Human/Mouse/Rat Phospho-Akt (S473) Pan Specific Antibody
R&D Systems, part of Bio-Techne | Catalog # AF887
Conjugate
Catalog #
Key Product Details
Validated by
Biological Validation
Species Reactivity
Validated:
Human, Mouse, Rat
Cited:
Human, Mouse, Rat, Primate, Transgenic Rat
Applications
Validated:
Immunohistochemistry, Western Blot, Intracellular Staining by Flow Cytometry, Simple Western, CyTOF-ready
Cited:
Immunohistochemistry, Immunohistochemistry-Paraffin, Immunohistochemistry-Frozen, Western Blot, Simple Western, Bioassay, Cell Based ELISA, ELISA Capture, ELISA Development
Label
Unconjugated
Antibody Source
Polyclonal Rabbit IgG
Product Specifications
Immunogen
Phosphopeptide containing human, mouse, and rat Akt1 S473 site
Specificity
Detects human, mouse and rat Akt1, Akt2 and Akt3, when phosphorylated at S473, S474 and S472, respectively.
Clonality
Polyclonal
Host
Rabbit
Isotype
IgG
Scientific Data Images for Human/Mouse/Rat Phospho-Akt (S473) Pan Specific Antibody
Detection of Mouse and Human Phospho-Akt (S473) Pan Specific by Western Blot.
Western blot shows lysates of NIH-3T3 mouse embryonic fibroblast cell line untreated (-) or treated (+) with 100 ng/mL Human PDGF (120-HD) for 15 minutes and MCF-7 human breast cancer cell line untreated or treated with 100 ng/mL Recombinant Human IGF-1 (291-G1) for 15 minutes. PVDF membrane was probed with 0.5 µg/mL of Rabbit Anti-Human/Mouse/Rat Phospho-Akt (S473) Pan Specific Antigen Affinity-purified Polyclonal Antibody (Catalog # AF887), followed by HRP-conjugated Anti-Rabbit IgG Secondary Antibody (HAF008). A specific band was detected for Phospho-Akt (S473) Pan Specific at approximately 60 kDa (as indicated). This experiment was conducted under reducing conditions and using Immunoblot Buffer Group 1.Akt in Human Breast Cancer Tissue.
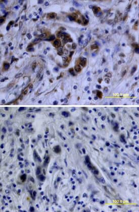
Akt phosphorylated at S473 was detected in immersion fixed paraffin-embedded sections of human breast cancer tissue using Rabbit Anti-Human/Mouse/Rat Phospho-Akt (S473) Antigen Affinity-purified Polyclonal Antibody (Catalog # AF887) at 10 µg/mL overnight at 4 °C. Tissue was stained using the Anti-Rabbit HRP-DAB Cell & Tissue Staining Kit (brown; CTS005) and counterstained with hematoxylin (blue). Lower panel shows a lack of labeling if primary antibodies are omitted and tissue is stained only with secondary antibody followed by incubation with detection reagents. View our protocol for Chromogenic IHC Staining of Paraffin-embedded Tissue Sections.Detection of Phospho-Akt (S473) in IGF-1-treated MCF‑7 cells by Flow Cytometry.
Serum-starved MCF-7 human breast cancer cells were unstimulated (blue open histogram) or activated with 100 ng/mL Recombinant human IGF-1 (Catalog # 291-G1, dark orange filled histogram) for 15 minutes, then stained with Rabbit Anti-Human/Mouse/Rat Phospho-Akt (S473) Antigen Affinity-purified Polyclonal Antibody (Catalog # AF887) followed by PE-conjugated Anti-Rabbit IgG Secondary Antibody (F0110). To facilitate intracellular staining, cells were fixed with formaldehyde (FC004) and permeabilized with Methanol.Applications for Human/Mouse/Rat Phospho-Akt (S473) Pan Specific Antibody
Application
Recommended Usage
CyTOF-ready
Ready to be labeled using established conjugation methods. No BSA or other carrier proteins that could interfere with conjugation.
Immunohistochemistry
5-15 µg/mL
Sample: Immersion fixed paraffin-embedded sections of human breast cancer tissue
Sample: Immersion fixed paraffin-embedded sections of human breast cancer tissue
Intracellular Staining by Flow Cytometry
0.25 µg/106 cells
Sample: Serum‑starved MCF‑7 human breast cancer cells +/- treatment with Recombinant human IGF-1 (Catalog # 291-G1), then fixed with formaldehyde and permeabilized with methanol
Sample: Serum‑starved MCF‑7 human breast cancer cells +/- treatment with Recombinant human IGF-1 (Catalog # 291-G1), then fixed with formaldehyde and permeabilized with methanol
Simple Western
5 µg/mL
Sample: MCF‑7 human breast cancer cell line and A549 human lung carcinoma cell line treated with Recombinant Human IGF‑I (Catalog # 291-G1)
Sample: MCF‑7 human breast cancer cell line and A549 human lung carcinoma cell line treated with Recombinant Human IGF‑I (Catalog # 291-G1)
Western Blot
0.5 µg/mL
Sample: NIH-3T3 mouse embryonic fibroblast cell line treated with Human PDGF (Catalog # 120-HD) and MCF-7 human breast cancer cell line treated with Recombinant Human IGF-1 (Catalog # 291-G1)
Sample: NIH-3T3 mouse embryonic fibroblast cell line treated with Human PDGF (Catalog # 120-HD) and MCF-7 human breast cancer cell line treated with Recombinant Human IGF-1 (Catalog # 291-G1)
Formulation, Preparation, and Storage
Purification
Antigen and protein A Affinity-purified
Reconstitution
Reconstitute at 0.2 mg/mL in sterile PBS. For liquid material, refer to CoA for concentration.
Formulation
Lyophilized from a 0.2 μm filtered solution in PBS with Trehalose. *Small pack size (SP) is supplied either lyophilized or as a 0.2 µm filtered solution in PBS.
Shipping
Lyophilized product is shipped at ambient temperature. Liquid small pack size (-SP) is shipped with polar packs. Upon receipt, store immediately at the temperature recommended below.
Stability & Storage
Use a manual defrost freezer and avoid repeated freeze-thaw cycles.
- 12 months from date of receipt, -20 to -70 °C as supplied.
- 1 month, 2 to 8 °C under sterile conditions after reconstitution.
- 6 months, -20 to -70 °C under sterile conditions after reconstitution.
Background: Akt
Akt1, Akt2, and Akt3 make up a family of serine/threonine kinases, often activated downstream of growth factor receptors and PI 3-Kinase. Each Akt family member contains an N-terminal pleckstrin homology (PH) domain, a central kinase domain, and a C-terminal regulatory domain. They have putative roles in cell proliferation and survival, and Akt perturbations are thought to play an important role in tumorigenesis.
Long Name
v-Akt Murine Thymoma Viral Oncogene Homolog
Alternate Names
PKB, RAC
Additional Akt Products
Product Documents for Human/Mouse/Rat Phospho-Akt (S473) Pan Specific Antibody
Product Specific Notices for Human/Mouse/Rat Phospho-Akt (S473) Pan Specific Antibody
For research use only
Loading...
Loading...
Loading...
Loading...
Loading...