Skip to main content

Key Product Details

Species Reactivity

Validated:

Human

Cited:

Human

Applications

Validated:

Immunohistochemistry, Western Blot

Cited:

Immunohistochemistry-Paraffin, Western Blot

Label

Unconjugated

Antibody Source

Polyclonal Goat IgG

Product Specifications

Immunogen

S. frugiperda insect ovarian cell line Sf 21-derived recombinant human TACE/ADAM17
Arg215-Asn671
Accession # P78536

Specificity

Detects human TACE/ADAM17 in direct ELISAs and Western blots.

Clonality

Polyclonal

Host

Goat

Isotype

IgG

Scientific Data Images for Human TACE/ADAM17 Antibody

Detection of Human TACE/ADAM17 antibody by Western Blot.

Detection of Human TACE/ADAM17 by Western Blot.

Western blot shows lysates of human heart tissue. PVDF membrane was probed with 1 µg/mL of Goat Anti-Human TACE/ADAM17 Antigen Affinity-purified Polyclonal Antibody (Catalog # AF9301) followed by HRP-conjugated Anti-Goat IgG Secondary Antibody (Catalog # HAF019). A specific band was detected for TACE/ADAM17 at approximately 100 kDa (as indicated). This experiment was conducted under reducing conditions and using Immunoblot Buffer Group 1.
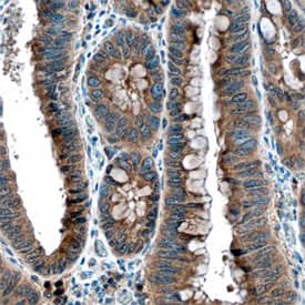
TACE/ADAM17 antibody in Human Colon by Immunohistochemistry (IHC-P).

TACE/ADAM17 in Human Colon.

TACE/ADAM17 was detected in immersion fixed paraffin-embedded sections of human colon using Goat Anti-Human TACE/ADAM17 Antigen Affinity-purified Polyclonal Antibody (Catalog # AF9301) at 3 µg/mL overnight at 4 °C. Before incubation with the primary antibody, tissue was subjected to heat-induced epitope retrieval using Antigen Retrieval Reagent-Basic (Catalog # CTS013). Tissue was stained using the Anti-Goat HRP-DAB Cell & Tissue Staining Kit (brown; Catalog # CTS008) and counterstained with hematoxylin (blue). Specific staining was localized to epithelial cells. View our protocol for Chromogenic IHC Staining of Paraffin-embedded Tissue Sections.

Applications for Human TACE/ADAM17 Antibody

Application
Recommended Usage

Immunohistochemistry

5-15 µg/mL
Sample: Immersion fixed paraffin-embedded sections of human colon

Western Blot

1 µg/mL
Sample: Human heart tissue

Reviewed Applications

Read 1 review rated 5 using AF9301 in the following applications:

Formulation, Preparation, and Storage

Purification

Antigen Affinity-purified

Reconstitution

Sterile PBS to a final concentration of 0.2 mg/mL. For liquid material, refer to CoA for concentration.

Reconstitution Buffer Available:
Size / Price
Qty
Loading...

Formulation

Lyophilized from a 0.2 μm filtered solution in PBS with Trehalose. *Small pack size (SP) is supplied either lyophilized or as a 0.2 µm filtered solution in PBS.

Shipping

Lyophilized product is shipped at ambient temperature. Liquid small pack size (-SP) is shipped with polar packs. Upon receipt, store immediately at the temperature recommended below.

Stability & Storage

Use a manual defrost freezer and avoid repeated freeze-thaw cycles.
  • 12 months from date of receipt, -20 to -70 °C as supplied.
  • 1 month, 2 to 8 °C under sterile conditions after reconstitution.
  • 6 months, -20 to -70 °C under sterile conditions after reconstitution.

Background: TACE/ADAM17

TACE is a member of the ADAM family that contains A Disintegrin And Metalloprotease-like domain. Like other membrane-anchored ADAMs, TACE consists of a pro domain with a cysteine switch and furin cleavage sequence, a catalytic domain with the zinc-binding site and Met-turn expected for reprolysins, a disintegrin-like domain, a cysteine-rich domain, an EGF-like domain, a transmembrane domain, and the cytoplasmic domain. In addition to its ability to release the 17 kDa extracellular form of tumor necrosis factor-alpha (TNF-alpha) from the 26 kDa membrane-anchored TNF-alpha, TACE also plays an essential role in shedding ectodomains from a variety of proteins such as L-Selectin, Transforming Growth Factor-alpha, Amyloid Protein Precursor, and Notch-1 receptor. TACE mRNA is present in virtually every tissue and TACE protein resides both on the cell surface and in the cell.

References

  1. Black, R.A. and J.D. Becherer (1998) in Tumor Necrosis Factor alpha-Converting Enzyme. Barrett, A.J. et al. (eds): Handbook of Proteolytic Enzymes, San Diego: Academic Press, p. 1315.
  2. Primakoff, P. and D.G. Myles (2000) Trends in Genetics 16:83.

Long Name

TNF-alpha Converting Enzyme

Alternate Names

ADAM17, CD156b

Entrez Gene IDs

6868 (Human); 11491 (Mouse)

Gene Symbol

ADAM17

UniProt

Additional TACE/ADAM17 Products

Product Documents for Human TACE/ADAM17 Antibody

Certificate of Analysis

To download a Certificate of Analysis, please enter a lot number in the search box below.

Note: Certificate of Analysis not available for kit components.

Product Specific Notices for Human TACE/ADAM17 Antibody

For research use only

Loading...
Loading...
Loading...
Loading...