Skip to main content

Key Product Details

Species Reactivity

Validated:

Human

Cited:

Mouse

Applications

Validated:

Immunohistochemistry, Western Blot, Flow Cytometry, Immunoprecipitation, CyTOF-ready

Cited:

Immunohistochemistry

Label

Unconjugated

Antibody Source

Polyclonal Sheep IgG

Product Specifications

Immunogen

Mouse myeloma cell line NS0-derived recombinant human Thrombomodulin/BDCA-3
Ala19-Ser515
Accession # CAA29045

Specificity

Detects human Thrombomodulin in direct ELISAs and Western blots. In direct ELISAs, approximately 5% cross-reactivity with recombinant mouse Thrombomodulin is observed.

Clonality

Polyclonal

Host

Sheep

Isotype

IgG

Scientific Data Images for Human Thrombomodulin/BDCA-3 Antibody

Detection of Thrombomodulin/BDCA-3 antibody in THP-1 Human Cell Line antibody by Flow Cytometry.

Detection of Thrombomodulin/BDCA‑3 in THP‑1 Human Cell Line by Flow Cytometry.

THP-1 human acute monocytic leukemia cell line was stained with Sheep Anti-Human Thrombomodulin/BDCA-3 Antigen Affinity-purified Polyclonal Antibody (Catalog # AF3947, filled histogram) or control antibody (Catalog # 5-001-A, open histogram), followed by Phycoerythrin-conjugated Anti-Sheep IgG Secondary Antibody (Catalog # F0126).
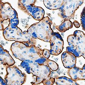
Thrombomodulin/BDCA-3 antibody in Human Placenta by Immunohistochemistry (IHC-P).

Thrombomodulin/BDCA‑3 in Human Placenta.

Thrombomodulin/BDCA-3 was detected in immersion fixed paraffin-embedded sections of human placenta using Sheep Anti-Human Thrombomodulin/BDCA-3 Antigen Affinity-purified Polyclonal Antibody (Catalog # AF3947) at 3 µg/mL overnight at 4 °C. Tissue was stained using the Anti-Sheep HRP-DAB Cell & Tissue Staining Kit (brown; Catalog # CTS019) and counterstained with hematoxylin (blue). Specific staining was localized to plasma membranes of syncytiotrophoblasts. View our protocol for Chromogenic IHC Staining of Paraffin-embedded Tissue Sections.

Applications for Human Thrombomodulin/BDCA-3 Antibody

Application
Recommended Usage

CyTOF-ready

Ready to be labeled using established conjugation methods. No BSA or other carrier proteins that could interfere with conjugation.

Flow Cytometry

2.5 µg/106 cells
Sample: THP-1 human acute monocytic leukemia cell line

Immunohistochemistry

5-15 µg/mL
Sample: Immersion fixed paraffin-embedded sections of human placenta

Immunoprecipitation

25 µg/mL
Sample: Conditioned cell culture medium spiked with Recombinant Human Thrombomodulin/BDCA-3 (Catalog # 3947-PA), see our available Western blot detection antibodies

Western Blot

0.1 µg/mL
Sample: Recombinant Human Thrombomodulin/THBD/CD141 (Catalog # 3947-PA)

Formulation, Preparation, and Storage

Purification

Antigen Affinity-purified

Reconstitution

Reconstitute at 0.2 mg/mL in sterile PBS. For liquid material, refer to CoA for concentration.

Reconstitution Buffer Available:
Size / Price
Qty
Loading...

Formulation

Lyophilized from a 0.2 μm filtered solution in PBS with Trehalose. *Small pack size (SP) is supplied either lyophilized or as a 0.2 µm filtered solution in PBS.

Shipping

Lyophilized product is shipped at ambient temperature. Liquid small pack size (-SP) is shipped with polar packs. Upon receipt, store immediately at the temperature recommended below.

Stability & Storage

Use a manual defrost freezer and avoid repeated freeze-thaw cycles.
  • 12 months from date of receipt, -20 to -70 °C as supplied.
  • 1 month, 2 to 8 °C under sterile conditions after reconstitution.
  • 6 months, -20 to -70 °C under sterile conditions after reconstitution.

Background: Thrombomodulin/BDCA-3

Encoded by the THBD gene, Thrombomodulin is also known as CD141 antigen. The deduced amino acid (aa) sequence of human THBD (Accession # P07204) predicts a signal peptide (aa 1-18) and a mature chain (aa 19-575) that consists of following domains: C-type lectin (aa 31-169), EGF-like (aa 241-281, aa 284-324, aa 325-363, aa 365-405, aa 404-440, and aa 441-481), transmembrane (aa 516-539) and cytoplasmic (aa 540-575). The R&D Systems rhTHBD consists of aa 19-515, corresponding to the extracellular portion of the type I membrane protein. Predominantly synthesized by vascular endothelial cells, THBD inhibits coagulation and fibrinolysis (1-3). It functions as a cell surface receptor and an essential cofactor for active thrombin, which in turn activates protein C and thrombin-activatable fibrinolysis inhibitor (TAFI), also known as carboxypeptidase B2 (CPB2). Activated protein C (APC), facilitated by protein S, degrades coagulation factors Va and VIIIa, which are required for thrombin activation. Activated CPB2 cleaves basic C-terminal aa residues of its substrates, including fibrin, preventing the conversion of plasminogen to plasmin. In addition, THBD gene polymorphisims are associated with human disease and THBD plays a role in thrombosis, stroke, arteriosclerosis, and cancer (4). For example, increased serum levels of THBD, due to protease cleavage, have been associated with smoking, cardiac surgery, atherosclerosis, liver cirrhosis, diabetes mellitus, cerebral and myocardial infarction, and multiple sclerosis (5).

References

  1. Van de Wouwer, M. et al. (2004) Arterioscler. Thromb. Vasc. 24:1374.
  2. Wu, K.K. et al. (2000) Ann. Med. 32:73.
  3. Li, Y.H. et al. (2006) Cardiovasc. Hematol. Agents Med. Chem. 4:183.
  4. Weiler, H. and B.H. Isermann (2003) J. Thromb. Haemost. 1:1515.
  5. Califano, F. et al. (2000) Eur. Rev. Med. Pharmacol. Sci. 4:59.

Alternate Names

BDCA-3, BDCA3, CD141, Fetomodulin, THBD, THRM

Entrez Gene IDs

7056 (Human); 21824 (Mouse); 83580 (Rat)

Gene Symbol

THBD

UniProt

Additional Thrombomodulin/BDCA-3 Products

Product Documents for Human Thrombomodulin/BDCA-3 Antibody

Certificate of Analysis

To download a Certificate of Analysis, please enter a lot number in the search box below.

Note: Certificate of Analysis not available for kit components.

Product Specific Notices for Human Thrombomodulin/BDCA-3 Antibody

For research use only

Loading...
Loading...
Loading...
Loading...
Loading...