Skip to main content

Key Product Details

Species Reactivity

Validated:

Human

Cited:

Human

Applications

Validated:

Immunohistochemistry, Western Blot, Immunocytochemistry

Cited:

Immunohistochemistry, Immunohistochemistry-Paraffin, Immunohistochemistry-Frozen, Immunocytochemistry

Label

Unconjugated

Antibody Source

Polyclonal Goat IgG

Product Specifications

Immunogen

Mouse myeloma cell line NS0-derived recombinant human NKp46/NCR1
Gln22-Asn254
Accession # AAH64806

Specificity

Detects human NKp46 in direct ELISAs and Western blots. In direct ELISAs, less than 5% cross-reactivity with recombinant mouse NKp46 (MAR-1) is observed and less than 1% cross-reactivity with recombinant human (rh) NKp30, rhNKp44, and rhNKp80 is observed.

Clonality

Polyclonal

Host

Goat

Isotype

IgG

Scientific Data Images for Human NKp46/NCR1 Antibody

NKp46/NCR1 antibody in NK-92 human cell line

NKp46/NCR1 in NK‑92 human cell line

NKp46/NCR1 was detected in immersion fixed NK-92 human natural killer lymphoma cell line using Goat Anti-Human NKp46/NCR1 Antigen Affinity-purified Polyclonal Antibody (Catalog # AF1850) at 10 µg/mL for 3 hours at room temperature. Cells were stained using the NorthernLights™ 557-conjugated Anti-Goat IgG Secondary Antibody (red; Catalog # NL001) and counterstained with DAPI (blue). View our protocol for Fluorescent ICC Staining of Non-adherent Cells.
NKp46/NCR1 antibody in Human Lymph Node by Immunohistochemistry (IHC-P).

NKp46/NCR1 in Human Lymph Node.

NKp46/NCR1 was detected in immersion fixed paraffin-embedded sections of human lymph node using Goat Anti-Human NKp46/NCR1 Antigen Affinity-purified Polyclonal Antibody (Catalog # AF1850) at 3 µg/mL for 1 hour at room temperature followed by incubation with the Anti-Goat IgG VisUCyte™ HRP Polymer Antibody (Catalog # VC004). Tissue was stained using DAB (brown) and counterstained with hematoxylin (blue). Specific staining was localized to cytoplasm. View our protocol for IHC Staining with VisUCyte HRP Polymer Detection Reagents.

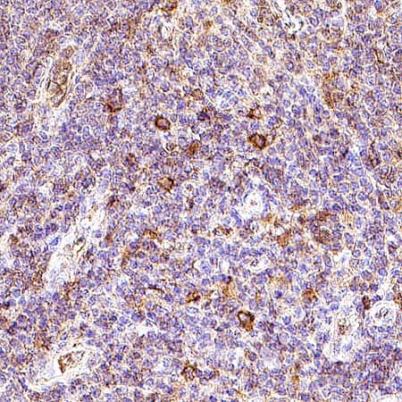
NKp46/NCR1 in Human Lymph Node.

NKp46/NCR1 was detected in immersion fixed paraffin-embedded sections of human lymph node using Goat Anti-Human NKp46/NCR1 Antigen Affinity-purified Polyclonal Antibody (Catalog # AF1850) at 8 µg/mL for 1 hour at room temperature followed by incubation with the Anti-Goat IgG VisUCyte™ HRP Polymer Antibody (VC004). Before incubation with the primary antibody, tissue was subjected to heat-induced epitope retrieval using Antigen Retrieval Reagent-Basic (CTS013). Tissue was stained using DAB (brown) and counterstained with hematoxylin (blue). Specific staining was localized to cytoplasm in lymphocytes.

