Skip to main content

Key Product Details

Species Reactivity

Validated:

Human

Cited:

Human

Applications

Validated:

Immunohistochemistry, Western Blot, ELISA, Immunocytochemistry, Immunoprecipitation

Cited:

Western Blot

Label

Unconjugated

Antibody Source

Polyclonal Sheep IgG

Product Specifications

Immunogen

S. frugiperda insect ovarian cell line Sf 21-derived recombinant human Sphingosine Kinase 1/SPHK1
Asp2-Leu398
Accession # NP_068807

Specificity

Detects human SPHK1 in direct ELISAs and Western blots.  In direct ELISAs, less than 1% cross-reactivity with recombinant human SPHK2 is observed.

Clonality

Polyclonal

Host

Sheep

Isotype

IgG

Scientific Data Images for Human Sphingosine Kinase 1/SPHK1 Antibody

Detection of Human Sphingosine Kinase 1/SPHK1 antibody by Western Blot.

Detection of Human Sphingosine Kinase 1/SPHK1 by Western Blot.

Western blot shows lysates of HepG2 human hepatocellular carcinoma cell line. PVDF Membrane was probed with 0.5 µg/mL of Sheep Anti-Human Sphingosine Kinase 1/SPHK1 Antigen Affinity-purified Polyclonal Antibody (Catalog # AF5536) followed by HRP-conjugated Anti-Sheep IgG Secondary Antibody (Catalog # HAF016). A specific band was detected for Sphingosine Kinase 1/SPHK1 at approximately 45 kDa (as indicated). This experiment was conducted under reducing conditions and using Immunoblot Buffer Group 8.
Sphingosine Kinase 1/SPHK1 antibody in HepG2 Human Cell Line by Immunocytochemistry (ICC).

Sphingosine Kinase 1/SPHK1 in HepG2 Human Cell Line.

Sphingosine Kinase 1/SPHK1 was detected in immersion fixed HepG2 human hepatocellular carcinoma cell line using Sheep Anti-Human Sphingosine Kinase 1/SPHK1 Antigen Affinity-purified Polyclonal Antibody (Catalog # AF5536) at 10 µg/mL for 3 hours at room temperature. Cells were stained using the NorthernLights™ 557-conjugated Anti-Sheep IgG Secondary Antibody (red; Catalog # NL010) and counterstained with DAPI (blue). Specific staining was localized to cytoplasm. View our protocol for Fluorescent ICC Staining of Cells on Coverslips.
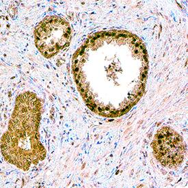
Sphingosine Kinase 1/SPHK1 antibody in Human Prostate by Immunohistochemistry (IHC-P).

Sphingosine Kinase 1/SPHK1 in Human Prostate.

Sphingosine Kinase 1/SPHK1 was detected in immersion fixed paraffin-embedded sections of human prostate using Sheep Anti-Human Sphingosine Kinase 1/SPHK1 Antigen Affinity-purified Polyclonal Antibody (Catalog # AF5536) at 15 µg/mL overnight at 4 °C. Tissue was stained using the Anti-Sheep HRP-DAB Cell & Tissue Staining Kit (brown; Catalog # CTS019) and counterstained with hematoxylin (blue). Specific staining was localized to cytoplasm and nuclei of epithelial cells. View our protocol for Chromogenic IHC Staining of Paraffin-embedded Tissue Sections.

Applications for Human Sphingosine Kinase 1/SPHK1 Antibody

Application
Recommended Usage

ELISA

This antibody functions as an ELISA detection antibody when paired with Mouse Anti-Human Sphingosine Kinase 1/SPHK1 Monoclonal Antibody (Catalog # MAB5536).

This product is intended for assay development on various assay platforms requiring antibody pairs. We recommend the Human Sphingosine Kinase 1/SPHK1 DuoSet ELISA Kit (Catalog # DY5536) for convenient development of a sandwich ELISA.

Immunocytochemistry

5-15 µg/mL
Sample: Immersion fixed HepG2 human hepatocellular carcinoma cell line

Immunohistochemistry

5-15 µg/mL
Sample:

Immersion fixed paraffin-embedded sections of human prostate

Immunoprecipitation

25 µg/mL
Sample: Conditioned cell culture medium spiked with Recombinant Human SPHK1 (Catalog #
5536-SK), see our available Western blot detection antibodies

Western Blot

0.5 µg/mL
Sample: HepG2 human hepatocellular carcinoma cell line

Formulation, Preparation, and Storage

Purification

Antigen Affinity-purified

Reconstitution

Sterile PBS to a final concentration of 0.2 mg/mL. For liquid material, refer to CoA for concentration.

Reconstitution Buffer Available:
Size / Price
Qty
Loading...

Formulation

Lyophilized from a 0.2 μm filtered solution in PBS with Trehalose. *Small pack size (SP) is supplied either lyophilized or as a 0.2 µm filtered solution in PBS.

Shipping

Lyophilized product is shipped at ambient temperature. Liquid small pack size (-SP) is shipped with polar packs. Upon receipt, store immediately at the temperature recommended below.

Stability & Storage

Use a manual defrost freezer and avoid repeated freeze-thaw cycles.
  • 12 months from date of receipt, -20 to -70 °C as supplied.
  • 1 month, 2 to 8 °C under sterile conditions after reconstitution.
  • 6 months, -20 to -70 °C under sterile conditions after reconstitution.

Background: Sphingosine Kinase 1/SPHK1

Sphingosine kinases are cytosolic or membrane-associated enzymes that catalyze the phosphorylation of sphingosine to sphingosine-1-phosphate (S1P). Two types of sphingosine kinases, SPHK1 and SPHK2, are known to be expressed in human cells. The two enzymes share considerable amino acid sequence similarity, but differ in their N‑terminal and central regions (1). The two proteins also differ in tissue distribution and some kinetic properties (1). S1P is a lipid messenger that regulates diverse physiological processes including cell proliferation, migration, apoptosis, inflammation, calcium homeostasis and cytoskeletal structure (2, 3). The level of S1P is tightly controlled by SPHKs and S1P degrading enzymes. SPHK1 and its activation can be stimulated by several growth factors such as tumor necrosis factor-alpha, epidermal growth factor and transforming growth factor-beta (3, 4). Expression of SPHK1 has been found to increase in many human solid tumors and overexpression of SPHK1 is associated with tumor angiogenesis (5). Such studies have implicated SPHK1 as a new target for cancer treatment.

References

  1. Liu, H. et al. (2000) J. Biol. Chem. 275:19513.
  2. Spiegel, S. (1999) J. Leukocyte Biol. 65:341.
  3. Alemany, R. et al. (2007) Naunyn-Schmiedegerg’s Arch. Pharmacol. 374:413.
  4. Pederson, L. et al. (2008) Proc. Natl. Acad. Scis USA. 105:20764.
  5. Shida, D. et al. (2008) Curr. Drug Targets. 9:662.

Alternate Names

SK1, SPK1

Entrez Gene IDs

8877 (Human); 20698 (Mouse); 170897 (Rat)

Gene Symbol

SPHK1

UniProt

Additional Sphingosine Kinase 1/SPHK1 Products

Product Documents for Human Sphingosine Kinase 1/SPHK1 Antibody

Certificate of Analysis

To download a Certificate of Analysis, please enter a lot number in the search box below.

Note: Certificate of Analysis not available for kit components.

Product Specific Notices for Human Sphingosine Kinase 1/SPHK1 Antibody

For research use only

Loading...
Loading...
Loading...
Loading...