Skip to main content

Key Product Details

Species Reactivity

Human

Applications

Western Blot

Label

Unconjugated

Antibody Source

Polyclonal Goat IgG

Product Specifications

Immunogen

E. coli-derived recombinant human PTPN13/PTPL1
Met1-Arg500
Accession # Q12923

Specificity

Detects endogenous human PTPN13/PTPL1 in Western blots.

Clonality

Polyclonal

Host

Goat

Isotype

IgG

Scientific Data Images for Human PTPN13/PTPL1 Antibody

Detection of Human PTPN13/PTPL1 antibody by Western Blot.

Detection of Human PTPN13/PTPL1 by Western Blot.

Western blot shows lysates of HeLa human cervical epithelial carcinoma cell line. PVDF membrane was probed with 1 µg/mL of Human PTPN13/PTPL1 Antigen Affinity-purified Polyclonal Antibody (Catalog # AF3577) followed by HRP-conjugated Anti-Goat IgG Secondary Antibody (Catalog # HAF109). A specific band was detected for PTPN13/PTPL1 at approximately 260 kDa (as indicated). This experiment was conducted under reducing conditions and using Immunoblot Buffer Group 1.
Detection of Human PTPN13/PTPL1 by Western Blot

Detection of Human PTPN13/PTPL1 by Western Blot

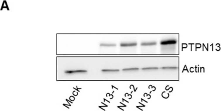
PTPN13 regulates MDA-MB-231 cell motility and invasiveness. A: Expression of wt (N13-1, N13-2, N13-3) or catalytically inactive (CS) PTPN13 in the indicated cell clones was monitored by western blotting using anti-PTPN13 antibodies. Mock: control cells (vector alone); equal loading was verified by re-probing with an anti-actin antibody. B: Cell growth measured using the MTS assay. Results, expressed as % of Mock cells, are the mean ± s.d. of three (N13-1) four (N13-2, N13-3) or five (Mock, CS) independent experiments. C: Directional migration was assessed with the wound healing assay. C. Upper panel: Phase-contrast optical photomicrographs of the wounded area at 0 and 9h. C. Lower panel: Quantification of cell migration, expressed as % of Mock cells; mean ± s.d. of 3 (N13-1) or ≥5 (Mock, N13-2, N13-3, CS) independent experiments. **P<0.01, ****P<0.0001 versus Mock. D: Individual migration of the indicated cell clones was monitored by video microscopy and cell tracking on duplicate wells in three independent experiments. Graph represents the speed of about 1500 cells for each clone, Box-plot whiskers represent the 5 and 95 percentile values; ****P<0.0001 versus Mock and CS. E: Classification of cells (percentage) according to their migration speed (as in panel E): slow (<20µm/h), medium (20 to 40µm/h) and fast (>40µm/h). F: Cell invasiveness was evaluated with the Boyden chamber test. The percentage of cells that migrated through Matrigel-coated filters was quantified relative to the total number of seeded cells. Results, expressed as % of Mock cells, are the mean ± s.d. of five (N13-1), three (N13-2, N13-3) or two (CS) independent experiments *P<0.05 versus Mock. (C, D and F) two-tailed Student's t-test. Image collected and cropped by CiteAb from the following publication (https://pubmed.ncbi.nlm.nih.gov/31938048), licensed under a CC-BY license. Not internally tested by R&D Systems.

Applications for Human PTPN13/PTPL1 Antibody

Application
Recommended Usage

Western Blot

1 µg/mL
Sample: HeLa human cervical epithelial carcinoma cell line

Formulation, Preparation, and Storage

Purification

Antigen Affinity-purified

Reconstitution

Reconstitute at 0.2 mg/mL in sterile PBS. For liquid material, refer to CoA for concentration.

Reconstitution Buffer Available:
Size / Price
Qty
Loading...

Formulation

Lyophilized from a 0.2 μm filtered solution in PBS with Trehalose. *Small pack size (SP) is supplied either lyophilized or as a 0.2 µm filtered solution in PBS.

Shipping

Lyophilized product is shipped at ambient temperature. Liquid small pack size (-SP) is shipped with polar packs. Upon receipt, store immediately at the temperature recommended below.

Stability & Storage

Use a manual defrost freezer and avoid repeated freeze-thaw cycles.
  • 12 months from date of receipt, -20 to -70 °C as supplied.
  • 1 month, 2 to 8 °C under sterile conditions after reconstitution.
  • 6 months, -20 to -70 °C under sterile conditions after reconstitution.

Background: PTPN13/PTPL1

Protein Tyrosine Phosphatase, Non-receptor Type 13, also called PTPN13, PTPL1, FAP-1, hPTP1E and PTP-BAS, is a 260 kDa intracellular protein that removes phosphates from tyrosine residues. Genetic aberrations in PTPN13 have been reported in a wide variety of cancers, including, bone, colon, hepatocellular, and germ cell line. Elevated levels of PTPN13 in cancer cell lines have also been correlated with resistance to Fas-induced apoptosis, possibly due to prevention of CD95 reaching the cell surface.

Long Name

Protein Tyrosine Phosphatase, Non-receptor Type 13

Alternate Names

EAP-1, FAP-1, PNP1, PTP-BAS, PTP-BL, PTP1E, PTPL1, PTPLE

Entrez Gene IDs

5783 (Human); 19249 (Mouse); 498331 (Rat)

Gene Symbol

PTPN13

UniProt

Additional PTPN13/PTPL1 Products

Product Documents for Human PTPN13/PTPL1 Antibody

Certificate of Analysis

To download a Certificate of Analysis, please enter a lot number in the search box below.

Note: Certificate of Analysis not available for kit components.

Product Specific Notices for Human PTPN13/PTPL1 Antibody

For research use only

Loading...
Loading...
Loading...
Loading...