Human Perforin Antibody
R&D Systems, part of Bio-Techne | Catalog # MAB103852

Conjugate
Catalog #
Key Product Details
Species Reactivity
Human
Applications
Immunohistochemistry, Western Blot
Label
Unconjugated
Antibody Source
Monoclonal Mouse IgG2B Clone # 1031721
Product Specifications
Immunogen
Chinese Hamster Ovary cell line CHO-derived human Perforin
Pro22-Trp555
Accession # P14222
Pro22-Trp555
Accession # P14222
Specificity
Detects human Perforin in direct ELISAs.
Clonality
Monoclonal
Host
Mouse
Isotype
IgG2B
Scientific Data Images for Human Perforin Antibody
Detection of Human Perforin by Western Blot.
Western blot shows lysates of NK-92 human natural killer lymphoma cell line and NK-RL human natural killer lymphocytic leukemia cell line. PVDF membrane was probed with 2 µg/mL of Mouse Anti-Human Perforin Monoclonal Antibody (Catalog # MAB103852) followed by HRP-conjugated Anti-Mouse IgG Secondary Antibody (HAF018). A specific band was detected for Perforin at approximately 61 kDa (as indicated). This experiment was conducted under reducing conditions and using Western Blot Buffer Group 1.Perforin in Human Spleen.
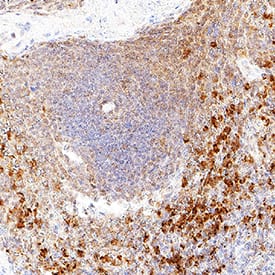
Perforin was detected in immersion fixed paraffin-embedded sections of human spleen using Mouse Anti-Human Perforin Monoclonal Antibody (Catalog # MAB103852) at 5 µg/mL for 1 hour at room temperature followed by incubation with the Anti-Mouse IgG VisUCyte™ HRP Polymer Antibody (VC001). Before incubation with the primary antibody, tissue was subjected to heat-induced epitope retrieval using Antigen Retrieval Reagent-Basic (CTS013). Tissue was stained using DAB (brown) and counterstained with hematoxylin (blue). Specific staining was localized to cytoplasm in lymphocytes. Staining was performed using our protocol for IHC Staining with VisUCyte HRP Polymer Detection Reagents.Applications for Human Perforin Antibody
Application
Recommended Usage
Immunohistochemistry
5-25 µg/mL
Sample: Immersion fixed paraffinembedded sections of human spleen
Sample: Immersion fixed paraffinembedded sections of human spleen
Western Blot
2 µg/mL
Sample: NK‑92 human natural killer lymphoma cell line and NK‑RL human natural killer lymphocytic leukemia cell line
Sample: NK‑92 human natural killer lymphoma cell line and NK‑RL human natural killer lymphocytic leukemia cell line
Formulation, Preparation, and Storage
Purification
Protein A or G purified from hybridoma culture supernatant
Reconstitution
Reconstitute at 0.5 mg/mL in sterile PBS. For liquid material, refer to CoA for concentration.
Formulation
Lyophilized from a 0.2 μm filtered solution in PBS with Trehalose. *Small pack size (SP) is supplied either lyophilized or as a 0.2 µm filtered solution in PBS.
Shipping
Lyophilized product is shipped at ambient temperature. Liquid small pack size (-SP) is shipped with polar packs. Upon receipt, store immediately at the temperature recommended below.
Stability & Storage
Use a manual defrost freezer and avoid repeated freeze-thaw cycles.
- 12 months from date of receipt, -20 to -70 °C as supplied.
- 1 month, 2 to 8 °C under sterile conditions after reconstitution.
- 6 months, -20 to -70 °C under sterile conditions after reconstitution.
Background: Perforin
Long Name
Perforin 1 (Pore Forming Protein)
Alternate Names
Cytolysin, FLH2, HPLH2, P1, PFP, PRF1
Gene Symbol
PRF1
UniProt
Additional Perforin Products
Product Documents for Human Perforin Antibody
Product Specific Notices for Human Perforin Antibody
For research use only
Loading...
Loading...
Loading...
Loading...