Skip to main content

Key Product Details

Species Reactivity

Validated:

Human

Cited:

Human

Applications

Validated:

Immunohistochemistry, Western Blot, Neutralization

Cited:

Immunohistochemistry, Immunohistochemistry-Frozen, Western Blot, Neutralization, Functional Assay

Label

Unconjugated

Antibody Source

Polyclonal Goat IgG

Product Specifications

Immunogen

E. coli-derived recombinant human PDGF-C
Gly230-Gly345
Accession # Q9NRA1

Specificity

Detects human PDGF-C in direct ELISAs and Western blots. In Western blots, approximately 15% cross-reactivity with recombinant mouse PDGF-C is observed, and less than 1% cross-reactivity with human PDGF, recombinant human (rh) PDGF‑AA, rhPDGF‑BB, rhPDGF‑AB, and rhPDGF‑D is observed.

Clonality

Polyclonal

Host

Goat

Isotype

IgG

Endotoxin Level

<0.10 EU per 1 μg of the antibody by the LAL method.

Scientific Data Images for Human PDGF-C Antibody

Detection of Human PDGF-C antibody by Western Blot.

Detection of Human PDGF‑C by Western Blot.

Western blot shows lysates of human platelets. PVDF membrane was probed with 1 µg/mL of Goat Anti-Human PDGF-C Antigen Affinity-purified Polyclonal Antibody (Catalog # AF1560) followed by HRP-conjugated Anti-Goat IgG Secondary Antibody (Catalog # HAF109). Specific bands were detected for PDGF-C p80 at approximately 80 kDa and PDGF-C p55 at approximately 55 kDa (as indicated). This experiment was conducted under reducing conditions and using Immunoblot Buffer Group 8.
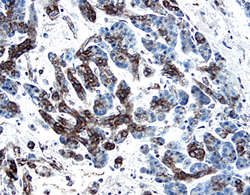
PDGF-C antibody in Human Pancreatic Cancer Tissue by Immunohistochemistry (IHC-P).

PDGF-C in Human Pancreatic Cancer Tissue.

PDGF-C was detected in immersion fixed paraffin-embedded sections of human pancreatic cancer tissue using 1.7 µg/mL Goat Anti-Human PDGF-C Antigen Affinity-purified Polyclonal Antibody (Catalog # AF1560) overnight at 4 °C. Tissue was stained with the Anti-Goat HRP-DAB Cell & Tissue Staining Kit (brown; Catalog # CTS008) and counterstained with hematoxylin (blue). View our protocol for Chromogenic IHC Staining of Paraffin-embedded Tissue Sections.
Cell Proliferation Induced by PDGF-CC and Neutralization by Human PDGF-C Antibody.

Cell Proliferation Induced by PDGF-CC and Neutralization by Human PDGF-C Antibody.

Recombinant Human PDGF-CC (Catalog # 1687-CC) stimulates proliferation in the NR6R-3T3 mouse fibroblast cell line in a dose-dependent manner (orange line). Proliferation elicited by Recombinant Human PDGF-CC (0.8 µg/mL) is neutralized (green line) by increasing concentrations of Goat Anti-Human PDGF-C Antigen Affinity-purified Polyclonal Antibody (Catalog # AF1560). The ND50 is typically 6-24 µg/mL.

Applications for Human PDGF-C Antibody

Application
Recommended Usage

Immunohistochemistry

5-15 µg/mL
Sample: Immersion fixed paraffin-embedded sections of human pancreatic cancer tissue

Western Blot

1 µg/mL
Sample: Human platelets

Neutralization

Measured by its ability to neutralize PDGF‑CC-induced proliferation in the NR6R‑3T3 mouse fibroblast cell line [Raines, E.W. et al. (1985) Methods Enzymol. 109:749]. The Neutralization Dose (ND50) is typically 6-24 µg/mL in the presence of 0.8 µg/mL Recombinant Human PDGF‑CC.

Formulation, Preparation, and Storage

Purification

Antigen Affinity-purified

Reconstitution

Reconstitute at 0.2 mg/mL in sterile PBS. For liquid material, refer to CoA for concentration.

Reconstitution Buffer Available:
Size / Price
Qty
Loading...

Formulation

Lyophilized from a 0.2 μm filtered solution in PBS with Trehalose. *Small pack size (SP) is supplied either lyophilized or as a 0.2 µm filtered solution in PBS.

Shipping

Lyophilized product is shipped at ambient temperature. Liquid small pack size (-SP) is shipped with polar packs. Upon receipt, store immediately at the temperature recommended below.

Stability & Storage

Use a manual defrost freezer and avoid repeated freeze-thaw cycles.
  • 12 months from date of receipt, -20 to -70 °C as supplied.
  • 1 month, 2 to 8 °C under sterile conditions after reconstitution.
  • 6 months, -20 to -70 °C under sterile conditions after reconstitution.

Background: PDGF-C

Platelet-derived growth factor C (PDGF-C), also named spinal cord derived growth factor (SCDGF) and follotain, is a member of the PDGF family that binds to the PDGF receptor alpha alpha and alpha beta. PDGF-C is a growth factor that plays an essential role in the regulation of embryonic development, cell proliferation, cell migration, survival and chemotaxis. It is a potent mitogen and chemoattractant for cells of mesenchymal origin. It is also required for normal skeleton formation during embryonic development, especially for normal development of the craniofacial skeleton and for normal development of the palate. In addition, PDGF-C is required for normal skin morphogenesis during embryonic development. PDGF-C plays an important role in angiogenesis and blood vessel development and is involved in fibrotic processes, in which transformation of interstitial fibroblasts into myofibroblasts plus collagen deposition occurs. The CUB domain has mitogenic activity in coronary artery smooth muscle cells, suggesting a role beyond the maintainance of the latency of the PDGF domain. In the nucleus, PDGFC seems to have additional function. Western blot analysis of platelets identified 55 kDa and 80 kDa PDGF C forms that were secreted on platelet activation (1).

References

Fang L. et al. (2004) Arterioscler Thromb Vasc Biol. 24:787

Long Name

Platelet-derived Growth Factor C

Alternate Names

PDGFC

Entrez Gene IDs

56034 (Human); 54635 (Mouse)

Gene Symbol

PDGFC

UniProt

Additional PDGF-C Products

Product Documents for Human PDGF-C Antibody

Certificate of Analysis

To download a Certificate of Analysis, please enter a lot number in the search box below.

Note: Certificate of Analysis not available for kit components.

Product Specific Notices for Human PDGF-C Antibody

For research use only

Loading...
Loading...
Loading...
Loading...