Skip to main content

Key Product Details

Species Reactivity

Human, Mouse, Rat

Applications

Immunohistochemistry, Western Blot

Label

Unconjugated

Antibody Source

Monoclonal Mouse IgG1 Clone # 450515

Product Specifications

Immunogen

E.coli-derived recombinant human Intelectin-1
Thr19-Ser298
Accession # Q8WWA0

Specificity

Detects human Intelectin-1 and human Intelectin-2 in direct ELISAs. Detects human, mouse, and rat Intelectin-1 and Intelectin-2 in Western blots.

Clonality

Monoclonal

Host

Mouse

Isotype

IgG1

Scientific Data Images for Human/Mouse/Rat Intelectin-1/2 Antibody

Detection of Human, Mouse, and Rat Intelectin-1/2 antibody by Western Blot.

Detection of Human, Mouse, and Rat Intelectin-1/2 by Western Blot.

Western blot shows lysates of recombinant human Intelectin-1 (Catalog # 9137-IN), recombinant human Intelectin-2, human small intestine tissue, mouse small intestine tissue, and rat small intestine tissue. PVDF membrane was probed with 0.5 µg/mL of Mouse Anti-Human/Mouse/Rat Intelectin-1/2 Monoclonal Antibody (Catalog # MAB42542) followed by HRP-conjugated Anti-Mouse IgG Secondary Antibody (Catalog # HAF018). A specific band was detected for Intelectin-1/2 at approximately 36-40 kDa (as indicated). This experiment was conducted under reducing conditions and using Immunoblot Buffer Group 1.
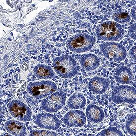
Intelectin-1/2 antibody in Human Small Intestine by Immunohistochemistry (IHC-P).

Intelectin‑1/2 in Human Small Intestine.

Intelectin-1/2 was detected in immersion fixed paraffin-embedded sections of human small intestine using Mouse Anti-Human/Mouse Intelectin-1/2 Monoclonal Antibody (Catalog # MAB42542) at 5 µg/mL for 1 hour at room temperature followed by incubation with the Anti-Mouse IgG VisUCyte™ HRP Polymer Antibody (Catalog # VC001). Tissue was stained using DAB (brown) and counterstained with hematoxylin (blue). Specific staining was localized to intestinal glands. View our protocol for Fluorescent ICC Staining of Cells on Coverslips.
Intelectin-1/2 antibody in Human Ileum Air-Liquid Interface by Immunohistochemistry (IHC-P).

Intelectin‑1/2 in Human Ileum Air-Liquid Interface.

Intelectin-1/2 was detected in immersion fixed paraffin-embedded sections of human ileum air-liquid interface using Mouse Anti-Human/Mouse Intelectin-1/2 Monoclonal Antibody (Catalog # MAB42542) at 0.5 µg/mL overnight at 4 °C. Tissue was stained using the NorthernLights™ 557-conjugated Anti-Mouse IgG Secondary Antibody (red; Catalog # NL007) and counterstained with DAPI (blue). Specific staining was localized to mucus granules in goblet cells. View our protocol for Fluorescent IHC Staining of Frozen Tissue Sections.

Applications for Human/Mouse/Rat Intelectin-1/2 Antibody

Application
Recommended Usage

Immunohistochemistry

0.5-25 µg/mL
Sample: Immersion fixed paraffin-embedded sections of human small intestine and human ileal air-liquid interface

Western Blot

0.5 µg/mL
Sample: Recombinant human Intelectin-1 (Catalog # 9137-IN), recombinant human Intelectin-2, human small intestine tissue, mouse small intestine tissue, and rat small intestine tissue

Formulation, Preparation, and Storage

Purification

Protein A or G purified from hybridoma culture supernatant

Reconstitution

Reconstitute at 0.5 mg/mL in sterile PBS. For liquid material, refer to CoA for concentration.

Reconstitution Buffer Available:
Size / Price
Qty
Loading...

Formulation

Lyophilized from a 0.2 μm filtered solution in PBS with Trehalose. *Small pack size (SP) is supplied either lyophilized or as a 0.2 µm filtered solution in PBS.

Shipping

Lyophilized product is shipped at ambient temperature. Liquid small pack size (-SP) is shipped with polar packs. Upon receipt, store immediately at the temperature recommended below.

Stability & Storage

Use a manual defrost freezer and avoid repeated freeze-thaw cycles.
  • 12 months from date of receipt, -20 to -70 °C as supplied.
  • 1 month, 2 to 8 °C under sterile conditions after reconstitution.
  • 6 months, -20 to -70 °C under sterile conditions after reconstitution.

Background: Intelectin-1/2

Intelectin-1 (intestinal lectin; also ITLN-1 and omentin) is a 40 kDa Ca-dependent galactofuranose-binding lectin that is not a C-type lectin. It is expressed on multiple cell types and appears to participate in insulin signaling and microbe recognition. The human ITLN-1 preproprecursor is 313 amino acids (aa) in length. It contains an 18 aa signal sequence, a 280 aa mature segment (aa 19-298), and a 15 aa C-terminal proregion that is cleaved to generate a GPI-linkage. One fibrinogen-related domain exists in the mature molecule (aa 36-209). Human ITLN-1 exists as a disulfide-linked glycosylated homotrimer. Mouse ITLN-1 is unglycosylated and a monomer. Mature human ITLN-1 is 82% aa identical to mouse ITLN-1. Human ITLN-1 shows one alternate start site at Met72, and a splice form that contains a 32 aa substitution for aa 264-313.

Intelectin-2 (ITLN-2; also endothelial lectin 2 and HL-2) is a 37-41 kDa, likely Ca-dependent carbohydrate-binding lectin that is a member of the X-lectin family of molecules. It is secreted by intestinal Paneth cells, and appears to participate in fungal microbe recognition. The human ITLN-2 precursor is 325 amino acids (aa) in length (SwissProt #:Q8WWU7). It contains a 26 aa signal sequence and a 299 aa mature region. Although mouse ITLN-2 is reportedly GPI-linked, and mouse and human ITLN-2 show considerable C-terminal aa identity, it is not known if human ITNL-2 is also GPI-linked. There is one fibrinogen-related domain in the mature molecule (aa 44-267). One potential splice variant is reported that shows a premature truncation after Gly264. Over aa 29-324, human ITLN-2 shares 79% aa sequence identity with mouse ITLN-2/ITLN-1b, and 85% aa sequence identity with human ITLN-1.

Alternate Names

Intelectin-1 / Intelectin-2

Entrez Gene IDs

55600 (Human)

Gene Symbol

ITLN1

UniProt

Additional Intelectin-1/2 Products

Product Documents for Human/Mouse/Rat Intelectin-1/2 Antibody

Certificate of Analysis

To download a Certificate of Analysis, please enter a lot number in the search box below.

Note: Certificate of Analysis not available for kit components.

Product Specific Notices for Human/Mouse/Rat Intelectin-1/2 Antibody

For research use only

Loading...
Loading...
Loading...
Loading...