Skip to main content

Key Product Details

Species Reactivity

Human

Applications

Immunohistochemistry, Western Blot

Label

Unconjugated

Antibody Source

Monoclonal Mouse IgG1 Clone # 541609

Product Specifications

Immunogen

E.coli-derived recombinant human NAIP
Asn923-Val1148
Accession # Q13075

Specificity

Detects human NAIP in Western blots. In direct ELISAs, no cross-reactivity with recombinant mouse (rm) NAIP or rmNAIP2 is observed.

Clonality

Monoclonal

Host

Mouse

Isotype

IgG1

Scientific Data Images for Human NAIP Antibody

Detection of Human NAIP antibody by Western Blot.

Detection of Human NAIP by Western Blot.

Western blot shows lysates of HEK293 human embryonic kidney cell line either mock transfected or transfected with human NAIP and human brain (cerebellum) tissue. PVDF Membrane was probed with 1 µg/mL of Human NAIP Monoclonal Antibody (Catalog # MAB829) followed by HRP-conjugated Anti-Mouse IgG Secondary Antibody (Catalog # HAF007). A specific band was detected for NAIP at approximately 160 kDa (as indicated). This experiment was conducted under reducing conditions and using Immunoblot Buffer Group 2.
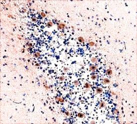
NAIP antibody in Human Brain by Immunohistochemistry (IHC-P).

NAIP in Human Brain.

NAIP was detected in immersion fixed paraffin-embedded sections of human brain (cerebellum) using Human NAIP Monoclonal Antibody (Catalog # MAB829) at 15 µg/mL overnight at 4 °C. Before incubation with the primary antibody, tissue was subjected to heat-induced epitope retrieval using Antigen Retrieval Reagent-Basic (Catalog # CTS013). Tissue was stained using the Anti-Mouse HRP-DAB Cell & Tissue Staining Kit (brown; Catalog # CTS002) and counterstained with hematoxylin (blue). Specific staining was localized to Purkinje neurons. View our protocol for Chromogenic IHC Staining of Paraffin-embedded Tissue Sections.

Applications for Human NAIP Antibody

Application
Recommended Usage

Immunohistochemistry

8-25 µg/mL
Sample: Immersion fixed paraffin-embedded sections of human brain (cerebellum)

Western Blot

1 µg/mL
Sample: HEK293 human embryonic kidney cell line transfected with human NAIP and human brain (cerebellum) tissue

Formulation, Preparation, and Storage

Purification

Protein A or G purified from hybridoma culture supernatant

Reconstitution

Sterile PBS to a final concentration of 0.5 mg/mL. For liquid material, refer to CoA for concentration.

Reconstitution Buffer Available:
Size / Price
Qty
Loading...

Formulation

Lyophilized from a 0.2 μm filtered solution in PBS with Trehalose. *Small pack size (SP) is supplied either lyophilized or as a 0.2 µm filtered solution in PBS.

Shipping

Lyophilized product is shipped at ambient temperature. Liquid small pack size (-SP) is shipped with polar packs. Upon receipt, store immediately at the temperature recommended below.

Stability & Storage

Use a manual defrost freezer and avoid repeated freeze-thaw cycles.
  • 12 months from date of receipt, -20 to -70 °C as supplied.
  • 1 month, 2 to 8 °C under sterile conditions after reconstitution.
  • 6 months, -20 to -70 °C under sterile conditions after reconstitution.

Background: NAIP

Neuronal apoptosis inhibitory protein (NAIP; also Baculoviral IAP repeat-containing protein 1) is a 160 kDa member of the inhibitor of apoptosis family of proteins (also known as BIRC proteins). Human NAIP is 1403 amino acids (aa) in length.  It contains three distinct regions: an N-terminal cluster of three baculoviral inhibitory repeat (BIR) domains, a central nucleotide binding oligomerization domain (NOD), and a C-terminal leucine-rich repeat (LRR) domain.  Human NAIP shares 68% aa identity with mouse NAIP.  NAIP is expressed in motor neurons, but not in sensory neurons.  It is also expressed in the liver, placenta and to a lesser extent in the spinal cord.  NAIP prevents motor neuron apoptosis, and defects in NAIP have been found in individuals with spinal muscular atrophy.

Long Name

Neuronal Apoptosis Inhibitor Protein

Alternate Names

BIRC1, NLRB1

Entrez Gene IDs

4671 (Human); 17940 (Mouse); 191568 (Rat)

Gene Symbol

NAIP

UniProt

Additional NAIP Products

Product Documents for Human NAIP Antibody

Certificate of Analysis

To download a Certificate of Analysis, please enter a lot number in the search box below.

Note: Certificate of Analysis not available for kit components.

Product Specific Notices for Human NAIP Antibody

For research use only

Loading...
Loading...
Loading...
Loading...