Applications for Human NKp46/NCR1 Antibody

Application
Recommended Usage

Immunocytochemistry

5-15 µg/mL
Sample: Immersion fixed NK‑92 human natural killer lymphoma cell line

Immunohistochemistry

3-25 µg/mL
Sample: Immersion fixed paraffin-embedded sections of human lymph nodes

Western Blot

0.1 µg/mL
Sample: Recombinant Human NKp46/NCR1 Fc Chimera (Catalog # 1850-NK)

Reviewed Applications

Read 2 reviews rated 3.5 using AF1850 in the following applications:

Formulation, Preparation, and Storage

Purification

Antigen Affinity-purified

Reconstitution

Reconstitute at 0.2 mg/mL in sterile PBS. For liquid material, refer to CoA for concentration.

Reconstitution Buffer Available:
Size / Price
Qty
Loading...

Formulation

Lyophilized from a 0.2 μm filtered solution in PBS with Trehalose. *Small pack size (SP) is supplied either lyophilized or as a 0.2 µm filtered solution in PBS.

Shipping

Lyophilized product is shipped at ambient temperature. Liquid small pack size (-SP) is shipped with polar packs. Upon receipt, store immediately at the temperature recommended below.

Stability & Storage

Use a manual defrost freezer and avoid repeated freeze-thaw cycles.
  • 12 months from date of receipt, -20 to -70 °C as supplied.
  • 1 month, 2 to 8 °C under sterile conditions after reconstitution.
  • 6 months, -20 to -70 °C under sterile conditions after reconstitution.

Background: NKp46/NCR1

NKp46, along with NKp30 and NKp44, are activating receptors that have been collectively termed the natural cytotoxicity receptors (NCR) (1). These receptors lack significant sequence homology to one another. They are expressed almost exclusively by NK cells and play a major role in triggering some of the key lytic activities of NK cells. The CD56dimCD16+ subpopulation that makes up the majority of NK cells in the peripheral blood and spleen expresses NKp46 in both resting and activated states (2). The main NK cell population of the lymph node (CD56brightCD16-) expresses low levels of NKp46 in resting cells, but expression is up-regulated by IL-2. NKp46 is a type I transmembrane protein with two extracellular Ig-like domains followed by a short stalk region, a transmembrane domain containing a positively charged amino acid residue, and a short cytoplasmic tail. Through its positive charge in the transmembrane domain, NKp46 associates with the
ITAM-bearing signal adapter proteins, CD3 zeta and Fc epsilonR1 gamma, which are able to form disulfide-linked homodimers and heterodimers (3, 8). Studies with neutralizing antibodies indicate that the three NCRs are primarily responsible for triggering the NK-mediated lysis of many human tumor cell lines. Blocking any of the NCRs individually resulted in partial inhibition of tumor cell lysis, but nearly complete inhibition of lysis was observed if all three receptors were blocked simultaneously (4). NKp46 has also been implicated in recognition of virus-infected cells through its capacity to bind to viral hemagglutinins (5-7). Human NKp46 shares 58% and 59% amino acid sequence identity with the mouse and rat proteins, respectively.

References

  1. Moretta, L. and A. Moretta (2004) EMBO J. 23:255. 
  2. Ferlazzo, G. et al. (2004) J. Immunol. 172:1455.
  3. Augugliaro, R. et al. (2003) Eur. J. Immunol. 33:1235. 
  4. Pende, D. et al. (1999) J. Exp. Med. 190:1505.
  5. Arnon, T. et al. (2004) Blood 103:664.
  6. Arnon, T. et al. (2001) Eur. J. Immunol. 31:2680.
  7. Mandelboim, O. et al. (2001) Nature 409:1055.
  8. Moretta, A. et al. (2001) Annu. Rev. Immunol. 19:197.

Alternate Names

CD335, Ly94, MAR-1, NCR1

Entrez Gene IDs

9437 (Human); 17086 (Mouse); 100141419 (Porcine); 102115479 (Cynomolgus Monkey)

Gene Symbol

NCR1

UniProt

Additional NKp46/NCR1 Products

Product Documents for Human NKp46/NCR1 Antibody

Certificate of Analysis

To download a Certificate of Analysis, please enter a lot number in the search box below.

Note: Certificate of Analysis not available for kit components.

Product Specific Notices for Human NKp46/NCR1 Antibody

For research use only

Loading...
Loading...
Loading...
Loading...