Skip to main content

Key Product Details

Validated by

Knockout/Knockdown, Biological Validation

Species Reactivity

Validated:

Human, Mouse, Rat

Cited:

Human, Mouse, Rat, Transgenic Mouse

Applications

Validated:

Knockout Validated, Immunohistochemistry, Western Blot, Simple Western

Cited:

Immunohistochemistry, Immunohistochemistry-Paraffin, Immunohistochemistry-Frozen, Western Blot, Flow Cytometry, Immunocytochemistry, Co-Immunoprecipitation

Label

Unconjugated

Antibody Source

Polyclonal Goat IgG

Product Specifications

Immunogen

E. coli-derived recombinant mouse FABP5/E‑FABP
Met1-Gln135
Accession # Q05816

Specificity

Detects mouse FABP5/E‑FABP in direct ELISAs and Western blots.

Clonality

Polyclonal

Host

Goat

Isotype

IgG

Scientific Data Images for Human/Mouse/Rat FABP5/E-FABP Antibody

Detection of Human, Mouse, and Rat FABP5/E-FABP antibody by Western Blot.

Detection of Human, Mouse, and Rat FABP5/E‑FABP by Western Blot.

Western blot shows lysates of human placenta tissue, mouse liver tissue, rat brain tissue, and rat heart tissue. PVDF membrane was probed with 0.5 µg/mL of Goat Anti-Human/Mouse/ Rat FABP5/E-FABP Antigen Affinity-purified Polyclonal Antibody (Catalog # AF1476) followed by HRP-conjugated Anti-Goat IgG Secondary Antibody (HAF017). A specific band was detected for FABP5/ E-FABP at approximately 15 kDa (as indicated). This experiment was conducted under reducing conditions and using Immunoblot Buffer Group 1.
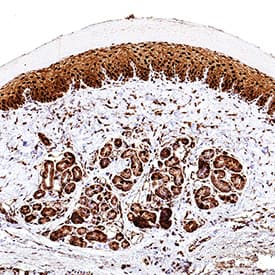
FABP5/E-FABP antibody in Mouse Skin Tissue by Immunohistochemistry (IHC-P).

FABP5/E‑FABP in Mouse Skin Tissue.

FABP5/E-FABP was detected in immersion fixed paraffin-embedded sections of mouse skin (ear) tissue using Goat Anti-Human/Mouse/Rat FABP5/E-FABP Antigen Affinity-purified Polyclonal Antibody (Catalog # AF1476) at 3 µg/mL for 1 hour at room temperature followed by incubation with the Anti-Goat IgG VisUCyte™ HRP Polymer Antibody (VC004). Before incubation with the primary antibody, tissue was subjected to heat-induced epitope retrieval using Antigen Retrieval Reagent-Basic (CTS013). Tissue was stained using DAB (brown) and counterstained with hematoxylin (blue). Specific staining was localized to cell nuclei. View our protocol for IHC Staining with VisUCyte HRP Polymer Detection Reagents.

Detection of Human and Mouse FABP5/E-FABP by Simple WesternTM.

Simple Western lane view shows lysates of human placenta and mouse liver, loaded at 0.2 mg/mL. A specific band was detected for FABP5/E-FABP at approximately 20 kDa (as indicated) using 10 µg/mL of Goat Anti-Human/Mouse/Rat FABP5/E-FABP Antigen Affinity-purified Polyclonal Antibody (Catalog # AF1476) . This experiment was conducted under reducing conditions and using the 2-40 kDa separation system.

Applications for Human/Mouse/Rat FABP5/E-FABP Antibody

Application
Recommended Usage

Immunohistochemistry

3-15 µg/mL
Sample: Immersion fixed paraffin-embedded sections of mouse skin (ear) tissue

Knockout Validated

FABP5/E‑FABP is specifically detected in HeLa human cervical epithelial carcinoma parental cell line but is not detectable in FABP5/E‑FABP knockout HeLa cell line.

Simple Western

10 µg/mL
Sample: Human placenta and mouse liver

Western Blot

0.5 µg/mL
Sample: Human placenta tissue, mouse liver tissue, rat brain tissue, and rat heart tissue

Formulation, Preparation, and Storage

Purification

Antigen Affinity-purified

Reconstitution

Reconstitute at 0.2 mg/mL in sterile PBS. For liquid material, refer to CoA for concentration.

Reconstitution Buffer Available:
Size / Price
Qty
Loading...

Formulation

Lyophilized from a 0.2 μm filtered solution in PBS with Trehalose. *Small pack size (SP) is supplied either lyophilized or as a 0.2 µm filtered solution in PBS.

Shipping

Lyophilized product is shipped at ambient temperature. Liquid small pack size (-SP) is shipped with polar packs. Upon receipt, store immediately at the temperature recommended below.

Stability & Storage

Use a manual defrost freezer and avoid repeated freeze-thaw cycles.
  • 12 months from date of receipt, -20 to -70 °C as supplied.
  • 1 month, 2 to 8 °C under sterile conditions after reconstitution.
  • 6 months, -20 to -70 °C under sterile conditions after reconstitution.

Background: FABP5/E-FABP

FABP5, also known as epidermal fatty acid binding protein (E-FABP), is a 15 kDa member of a cytosolic fatty acid binding protein superfamily. It is associated with keratinocytes and adipocytes and is suggested to promote fatty acid availability to enzymes, protect cell structures from fatty acid attack, and target fatty acids to nuclear transcription factors. The amino acid sequence of human FABP5 is 80%, 81% and 92% identical to that of mouse, rat and bovine FABP5, respectively.

Long Name

Fatty Acid-Binding Protein 5

Alternate Names

E-FABP, EFABP

Entrez Gene IDs

2171 (Human); 16592 (Mouse); 140868 (Rat)

Gene Symbol

FABP5

UniProt

Additional FABP5/E-FABP Products

Product Documents for Human/Mouse/Rat FABP5/E-FABP Antibody

Certificate of Analysis

To download a Certificate of Analysis, please enter a lot number in the search box below.

Note: Certificate of Analysis not available for kit components.

Product Specific Notices for Human/Mouse/Rat FABP5/E-FABP Antibody

For research use only

Loading...
Loading...
Loading...
Loading...