct ELISAs.

Clonality

Monoclonal

Host

Mouse

Isotype

IgG1

Scientific Data Images for Human Thyroglobulin Antibody

Detection of Human Thyroglobulin antibody by Western Blot.

Detection of Human Thyroglobulin by Western Blot.

Western blot shows lysates of human thyroid tissue. PVDF membrane was probed with 1 µg/mL of Mouse Anti-Human Thyroglobulin Monoclonal Antibody (Catalog # MAB8306) followed by HRP-conjugated Anti-Mouse IgG Secondary Antibody (Catalog # HAF018). A specific band was detected for Thyroglobulin at approximately 300 kDa (as indicated). This experiment was conducted under reducing conditions and using Immunoblot Buffer Group 1.
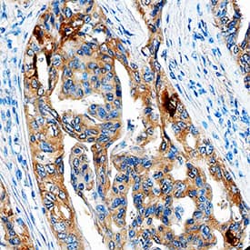
Thyroglobulin antibody in Human Thyroid Cancer Tissue by Immunohistochemistry (IHC-P).

Thyroglobulin in Human Thyroid Cancer Tissue.

Thyroglobulin was detected in immersion fixed paraffin-embedded sections of human thyroid cancer tissue using Mouse Anti-Human Thyroglobulin Monoclonal Antibody (Catalog # MAB8306) at 15 µg/mL overnight at 4 °C. Tissue was stained using the Anti-Rabbit HRP-DAB Cell & Tissue Staining Kit (brown; Catalog # CTS005) and counterstained with hematoxylin (blue). Specific staining was localized to epithelial cells. View our protocol for Chromogenic IHC Staining of Paraffin-embedded Tissue Sections.

Applications for Human Thyroglobulin Antibody

Application
Recommended Usage

Immunohistochemistry

8-25 µg/mL
Sample: Immersion fixed paraffin-embedded sections of human thyroid cancer tissue

Western Blot

1 µg/mL
Sample: Human thyroid tissue

Reviewed Applications

Read 1 review rated 4 using MAB8306 in the following applications:

Formulation, Preparation, and Storage

Purification

Protein A or G purified from hybridoma culture supernatant

Reconstitution

Reconstitute at 0.5 mg/mL in sterile PBS. For liquid material, refer to CoA for concentration.

Reconstitution Buffer Available:
Size / Price
Qty
Loading...

Formulation

Lyophilized from a 0.2 μm filtered solution in PBS with Trehalose. *Small pack size (SP) is supplied either lyophilized or as a 0.2 µm filtered solution in PBS.

Shipping

Lyophilized product is shipped at ambient temperature. Liquid small pack size (-SP) is shipped with polar packs. Upon receipt, store immediately at the temperature recommended below.

Stability & Storage

Use a manual defrost freezer and avoid repeated freeze-thaw cycles.
  • 12 months from date of receipt, -20 to -70 °C as supplied.
  • 1 month, 2 to 8 °C under sterile conditions after reconstitution.
  • 6 months, -20 to -70 °C under sterile conditions after reconstitution.

Background: Thyroglobulin

Human Thyroglobulin (Tg) gene is localized at position 8q242-8q243. The gene covers a genome area of at least 300 000 bp and contains at least 37 exons. Thyroglobulin (Tg) is a dimeric 660 kDa glycoprotein produced by follicular cells (thyrocytes) in thyroid gland and stored in the follicular colloid of the gland. Tg is heterogenic due to post-translational modifications, such as iodination, glycosylation, sulfatation, phosphorylation and it is highly sensitivity to proteolysis.  Acting as a substrate, Tg is used for the synthesis of thyroid hormones thyroxine (T4) and triiodothyronine (T3).  Tg level can serve as a tumor marker of papillary and follicular thyroid cancer and elevated levels of anti-Tg antibodies in blood can be indicative of Graves disease. 

Alternate Names

AITD3, cog, TDH3, Tg, TGN

Entrez Gene IDs

7038 (Human); 21819 (Mouse); 24826 (Rat)

Gene Symbol

TG

UniProt

Additional Thyroglobulin Products

Product Documents for Human Thyroglobulin Antibody

Certificate of Analysis

To download a Certificate of Analysis, please enter a lot number in the search box below.

Note: Certificate of Analysis not available for kit components.

Product Specific Notices for Human Thyroglobulin Antibody

For research use only

Loading...
Loading...
Loading...
Loading...
Loading...