Skip to main content

Human Serum Albumin Antibody (JF32-10)

Novus Biologicals, part of Bio-Techne | Catalog # NBP2-66894

Recombinant Monoclonal Antibody.
Novus Biologicals, part of Bio-Techne
Catalog #
Availability
Size / Price
Qty
Loading...
NBP2-66894

Key Product Details

Species Reactivity

Human, Mouse, Rat, Bovine

Applications

Multiplex Immunofluorescence, Immunohistochemistry, Immunohistochemistry-Paraffin, Western Blot

Label

Unconjugated

Antibody Source

Recombinant Monoclonal Rabbit IgG Clone # JF32-10 expressed in HEK293

Concentration

1 mg/ml

Product Specifications

Immunogen

Synthetic peptide within Human Human Serum Albumin aa 156-189 / 609. (SwissProt: P02768 Human; SwissProt: P07724 Mouse; SwissProt: P02770 Rat; SwissProt: P02769 Cow)

Localization

Secreted.

Clonality

Monoclonal

Host

Rabbit

Isotype

IgG

Description

Novus Biologicals Rabbit Human Serum Albumin Antibody (JF32-10) (NBP2-66894) is a recombinant monoclonal antibody validated for use in IHC and WB. All Novus Biologicals antibodies are covered by our 100% guarantee.

Scientific Data Images for Human Serum Albumin Antibody (JF32-10)

Western Blot: Human Serum Albumin Antibody (JF32-10) [NBP2-66894]

Western Blot: Human Serum Albumin Antibody (JF32-10) [NBP2-66894]

Western Blot: Human Serum Albumin Antibody (JF32-10) [NBP2-66894] - Western blot analysis of Human Serum Albumin on different lysates. Proteins were transferred to a PVDF membrane and blocked with 5% BSA in PBS for 1 hour at room temperature. The primary antibody (1/500) was used in 5% BSA at room temperature for 2 hours. Goat Anti-Rabbit IgG - HRP Secondary Antibody (HA1001) at 1:5,000 dilution was used for 1 hour at room temperature. Positive control: Lane 1: Hela cell lysate Lane 2: HepG2 cell lysate
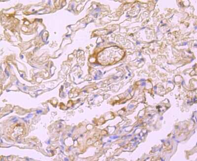
Immunohistochemistry-Paraffin: Human Serum Albumin Antibody (JF32-10) [NBP2-66894]

Immunohistochemistry-Paraffin: Human Serum Albumin Antibody (JF32-10) [NBP2-66894]

Immunohistochemistry-Paraffin: Human Serum Albumin Antibody (JF32-10) [NBP2-66894] - Analysis of paraffin-embedded mouse lung tissue using anti-Albumin antibody. Counter stained with hematoxylin.
Immunohistochemistry-Paraffin: Human Serum Albumin Antibody (JF32-10) [NBP2-66894]

Immunohistochemistry-Paraffin: Human Serum Albumin Antibody (JF32-10) [NBP2-66894]

Immunohistochemistry-Paraffin: Human Serum Albumin Antibody (JF32-10) [NBP2-66894] - Analysis of paraffin-embedded human kidney tissue using anti-Albumin antibody. Counter stained with hematoxylin.

Applications for Human Serum Albumin Antibody (JF32-10)

Application
Recommended Usage

Immunohistochemistry-Paraffin

1:50-1:200

Western Blot

1:500-1:2000

Formulation, Preparation, and Storage

Purification

Protein A purified

Formulation

TBS (pH7.4), 0.05% BSA, 40% Glycerol

Preservative

0.05% Sodium Azide

Concentration

1 mg/ml

Shipping

The product is shipped with polar packs. Upon receipt, store it immediately at the temperature recommended below.

Stability & Storage

Store at 4C short term. Aliquot and store at -20C long term. Avoid freeze-thaw cycles.

Background: Human Serum Albumin

Albumin is a soluble, monomeric protein which comprises about one-half of the blood serum protein. Albumin functions primarily as a carrier protein for steroids, fatty acids, and thyroid hormones and plays a role in stabilizing extracellular fluid volume. Mutations in this gene on chromosome 4 result in various anomalous proteins. Albumin is a globular unglycosylated serum protein of molecular weight 65,000. The human albumin gene is 16,961 nucleotides long from the putative 'cap' site to the first poly(A) addition site. It is split into 15 exons which are symmetrically placed within the 3 domains that are thought to have arisen by triplication of a single primordial domain. Albumin is synthesized in the liver as preproalbumin which has an N-terminal peptide that is removed before the nascent protein is released from the rough endoplasmic reticulum. The product, proalbumin, is in turn cleaved in the Golgi vesicles to produce the secreted albumin.

Alternate Names

albumin, cell growth inhibiting protein 42, DKFZp779N1935, growth-inhibiting protein 20, PRO0883, PRO0903, PRO1341, serum albumin

Gene Symbol

ALB

Additional Human Serum Albumin Products

Product Documents for Human Serum Albumin Antibody (JF32-10)

Certificate of Analysis

To download a Certificate of Analysis, please enter a lot number in the search box below.

Product Specific Notices for Human Serum Albumin Antibody (JF32-10)

This product is for research use only and is not approved for use in humans or in clinical diagnosis. Primary Antibodies are guaranteed for 1 year from date of receipt.

Loading...
Loading...
Loading...
Loading...