Skip to main content

Key Product Details

Species Reactivity

Validated:

Human, Mouse

Cited:

Human, Mouse, Transgenic Mouse

Applications

Validated:

Immunohistochemistry, Western Blot, ELISA, Immunocytochemistry

Cited:

Immunohistochemistry, Western Blot

Label

Unconjugated

Antibody Source

Monoclonal Rat IgG2A Clone # 55025

Product Specifications

Immunogen

E. coli-derived recombinant mouse Wnt-4
Ile37-Glu76
Accession # NP_033549

Specificity

This antibody detects human and mouse Wnt-4 in direct ELISAs and Western blots. In direct ELISAs, no cross-reactivity with recombinant mouse (rm) Wnt-1, 2b, 5a, 5b, 8a, 8b, 9b, 10a, 10b, 11, 16, recombinant human (rh) Wnt-2, 3a, 7a, or 7b is observed. In sandwich immunoassays, this antibody is specific for human Wnt-4 as a capture antibody when paired with Sheep Anti-Human Wnt‑4 Antigen Affinity-purified Polyclonal Antibody (Catalog # AF6076).

Clonality

Monoclonal

Host

Rat

Isotype

IgG2A

Scientific Data Images for Human/Mouse Wnt-4 Antibody

Detection of Human Wnt-4 antibody by Western Blot.

Detection of Human Wnt‑4 by Western Blot.

Western blot shows lysates of human breast cancer tissue. PVDF membrane was probed with 2 µg/mL Rat Anti-Human/Mouse Wnt-4 Monoclonal Antibody (Catalog # MAB4751) followed by HRP-conjugated Anti-Rat IgG Secondary Antibody (HAF005). A specific band for Wnt-4 was detected at approximately 39 kDa (as indicated). This experiment was conducted under reducing conditions and using Immunoblot Buffer Group 1.
Wnt-4 antibody in MCF-7 Human Cell Line by Immunocytochemistry (ICC).

Wnt‑4 in MCF‑7 Human Cell Line.

Wnt-4 was detected in immersion fixed MCF-7 human breast cancer cell line using Rat Anti-Human/Mouse Wnt-4 Monoclonal Antibody (Catalog # MAB4751) at 3 µg/mL for 3 hours at room temperature. Cells were stained using the NorthernLights™ 557-conjugated Anti-Rat IgG Secondary Antibody (red; NL013) and counterstained with DAPI (blue). Specific staining was localized to cytoplasm. View our protocol for Fluorescent ICC Staining of Cells on Coverslips.

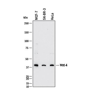
Detection of Human Wnt-4 by Western Blot.

Western blot shows lysates of MCF-7 human breast cancer cell line and SK-BR-3 human breast cancer cell line and HeLa human cervical epithelial carcinoma cell line. PVDF membrane was probed with 2 µg/mL of Rat Anti-Human/Mouse Wnt-4 Monoclonal Antibody (Catalog # MAB4751) followed by HRP-conjugated Anti-Rat IgG Secondary Antibody (HAF005). A specific band was detected for Wnt-4 at approximately 39 kDa (as indicated). This experiment was conducted under reducing conditions and using Western Blot Buffer Group 1.

Applications for Human/Mouse Wnt-4 Antibody

Application
Recommended Usage

ELISA

This antibody functions as an ELISA capture antibody for human Wnt-4 when paired with Sheep Anti-Human Wnt‑4 Antigen Affinity-purified Polyclonal Antibody (Catalog # AF6076).

This product is intended for assay development on various assay platforms requiring antibody pairs.

Immunocytochemistry

3-25 µg/mL
Sample: Immersion fixed MCF-7 human breast cancer cell line

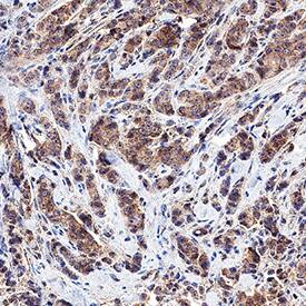
Immunohistochemistry

1-25 µg/mL
Sample: Immersion fixed paraffin-embedded sections of human breast cancer tissue

Western Blot

2 µg/mL
Sample: Human breast cancer tissue, MCF‑7 human breast cancer cell line and SK‑BR‑3 human breast cancer cell line and HeLa human cervical epithelial carcinoma cell line

Formulation, Preparation, and Storage

Purification

Protein A or G purified from hybridoma culture supernatant

Reconstitution

Reconstitute at 0.5 mg/mL in sterile PBS. For liquid material, refer to CoA for concentration.

Reconstitution Buffer Available:
Size / Price
Qty
Loading...

Formulation

Lyophilized from a 0.2 μm filtered solution in PBS with Trehalose. *Small pack size (SP) is supplied either lyophilized or as a 0.2 µm filtered solution in PBS.

Shipping

Lyophilized product is shipped at ambient temperature. Liquid small pack size (-SP) is shipped with polar packs. Upon receipt, store immediately at the temperature recommended below.

Stability & Storage

Use a manual defrost freezer and avoid repeated freeze-thaw cycles.
  • 12 months from date of receipt, -20 to -70 °C as supplied.
  • 1 month, 2 to 8 °C under sterile conditions after reconstitution.
  • 6 months, -20 to -70 °C under sterile conditions after reconstitution.

Background: Wnt-4

Wnt-4 is a secreted glycoprotein that binds to receptors of the Frizzled family. Wnt-4 is important for multiple embryonic development processes including kidney morphogenesis.

Long Name

Wingless-type MMTV Integration Site Family, Member 4

Alternate Names

Wnt4

Entrez Gene IDs

54361 (Human); 22417 (Mouse)

Gene Symbol

WNT4

Additional Wnt-4 Products

Product Documents for Human/Mouse Wnt-4 Antibody

Certificate of Analysis

To download a Certificate of Analysis, please enter a lot number in the search box below.

Note: Certificate of Analysis not available for kit components.

Product Specific Notices for Human/Mouse Wnt-4 Antibody

For research use only

Loading...
Loading...
Loading...
Loading...