Skip to main content

Key Product Details

Validated by

Biological Validation

Species Reactivity

Validated:

Human, Mouse, Rat

Cited:

Human, Mouse, Rat, Transgenic Mouse

Applications

Validated:

Immunohistochemistry, Western Blot, Simple Western

Cited:

Western Blot, Simple Western, Western Blot Control

Label

Unconjugated

Antibody Source

Monoclonal Mouse IgG2A Clone # 728526

Product Specifications

Immunogen

E. coli-derived recombinant human Vinculin
Lys1020-Gln1134
Accession # P18206

Specificity

Detects human Vinculin in direct ELISAs and Western blots.

Clonality

Monoclonal

Host

Mouse

Isotype

IgG2A

Scientific Data Images for Human/Mouse/Rat Vinculin Antibody

Detection of Human Vinculin antibody by Western Blot.

Detection of Human Vinculin by Western Blot.

Western blot shows lysates of HeLa human cervical epithelial carcinoma cell line and HepG2 human hepatocellular carcinoma cell line. PVDF membrane was probed with 2 µg/mL of Mouse Anti-Human Vinculin Monoclonal Antibody (Catalog # MAB6896) followed by HRP-conjugated Anti-Mouse IgG Secondary Antibody (Catalog # HAF007). A specific band was detected for Vinculin at approximately 124 kDa (as indicated). This experiment was conducted under reducing conditions and using Immunoblot Buffer Group 1.
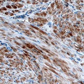
Vinculin antibody in Human Uterus by Immunohistochemistry (IHC-P).

Vinculin in Human Uterus.

Vinculin was detected in immersion fixed paraffin-embedded sections of human uterus using Mouse Anti-Human Vinculin Monoclonal Antibody (Catalog # MAB6896) at 15 µg/mL overnight at 4 °C. Before incubation with the primary antibody, tissue was subjected to heat-induced epitope retrieval using Antigen Retrieval Reagent-Basic (Catalog # CTS013). Tissue was stained using the Anti-Mouse HRP-DAB Cell & Tissue Staining Kit (brown; Catalog # CTS002) and counterstained with hematoxylin (blue). Specific staining was localized to smooth muscle cells. View our protocol for Chromogenic IHC Staining of Paraffin-embedded Tissue Sections.
Detection of Human Vinculin antibody by Simple WesternTM.

Detection of Human Vinculin by Simple WesternTM.

Simple Western lane view shows lysates of HeLa human cervical epithelial carcinoma cell line and PC‑3 human prostate cancer cell line, loaded at 0.2 mg/mL. A specific band was detected for Vinculin at approximately 122 kDa (as indicated) using 20 µg/mL of Mouse Anti-Human/Mouse/Rat Vinculin Monoclonal Antibody (Catalog # MAB6896). This experiment was conducted under reducing conditions and using the 12-230 kDa separation system.

Applications for Human/Mouse/Rat Vinculin Antibody

Application
Recommended Usage

Immunohistochemistry

8-25 µg/mL
Sample: Immersion fixed paraffin-embedded sections of human uterus

Simple Western

20 µg/mL
Sample: HeLa human cervical epithelial carcinoma cell line and PC‑3 human prostate cancer cell line

Western Blot

2 µg/mL
Sample: HeLa human cervical epithelial carcinoma cell line and HepG2 human hepatocellular carcinoma cell line

Reviewed Applications

Read 10 reviews rated 4.1 using MAB6896 in the following applications:

Formulation, Preparation, and Storage

Purification

Protein A or G purified from hybridoma culture supernatant

Reconstitution

Sterile PBS to a final concentration of 0.5 mg/mL. For liquid material, refer to CoA for concentration.

Reconstitution Buffer Available:
Size / Price
Qty
Loading...

Formulation

Lyophilized from a 0.2 μm filtered solution in PBS with Trehalose. *Small pack size (SP) is supplied either lyophilized or as a 0.2 µm filtered solution in PBS.

Shipping

Lyophilized product is shipped at ambient temperature. Liquid small pack size (-SP) is shipped with polar packs. Upon receipt, store immediately at the temperature recommended below.

Stability & Storage

Use a manual defrost freezer and avoid repeated freeze-thaw cycles.
  • 12 months from date of receipt, -20 to -70 °C as supplied.
  • 1 month, 2 to 8 °C under sterile conditions after reconstitution.
  • 6 months, -20 to -70 °C under sterile conditions after reconstitution.

Background: Vinculin

VCL (vinculin) is a 117 kDa actin binding cytoskeletal phosphoprotein found in adherens-type cell-cell and cell-matrix junctions. The 1066 amino acid (aa) human vinculin contains an N-terminal globular head (aa 2-835) with a talin interaction domain (aa 168-208) and three tandem repeats (aa 259-589), a pro-rich linker region (aa 826-878), and a C-terminal tail that facilitates phospholipid membrane insertion (aa 1003-1134). An 1134 aa form termed metavinculin contains 68 aa inserted after aa 915 and mainly occurs in cardiac, skeletal and smooth muscle. Human, mouse and rat vinculin share 100% aa sequence identity within the region used as an immunogen.

Long Name

Metavinculin

Alternate Names

MVCL, VCL

Entrez Gene IDs

7414 (Human); 22330 (Mouse); 305679 (Rat)

Gene Symbol

VCL

UniProt

Additional Vinculin Products

Product Documents for Human/Mouse/Rat Vinculin Antibody

Certificate of Analysis

To download a Certificate of Analysis, please enter a lot number in the search box below.

Note: Certificate of Analysis not available for kit components.

Product Specific Notices for Human/Mouse/Rat Vinculin Antibody

For research use only

Loading...
Loading...
Loading...
Loading...