Skip to main content

Key Product Details

Species Reactivity

Human

Applications

Immunohistochemistry, Western Blot

Label

Unconjugated

Antibody Source

Monoclonal Mouse IgG2A Clone # 859326

Product Specifications

Immunogen

Chinese hamster ovary cell line CHO-derived recombinant human Nephronectin
Glu20-Arg565
Accession # Q6UXI9

Specificity

Detects human Nephronectin in ELISAs and Western blots.

Clonality

Monoclonal

Host

Mouse

Isotype

IgG2A

Scientific Data Images for Human Nephronectin Antibody

Detection of Human Nephronectin antibody by Western Blot.

Detection of Human Nephronectin by Western Blot.

Western blot shows lysates of human kidney tissue. PVDF membrane was probed with 2 µg/mL of Mouse Anti-Human Nephronectin Monoclonal Antibody (Catalog # MAB8025) followed by HRP-conjugated Anti-Mouse IgG Secondary Antibody (Catalog # HAF007). A specific band was detected for Nephronectin at approximately 70 kDa (as indicated). This experiment was conducted under reducing conditions and using Immunoblot Buffer Group 1.

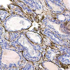
Nephronectin in Human Thyroid.

Nephronectin was detected in immersion fixed frozen sections of human thyroid using Mouse Anti-Human Nephronectin Monoclonal Antibody (Catalog # MAB8025) at 1.7 µg/mL for 1 hour at room temperature followed by incubation with the Anti-Mouse IgG VisUCyte™ HRP Polymer Antibody (VC001). Before incubation with the primary antibody, tissue was subjected to heat-induced epitope retrieval using Antigen Retrieval Reagent-Basic (CTS013). Tissue was stained using DAB (brown) and counterstained with hematoxylin (blue). Specific staining was localized to extracelluar connective tissue. Staining was performed using our protocol for IHC Staining with VisUCyte HRP Polymer Detection Reagents.

Applications for Human Nephronectin Antibody

Application
Recommended Usage

Immunohistochemistry

1.7-25 µg/mL
Sample: Immersion fixed frozen sections of human thyroid

Western Blot

2 µg/mL
Sample: Human kidney tissue

Formulation, Preparation, and Storage

Purification

Protein A or G purified from hybridoma culture supernatant

Reconstitution

Sterile PBS to a final concentration of 0.5 mg/mL. For liquid material, refer to CoA for concentration.

Reconstitution Buffer Available:
Size / Price
Qty
Loading...

Formulation

Lyophilized from a 0.2 μm filtered solution in PBS with Trehalose. *Small pack size (SP) is supplied either lyophilized or as a 0.2 µm filtered solution in PBS.

Shipping

Lyophilized product is shipped at ambient temperature. Liquid small pack size (-SP) is shipped with polar packs. Upon receipt, store immediately at the temperature recommended below.

Stability & Storage

Use a manual defrost freezer and avoid repeated freeze-thaw cycles.
  • 12 months from date of receipt, -20 to -70 °C as supplied.
  • 1 month, 2 to 8 °C under sterile conditions after reconstitution.
  • 6 months, -20 to -70 °C under sterile conditions after reconstitution.

Background: Nephronectin

Nephronectin, also called POEM (preosteoblast EGF repeat protein with MAM domain) or EGFL6L, is a 70‑90 kDa extracellular matrix protein that is a ligand for integrin alpha8 beta1 and mediates cell adhesion and spreading. The 565 amino acid (aa) human Nephronectin contains a 19 aa signal sequence, five EGF-like domains, a mucin-like region, an RGD integrin binding motif, and a MAM domain. Isoforms of 509-595 aa contain deletions of aa 387-416, and/or an insertion of 30 aa after aa 88, and/or substitution of 3 aa for aa 535-564. Mature human Nephronectin shares 88% and 89% aa sequence identity with mouse and rat Nephronectin, respectively. It is most highly expressed in developing endocrine organs such as parathyroid, thyroid, hypophysis and pineal organ, around developing bone, teeth, and muscle, and in the Wolffian duct and ureteric bud basement membranes in the developing kidney.

Alternate Names

EGFL6L, Nctn, NPNT, POEM

Entrez Gene IDs

255743 (Human); 114249 (Mouse)

Gene Symbol

NPNT

UniProt

Additional Nephronectin Products

Product Documents for Human Nephronectin Antibody

Certificate of Analysis

To download a Certificate of Analysis, please enter a lot number in the search box below.

Note: Certificate of Analysis not available for kit components.

Product Specific Notices for Human Nephronectin Antibody

For research use only

Loading...
Loading...
Loading...
Loading...