Skip to main content

Key Product Details

Species Reactivity

Validated:

Human

Cited:

Human

Applications

Validated:

Immunohistochemistry, Western Blot

Cited:

Western Blot

Label

Unconjugated

Antibody Source

Polyclonal Goat IgG

Product Specifications

Immunogen

E. coli-derived recombinant human Mrc2
Cys800-Ala1059
Accession # Q9UBG0

Specificity

Detects human Mrc2 in direct ELISAs and Western blots. In direct ELISAs, less than 1% cross‑reactivity with recombinant mouse Mrc2 is observed.

Clonality

Polyclonal

Host

Goat

Isotype

IgG

Scientific Data Images for Human Mrc2 Antibody

Detection of Human Mrc2 antibody by Western Blot.

Detection of Human Mrc2 by Western Blot.

Western blot shows lysates of HEK293 human embryonic kidney cell line. PVDF membrane was probed with 1 µg/mL of Goat Anti-Human Mrc2 Antigen Affinity-purified Polyclonal Antibody (Catalog # AF5770) followed by HRP-conjugated Anti-Goat IgG Secondary Antibody (Catalog # HAF019). A specific band was detected for Mrc2 at approximately 180 kDa (as indicated). This experiment was conducted under reducing conditions and using Immunoblot Buffer Group 8.
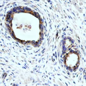
Mrc2 antibody in Human Prostate Cancer Tissue by Immunohistochemistry (IHC-P).

Mrc2 in Human Prostate Cancer Tissue.

Mrc2 was detected in immersion fixed paraffin-embedded sections of human prostate cancer tissue using Goat Anti-Human Mrc2 Antigen Affinity-purified Polyclonal Antibody (Catalog # AF5770) at 3 µg/mL overnight at 4 °C. Tissue was stained using the Anti-Goat HRP-DAB Cell & Tissue Staining Kit (brown; Catalog # CTS008) and counterstained with hematoxylin (blue). Specific staining was localized to plasma membranes and cytoplasm. View our protocol for Chromogenic IHC Staining of Paraffin-embedded Tissue Sections.
Detection of Mrc2 by Western Blot

Detection of Mrc2 by Western Blot

SEL1L, but not HRD1, positively regulates MRC2.a Flow-cytometry based collagen-uptake assay in HEK293T of different genotypes (compared with baseline control without fluorescent collagen). N = 4 (Baseline), 5 (WT, SEL1L-KO, HRD1-KO) per group; p = 0.0209 (vs. SEL1L-KO), p = 0.7682 (vs. HRD1-KO). b, c Western blot and densitometry of HEK293T cells of different genotypes, representative of N = 5 independent experiments; p = 0.0120 (WT vs. SEL1L-KO), p = 0.5143 (WT vs. HRD1-KO). d Firefly luciferase assay of MRC2 promoter activity, normalized to constitutive Renilla luciferase in HEK293T cells of different genotypes. N = 3 per group; p = 0.011 (WT vs. SEL1L-KO), p = 0.0162 (SEL1L-KO vs. HRD1-KO), p = 0.078 (WT vs. HRD1-KO). e Western blot of HEK293T cells of different genotypes transfected with MRC2 overexpression vector vs. vehicle control, representative of N = 6 independent experiments. f Representative wide-field immunofluorescence images of HEK293T cells of different genotypes transfected with MRC2 overexpression vector vs. vehicle control. g Flow-cytometry based collagen-uptake assay in HEK293T of different genotypes transfected with MRC2 overexpression vector (compared with baseline control without fluorescent collagen; note different scale compared with panel a). N = 3 (Baseline), 4 (WT, SEL1L-KO, HRD1-KO) per group; p = 0.9993 (WT vs. SEL1L-KO), p = 0.9898 (SEL1L vs. HRD1-KO). Data are shown as the mean ± SEM. Statistics: a, g one-way ANOVA with post-hoc Tukey testing; c repeated-measures ANOVA with post-hoc Bonferroni testing; d one-way ANOVA with post-hoc Bonferroni testing. *p < 0.05, **p < 0.01, ns not significant. Source data are provided as a Source Data file. Image collected and cropped by CiteAb from the following open publication (https://www.nature.com/articles/s41467-024-45817-8), licensed under a CC-BY license. Not internally tested by R&D Systems.

Applications for Human Mrc2 Antibody

Application
Recommended Usage

Immunohistochemistry

5-15 µg/mL
Sample: Immersion fixed paraffin-embedded sections of human prostate cancer tissue

Western Blot

1 µg/mL
Sample: HEK293 human embryonic kidney cell line

Formulation, Preparation, and Storage

Purification

Antigen Affinity-purified

Reconstitution

Reconstitute at 0.2 mg/mL in sterile PBS. For liquid material, refer to CoA for concentration.

Reconstitution Buffer Available:
Size / Price
Qty
Loading...

Formulation

Lyophilized from a 0.2 μm filtered solution in PBS with Trehalose. *Small pack size (SP) is supplied either lyophilized or as a 0.2 µm filtered solution in PBS.

Shipping

Lyophilized product is shipped at ambient temperature. Liquid small pack size (-SP) is shipped with polar packs. Upon receipt, store immediately at the temperature recommended below.

Stability & Storage

Use a manual defrost freezer and avoid repeated freeze-thaw cycles.
  • 12 months from date of receipt, -20 to -70 °C as supplied.
  • 1 month, 2 to 8 °C under sterile conditions after reconstitution.
  • 6 months, -20 to -70 °C under sterile conditions after reconstitution.

Background: Mrc2

Mrc2 (C-type Mannose Receptor 2; also MMR2, Endocytic Receptor 180 and uPARAP) is a 180‑200 kDa member of the macrophage mannose receptor family of proteins. It is widely expressed, being found on fibroblasts, monocytes/macrophages, endothelial cells, keratinocytes and myoepithelial cells. It binds the carbohydrates Man, Fuc and NAcGlc, type V collagen, and pro‑uPA. Mature human Mrc2 is a 1449 amino acid (aa) type I transmembrane protein. It contains a 1384 aa extracellular region and a 44 aa cytoplasmic domain. The extracellular region shows one ricin B‑type lectin domain (aa 41‑167), one fibronectin type II domain (aa 182‑230) and eight C‑type lectin domains (aa 244‑1393). Over aa 800‑1059, human Mrc2 shares 87% aa identity with mouse Mrc2.

Long Name

Mannose Receptor, C-type 2

Alternate Names

CD280, CLEC13E, Endo180, uPARAP

Entrez Gene IDs

9902 (Human); 17534 (Mouse); 498011 (Rat)

Gene Symbol

MRC2

UniProt

Additional Mrc2 Products

Product Documents for Human Mrc2 Antibody

Certificate of Analysis

To download a Certificate of Analysis, please enter a lot number in the search box below.

Note: Certificate of Analysis not available for kit components.

Product Specific Notices for Human Mrc2 Antibody

For research use only

Loading...
Loading...
Loading...
Loading...