Skip to main content

Key Product Details

Species Reactivity

Human, Mouse, Rat

Applications

Immunohistochemistry, Western Blot

Label

Unconjugated

Antibody Source

Polyclonal Sheep IgG

Product Specifications

Immunogen

E. coli-derived recombinant human Ets-1
Glu127-Val230
Accession # P14921

Specificity

Detects human, mouse, and rat Ets-1 in Western blots and detects recombinant human Ets-1 in direct ELISAs.

Clonality

Polyclonal

Host

Sheep

Isotype

IgG

Scientific Data Images for Human/Mouse/Rat Ets-1 Antibody

Detection of Human, Mouse, and Rat Ets-1 antibody by Western Blot.

Detection of Human, Mouse, and Rat Ets-1 by Western Blot.

Western blot shows lysates of Jurkat human acute T cell leukemia cell line, human thymus tissue, mouse thymus tissue, and rat CD4+T cells. PVDF membrane was probed with 0.5 µg/mL of Sheep Anti-Human/Mouse/Rat Ets-1 Antigen Affinity-purified Polyclonal Antibody (Catalog # AF7284) followed by HRP-conjugated Anti-Sheep IgG Secondary Antibody (Catalog # HAF016). A specific band was detected for Ets-1 at approximately 54 kDa (as indicated). This experiment was conducted under reducing conditions and using Immunoblot Buffer Group 1.
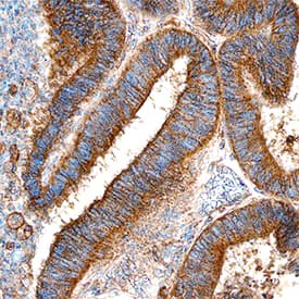
Ets-1 antibody in Human Ovary by Immunohistochemistry (IHC-P).

Ets‑1 in Human Ovary.

Ets-1 was detected in immersion fixed paraffin-embedded sections of human ovary using Sheep Anti-Human/Mouse/Rat Ets-1 Antigen Affinity-purified Polyclonal Antibody (Catalog # AF7284) at 5 µg/mL for 1 hour at room temperature followed by incubation with the Anti-Sheep IgG VisUCyte™ HRP Polymer Antibody (Catalog # VC006). Tissue was stained using DAB (brown) and counterstained with hematoxylin (blue). Specific staining was localized to plasma membrane in epithelial cells. View our protocol for IHC Staining with VisUCyte HRP Polymer Detection Reagents.

Applications for Human/Mouse/Rat Ets-1 Antibody

Application
Recommended Usage

Immunohistochemistry

5-15 µg/mL
Sample: Immersion fixed paraffin-embedded sections of human ovary

Western Blot

0.5 µg/mL
Sample: Jurkat human acute T cell leukemia cell line, human thymus tissue, mouse thymus tissue, and rat CD4+ T cells

Formulation, Preparation, and Storage

Purification

Antigen Affinity-purified

Reconstitution

Sterile PBS to a final concentration of 0.2 mg/mL. For liquid material, refer to CoA for concentration.

Reconstitution Buffer Available:
Size / Price
Qty
Loading...

Formulation

Lyophilized from a 0.2 μm filtered solution in PBS with Trehalose. *Small pack size (SP) is supplied either lyophilized or as a 0.2 µm filtered solution in PBS.

Shipping

Lyophilized product is shipped at ambient temperature. Liquid small pack size (-SP) is shipped with polar packs. Upon receipt, store immediately at the temperature recommended below.

Stability & Storage

Use a manual defrost freezer and avoid repeated freeze-thaw cycles.
  • 12 months from date of receipt, -20 to -70 °C as supplied.
  • 1 month, 2 to 8 °C under sterile conditions after reconstitution.
  • 6 months, -20 to -70 °C under sterile conditions after reconstitution.

Background: Ets-1

Ets-1 (E26 Transformation-Specific 1; also p54 and c-ets1) is a 52-54 kDa member of the ETS family of proteins. It is found in multiple cell types, and serves as a transcriptional regulator (generally activator) of multiple target genes, including prolactin, the transferrin receptor, and Cyclin E. By upregulating Cyclin E and CDK2 genes, it promotes cell-cycle progression. Ets‑1 forms complexes with both transcriptional activators (AP-1 and GHF-1) and repressors (MafB and Daxx). Human Ets‑1 is 441 amino acids (aa) in length. It contains one PNT domain (aa 51-136) that binds ERK2, and a DNA-binding ETS domain (aa 335-415). There are two SUMOylation sites, plus four utilized phosphorylation and acetylated lysine sites. At least four potential isoform variants are reported. One shows a deletion of aa 244-330 (termed isoform 1B), a second shows a deletion of aa 262-331, a third contains a deletion of aa 28-244, and a fourth possesses an 11 aa substitution for aa 262-441. Over aa 127-230, human Ets‑1 shares 95% aa identity with mouse Ets‑1.

Long Name

E26 Transformation-specific Sequence-1

Alternate Names

Ets1, EWSR2, p54, Protein C-Ets-1, v-ets

Entrez Gene IDs

2113 (Human); 23871 (Mouse)

Gene Symbol

ETS1

UniProt

Additional Ets-1 Products

Product Documents for Human/Mouse/Rat Ets-1 Antibody

Certificate of Analysis

To download a Certificate of Analysis, please enter a lot number in the search box below.

Note: Certificate of Analysis not available for kit components.

Product Specific Notices for Human/Mouse/Rat Ets-1 Antibody

For research use only

Loading...
Loading...
Loading...
Loading...