Skip to main content

Key Product Details

Species Reactivity

Human

Applications

Immunohistochemistry, Western Blot

Label

Unconjugated

Antibody Source

Monoclonal Mouse IgG2B Clone # 918462

Product Specifications

Immunogen

E. coli-derived recombinant human PTH
Ser32-Gln115
Accession # P01270

Specificity

Detects human PTH in direct ELISAs.

Clonality

Monoclonal

Host

Mouse

Isotype

IgG2B

Scientific Data Images for Human PTH Antibody

Detection of Human PTH antibody by Western Blot.

Detection of Human PTH by Western Blot.

Western blot shows lysates of human parathyroid tissue. PVDF membrane was probed with 2 µg/mL of Mouse Anti-Human PTH Monoclonal Antibody (Catalog # MAB7665) followed by HRP-conjugated Anti-Mouse IgG Secondary Antibody (Catalog # HAF018). A specific band was detected for PTH at approximately 12 kDa (as indicated). This experiment was conducted under reducing conditions and using Immunoblot Buffer Group 1.
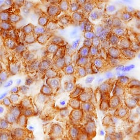
PTH antibody in Human Parathyroid Gland by Immunohistochemistry (IHC-P).

PTH in Human Parathyroid Gland.

PTH was detected in immersion fixed paraffin-embedded sections of human parathyroid gland using Mouse Anti-Human PTH Monoclonal Antibody (Catalog # MAB7665) at 5 µg/mL overnight at 4 °C. Tissue was stained using the Anti-Mouse HRP-DAB Cell & Tissue Staining Kit (brown; Catalog # CTS002) and counterstained with hematoxylin (blue). Specific staining was localized to cell membranes. View our protocol for Chromogenic IHC Staining of Paraffin-embedded Tissue Sections.

Applications for Human PTH Antibody

Application
Recommended Usage

Immunohistochemistry

8-25 µg/mL
Sample: Immersion fixed paraffin-embedded sections of human parathyroid gland

Western Blot

2 µg/mL
Sample: Human parathyroid tissue

Formulation, Preparation, and Storage

Purification

Protein A or G purified from hybridoma culture supernatant

Reconstitution

Reconstitute at 0.5 mg/mL in sterile PBS.

Reconstitution Buffer Available:
Size / Price
Qty
Loading...

Formulation

Lyophilized from a 0.2 μm filtered solution in PBS with Trehalose.

Shipping

The product is shipped at ambient temperature. Upon receipt, store it immediately at the temperature recommended below.

Stability & Storage

Use a manual defrost freezer and avoid repeated freeze-thaw cycles.
  • 12 months from date of receipt, -20 to -70 °C as supplied.
  • 1 month, 2 to 8 °C under sterile conditions after reconstitution.
  • 6 months, -20 to -70 °C under sterile conditions after reconstitution.

Background: PTH

PTH (Parathyroid Hormone) is a critical hormone in the regulation of Ca++ homeostasis (1). The human PTH cDNA encodes 115 amino acids (aa) including a 25 aa signal sequence, a 6 aa propeptide, and an 84 aa mature hormone. Mature human PTH shares 70%, 73%, 88%, 87%, 86%, 86% and 85% aa identity with mouse, rat, canine, equine, bovine, porcine and feline PTH, respectively. Multiple N‑terminal peptides and C-terminal peptides derived from PTH occur naturally in the circulation (1). PTH aa 32-66, called PTH (1-34) since it represents the first 34 aa of the mature hormone, reproduces all the activity of the full length mature hormone and has been used therapeutically for treatment of osteoporosis (1-3). C-terminal peptides mainly oppose the activities of PTH (1-34) and are increased in renal failure (1-3). PTH expression is mainly restricted to the parathyroid gland, with minor amounts in the thymus (4). PTH secretion is enhanced by low Ca++ concentrations and inhibited by FGF-23 (1, 5). In normal human plasma, PTH correlates negatively with active Vitamin D and positively with ionized calcium (6). Human and other mammalian PTH will bind and stimulate human or rat PTH1R, activating adenylate cyclase and increasing cAMP production (2, 7). PTH promotes secretion of TRANCE/RANKL and periostin through PTH1R binding on osteoblasts and/or bone marrow stromal cells (8-10). TRANCE/RANKL induces differentiation of osteoclasts, which in turn promote release of Ca++ from bone (1, 8, 9). PTH1R on osteocytes, however, allows PTH to promote bone formation and IGF-1 production (11, 12). In renal epithelium, PTH promotes conversion of Vitamin D to its active form, lowers Ca++ excretion and increases phosphate excretion (1, 2, 9). PTH also increases hematopoietic stem cell proliferation and mobilization and induces arterial vasodilation by regulating Ca++ influx in PTH1R-expressing arterial smooth muscle (8, 13).

References

  1. Potts, J.T. (2005) J. Endocrinol. 187:311.
  2. Usatii, M. et al. (2007) Kidney Int. 72:1330.
  3. Scillitani, A. et al. (2011) J. Clin. Invest. 34:23.
  4. Liu, Z. et al. (2010) PLoS Genet. 6:e1001251.
  5. Ben-Dov, I.Z. et al. (2007) J. Clin. Invest. 117:4003.
  6. Carnevale, V. et al. (2010) Bone 47:626.
  7. Schipani, E. et al. (1993) Endocrinology 132:2157.
  8. Jacome-Galarza, C.E. et al. (2011) J. Bone Miner. Res. 26:1207.
  9. Lupp, A. et al. (2010) Eur. J. Endocrinol. 162:979.
  10. Fortunati, D. et al. (2010) Matrix Biol. 29:594.
  11. O’Brien, C.A. et al. (2008) PLoS ONE 3:e2942.
  12. Lombardi, G. et al. (2010) J. Endocrinol. Invest. 33:22.
  13. Zaruba, M.M. et al. (2008) Cardiovasc. Res. 77:722.

Long Name

Parathyroid Hormone

Alternate Names

Parathormone, Parathyrin

Entrez Gene IDs

5741 (Human)

Gene Symbol

PTH

UniProt

Additional PTH Products

Product Documents for Human PTH Antibody

Certificate of Analysis

To download a Certificate of Analysis, please enter a lot number in the search box below.

Note: Certificate of Analysis not available for kit components.

Product Specific Notices for Human PTH Antibody

For research use only

Loading...
Loading...
Loading...
Loading...