Skip to main content

Key Product Details

Species Reactivity

Human

Applications

Immunohistochemistry, Western Blot

Label

Unconjugated

Antibody Source

Polyclonal Sheep IgG

Product Specifications

Immunogen

E. coli-derived recombinant human SHARPIN
Ala27-Ala182
Accession # Q9H0F6

Specificity

Detects human SHARPIN in direct ELISAs and Western blots. 

Clonality

Polyclonal

Host

Sheep

Isotype

IgG

Scientific Data Images for Human SHARPIN Antibody

Detection of Human SHARPIN antibody by Western Blot.

Detection of Human SHARPIN by Western Blot.

Western blot shows lysates of U2OS human osteosarcoma cell line and THP-1 human acute monocytic leukemia cell line. PVDF membrane was probed with 1 µg/mL of Sheep Anti-Human SHARPIN Antigen Affinity-purified Polyclonal Antibody (Catalog # AF8100) followed by HRP-conjugated Anti-Sheep IgG Secondary Antibody (Catalog # HAF016). A specific band was detected for SHARPIN at approximately 43 kDa (as indicated). This experiment was conducted under reducing conditions and using Immunoblot Buffer Group 1.
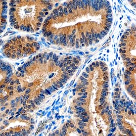
SHARPIN antibody in Human Ovary by Immunohistochemistry (IHC-P).

SHARPIN in Human Ovary.

SHARPIN was detected in immersion fixed paraffin-embedded sections of human ovary using Sheep Anti-Human SHARPIN Antigen Affinity-purified Polyclonal Antibody (Catalog # AF8100) at 10 µg/mL overnight at 4 °C. Tissue was stained using the Anti-Sheep HRP-DAB Cell & Tissue Staining Kit (brown; Catalog # CTS019) and counter-stained with hematoxylin (blue). Specific staining was localized to cytoplasm. View our protocol for Chromogenic IHC Staining of Paraffin-embedded Tissue Sections.

Applications for Human SHARPIN Antibody

Application
Recommended Usage

Immunohistochemistry

5-15 µg/mL
Sample: Immersion fixed paraffin-embedded sections of human ovary

Western Blot

1 µg/mL
Sample: U2OS human osteosarcoma cell line and THP‑1 human acute monocytic leukemia cell line

Formulation, Preparation, and Storage

Purification

Antigen Affinity-purified

Reconstitution

Reconstitute at 0.2 mg/mL in sterile PBS. For liquid material, refer to CoA for concentration.

Reconstitution Buffer Available:
Size / Price
Qty
Loading...

Formulation

Lyophilized from a 0.2 μm filtered solution in PBS with Trehalose. *Small pack size (SP) is supplied either lyophilized or as a 0.2 µm filtered solution in PBS.

Shipping

Lyophilized product is shipped at ambient temperature. Liquid small pack size (-SP) is shipped with polar packs. Upon receipt, store immediately at the temperature recommended below.

Stability & Storage

Use a manual defrost freezer and avoid repeated freeze-thaw cycles.
  • 12 months from date of receipt, -20 to -70 °C as supplied.
  • 1 month, 2 to 8 °C under sterile conditions after reconstitution.
  • 6 months, -20 to -70 °C under sterile conditions after reconstitution.

Background: SHARPIN

Sharpin (Shank-associated RH domain-interacting protein), also called SIPL1 (Shank interacting protein-like 1) is a 40-45kDa protein. It is an essential component of the cytosolic LUBAC ubiquitin conjugation complex. It conjugates linear ubiquitin chains to IKK gamma and activates NFkB, thus regulating immune and inflammatory responses. Sharpin is widely expressed, with upregulated expression in multiple tumor types. Human Sharpin is a 387 amino acid (aa) protein containing self association, SHANK1 interaction, and zinc finger domains. A 326 aa isoform diverges after aa 308 and lacks the zinc finger domain. Within aa 27-182, human Sharpin shares 67 and 66% aa sequence identity with mouse and rat Sharpin, respectively.

Long Name

SHANK-associated RH Domain Interactor

Alternate Names

SIPL1

Entrez Gene IDs

81858 (Human); 106025 (Mouse); 81859 (Rat)

Gene Symbol

SHARPIN

UniProt

Additional SHARPIN Products

Product Documents for Human SHARPIN Antibody

Certificate of Analysis

To download a Certificate of Analysis, please enter a lot number in the search box below.

Note: Certificate of Analysis not available for kit components.

Product Specific Notices for Human SHARPIN Antibody

For research use only

Loading...
Loading...
Loading...
Loading...