Skip to main content

Key Product Details

Species Reactivity

Validated:

Human, Mouse, Rat

Cited:

Human, Mouse, Transgenic Mouse

Applications

Validated:

Immunohistochemistry, Western Blot, Simple Western

Cited:

Immunohistochemistry, Western Blot

Label

Unconjugated

Antibody Source

Polyclonal Goat IgG

Product Specifications

Immunogen

E. coli derived recombinant mouse FKBP38
Met1-Gly326
Accession # AAH03739

Specificity

Detects human, mouse, and rat FKBP38 in Western blots. In Western blots, less than 1% cross-reactivity with recombinant human FKBP-12, -12.6, -13, -25, -51, or -52 is observed.

Clonality

Polyclonal

Host

Goat

Isotype

IgG

Scientific Data Images for Human/Mouse/Rat FKBP38 Antibody

Detection of Human/Mouse/Rat FKBP38 antibody by Western Blot.

Detection of Human/Mouse/Rat FKBP38 by Western Blot.

Western blot shows lysates of HepG2 human hepatocellular carcinoma cell line, MDA-MB-468 human breast cancer cell line, A549 human lung carcinoma cell line, C2C12 mouse myoblast cell line, and L6 rat myoblast cell line. PVDF membrane was probed with 0.5 µg/mL of Goat Anti-Human/Mouse/Rat FKBP38 Antigen Affinity-purified Polyclonal Antibody (Catalog # AF3580) followed by HRP-conjugated Anti-Goat IgG Secondary Antibody (Catalog # HAF109). A specific band was detected for FKBP38 at approximately 60 - 64 kDa (as indicated). This experiment was conducted under reducing conditions and using Immunoblot Buffer Group 2.
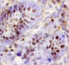
FKBP38 antibody in Human Intestine by Immunohistochemistry (IHC-P).

FKBP38 in Human Intestine.

FKBP38 was detected in immersion fixed paraffin-embedded sections of human intestine using 15 µg/mL Goat Anti-Human/Mouse/Rat FKBP38 Antigen Affinity-purified Polyclonal Antibody (Catalog # AF3580) overnight at 4 °C. Tissue was stained with the Anti-Goat HRP-DAB Cell & Tissue Staining Kit (brown; Catalog # CTS008) and counterstained with hematoxylin (blue). Specific labeling was localized to the nucleus of epithelial cells in intestinal glands. View our protocol for Chromogenic IHC Staining of Paraffin-embedded Tissue Sections. This application has not been tested in rat or mouse tissue.
Detection of Human FKBP38 antibody by Simple WesternTM.

Detection of Human FKBP38 by Simple WesternTM.

Simple Western lane view shows lysates of HepG2 human hepatocellular carcinoma cell line and MDA-MB-468 human breast cancer cell line, loaded at 0.2 mg/mL. A specific band was detected for FKBP38 at approximately 58 kDa (as indicated) using 5 µg/mL of Goat Anti-Human/Mouse/Rat FKBP38 Antigen Affinity-purified Polyclonal Antibody (Catalog # AF3580) followed by 1:50 dilution of HRP-conjugated Anti-Goat IgG Secondary Antibody (Catalog # HAF109). This experiment was conducted under reducing conditions and using the 12-230 kDa separation system.

Applications for Human/Mouse/Rat FKBP38 Antibody

Application
Recommended Usage

Immunohistochemistry

5-15 µg/mL
Sample: Immersion fixed paraffin-embedded sections of human intestine

Simple Western

5 µg/mL
Sample: HepG2 human hepatocellular carcinoma cell line and MDA‑MB‑468 human breast cancer cell line

Western Blot

0.5 µg/mL
Sample: HepG2 human hepatocellular carcinoma cell line, MDA-MB-468 human breast cancer cell line, A549 human lung carcinoma cell line, C2C12 mouse myoblast cell line, and L6 rat myoblast cell line

Reviewed Applications

Read 1 review rated 4 using AF3580 in the following applications:

Formulation, Preparation, and Storage

Purification

Antigen Affinity-purified

Reconstitution

Reconstitute at 0.2 mg/mL in sterile PBS. For liquid material, refer to CoA for concentration.

Reconstitution Buffer Available:
Size / Price
Qty
Loading...

Formulation

Lyophilized from a 0.2 μm filtered solution in PBS with Trehalose. *Small pack size (SP) is supplied either lyophilized or as a 0.2 µm filtered solution in PBS.

Shipping

Lyophilized product is shipped at ambient temperature. Liquid small pack size (-SP) is shipped with polar packs. Upon receipt, store immediately at the temperature recommended below.

Stability & Storage

Use a manual defrost freezer and avoid repeated freeze-thaw cycles.
  • 12 months from date of receipt, -20 to -70 °C as supplied.
  • 1 month, 2 to 8 °C under sterile conditions after reconstitution.
  • 6 months, -20 to -70 °C under sterile conditions after reconstitution.

Background: FKBP38

FK506 Binding Proteins (FKBPs) are intracellular receptors for the immuno-suppressive drug FK506. The FKBP/FK506 complex exerts its immunosuppressive effects by inhibiting calcineurin, a calcium- and calmodulin-dependent serine/threonine phosphatase that functions as a critical signaling molecule during T cell activation. FKBP38, also known as FKBP8, is a 355 amino acid (aa) protein with a calculated molecular weight of 38.7 kDa and an apparent molecular mass of ~60-64 kDa in SDS-PAGE. FKBP38 binds to and inhibits calcineurin even in the absence of FK506, indicating that FKBP38 is a constitutively active inhibitor of calcineurin. Additionally, FKBP38 immunoprecipitates with Bcl-2 and Bcl-xL, suggesting that FKBP38 may regulate apoptosis by anchoring Bcl-2 and Bcl-xL to mitochondrial membranes. Mouse FKBP38 shares 94% and 87% sequence identity with human and rat FKBP38, respectively.

Long Name

38 kDa FK506 Binding Protein

Alternate Names

FKBP8

Entrez Gene IDs

23770 (Human); 14232 (Mouse); 290652 (Rat)

Gene Symbol

FKBP8

UniProt

Additional FKBP38 Products

Product Documents for Human/Mouse/Rat FKBP38 Antibody

Certificate of Analysis

To download a Certificate of Analysis, please enter a lot number in the search box below.

Note: Certificate of Analysis not available for kit components.

Product Specific Notices for Human/Mouse/Rat FKBP38 Antibody

For research use only

Loading...
Loading...
Loading...
Loading...