Skip to main content

Key Product Details

Species Reactivity

Human, Mouse

Applications

Immunohistochemistry, Western Blot, Immunocytochemistry

Label

Unconjugated

Antibody Source

Polyclonal Sheep IgG

Product Specifications

Immunogen

E. coli-derived recombinant human TRIM32
Arg105-Lys204
Accession # Q13049

Specificity

Detects human and mouse TRIM32 in Western blots.

Clonality

Polyclonal

Host

Sheep

Isotype

IgG

Scientific Data Images for Human/Mouse TRIM32 Antibody

Detection of Human and Mouse TRIM32 antibody by Western Blot.

Detection of Human and Mouse TRIM32 by Western Blot.

Western blot shows lysates of HeLa human cervical epithelial carcinoma cell line, PC-3 human prostate cancer cell line, and A20 mouse B cell lymphoma cell line. PVDF Membrane was probed with 0.5 µg/mL of Sheep Anti-Human/Mouse TRIM32 Antigen Affinity-purified Polyclonal Antibody (Catalog # AF6515) followed by HRP-conjugated Anti-Sheep IgG Secondary Antibody (Catalog # HAF016). A specific band was detected for TRIM32 at approximately 72 kDa (as indicated). This experiment was conducted under reducing conditions and using Immunoblot Buffer Group 2.
TRIM32 antibody in HeLa Human Cell Line by Immunocytochemistry (ICC).

TRIM32 in HeLa Human Cell Line.

TRIM32 was detected in immersion fixed HeLa human cervical epithelial carcinoma cell line using Sheep Anti-Human/Mouse TRIM32 Antigen Affinity-purified Polyclonal Antibody (Catalog # AF6515) at 10 µg/mL for 3 hours at room temperature. Cells were stained using the NorthernLights™ 557-conjugated Anti-Sheep IgG Secondary Antibody (red; Catalog # NL010) and counterstained with DAPI (blue). Specific staining was localized to cytoplasm. View our protocol for Fluorescent ICC Staining of Cells on Coverslips.
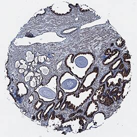
TRIM32 antibody in Human Prostate Cancer Tissue by Immunohistochemistry (IHC-P).

TRIM32 in Human Prostate Cancer Tissue.

TRIM32 was detected in immersion fixed paraffin-embedded sections of human prostate cancer tissue using Sheep Anti-Human/Mouse TRIM32 Antigen Affinity-purified Polyclonal Antibody (Catalog # AF6515) at 10 µg/mL overnight at 4 °C. Tissue was stained using the Anti-Sheep HRP-DAB Cell & Tissue Staining Kit (brown; Catalog # CTS019) and counterstained with hematoxylin (blue). Specific staining was localized to cytoplasm in epithelial cells. View our protocol for Chromogenic IHC Staining of Paraffin-embedded Tissue Sections.

Applications for Human/Mouse TRIM32 Antibody

Application
Recommended Usage

Immunocytochemistry

5-15 µg/mL
Sample: Immersion fixed HeLa human cervical epithelial carcinoma cell line

Immunohistochemistry

5-15 µg/mL
Sample: Immersion fixed paraffin-embedded sections of human prostate cancer tissue

Western Blot

0.5 µg/mL
Sample: HeLa human cervical epithelial carcinoma cell line, PC‑3 human prostate cancer cell line, and A20 mouse B cell lymphoma cell line

Formulation, Preparation, and Storage

Purification

Antigen Affinity-purified

Reconstitution

Sterile PBS to a final concentration of 0.2 mg/mL. For liquid material, refer to CoA for concentration.

Reconstitution Buffer Available:
Size / Price
Qty
Loading...

Formulation

Lyophilized from a 0.2 μm filtered solution in PBS with Trehalose. *Small pack size (SP) is supplied either lyophilized or as a 0.2 µm filtered solution in PBS.

Shipping

Lyophilized product is shipped at ambient temperature. Liquid small pack size (-SP) is shipped with polar packs. Upon receipt, store immediately at the temperature recommended below.

Stability & Storage

Use a manual defrost freezer and avoid repeated freeze-thaw cycles.
  • 12 months from date of receipt, -20 to -70 °C as supplied.
  • 1 month, 2 to 8 °C under sterile conditions after reconstitution.
  • 6 months, -20 to -70 °C under sterile conditions after reconstitution.

Background: TRIM32

TRIM32 (Tripartite motif-containing protein 32; also 72 kDa TAT-interacting protein, and zinc finger protein HT2A) is a 72-82 kDa member of the TRIM/RBCC family of proteins. It is an E3 ligase that is found in structures termed nuclear and cytoplasmic bodies. Cells known to express TRIM32 are diverse and include fibroblasts, keratinocytes, skeletal muscle cells and neurons. TRIM32 ubiquitinates select proteins such as c-myc, Abi2, actin and dysbindin. Human TRIM32 is 653 amino acids (aa) in length. It contains one E3 ligase RING finger domain (aa 20-65), a B-Box type zinc-finger region (aa 103-133), a coiled-coil region (aa 138-197), five NHL repeats (aa 358-646) and three utilized phosphorylation sites (Ser328/335/339). TRIM32 has the potential to form homomultimers. Over aa 105-204, human TRIM32 exhibits 95% aa identity with mouse TRIM32.

Long Name

Tripartite Motif-containing Protein 32

Alternate Names

BBS11, HT2A, LGMD2H, TATIP

Entrez Gene IDs

22954 (Human); 69807 (Mouse); 313264 (Rat)

Gene Symbol

TRIM32

UniProt

Additional TRIM32 Products

Product Documents for Human/Mouse TRIM32 Antibody

Certificate of Analysis

To download a Certificate of Analysis, please enter a lot number in the search box below.

Note: Certificate of Analysis not available for kit components.

Product Specific Notices for Human/Mouse TRIM32 Antibody

For research use only

Loading...
Loading...
Loading...
Loading...