Skip to main content

Key Product Details

Species Reactivity

Validated:

Human, Mouse, Rat

Cited:

Human, Mouse

Applications

Validated:

Immunohistochemistry, Western Blot, Simple Western

Cited:

Immunohistochemistry, Western Blot, Immunocytochemistry

Label

Unconjugated

Antibody Source

Polyclonal Goat IgG

Product Specifications

Immunogen

E. coli-derived recombinant human Annexin A1
Met1-Asn346
Accession # P04083

Specificity

The antibody detects human, mouse and rat Annexin A1 in Western blots. In Western blots, goat anti‑human/mouse/rat Annexin A1 does not cross‑react with recombinant human Annexin A2, A3, A4, A6, A7, A8, A9, A10, A11 or A13.

Clonality

Polyclonal

Host

Goat

Isotype

IgG

Scientific Data Images for Human/Mouse/Rat Annexin A1 Antibody

Detection of Human/Mouse/Rat Annexin A1 antibody by Western Blot.

Detection of Human/Mouse/Rat Annexin A1 by Western Blot.

Western blot shows lysates of MOLT-4 human acute lymphoblastic leukemia cell line, NIH-3T3 mouse embryonic fibroblast cell line, and L6 rat myoblast cell line. PVDF membrane was probed with 0.2 µg/mL of Goat Anti-Human/Mouse/Rat Annexin A1 Antigen Affinity-purified Polyclonal Antibody (Catalog # AF3770) followed by HRP-conjugated Anti-Goat IgG Secondary Antibody (Catalog # HAF109). A specific band was detected for Annexin A1 at approximately 35-40 kDa (as indicated). This experiment was conducted under reducing conditions and using Immunoblot Buffer Group 2.
Detection of Human and Mouse Annexin A1 antibody by Simple WesternTM.

Detection of Human and Mouse Annexin A1 by Simple WesternTM.

Simple Western shows lysates of Exosome Standards (HT-29) (NBP3-11685), Exosome Standards (U87 MG) (NBP2-49844) and MOLT-4 human acute lymphoblastic leukemia cell line, loaded at 0.5 mg/ml. A specific band was detected for Annexin A1 at approximately 42 kDa (as indicated) using 10 µg/mL of Goat Anti-Human/Mouse/Rat Annexin A1 Antigen Affinity-purified Polyclonal Antibody (Catalog # AF3770). This experiment was conducted under reducing conditions and using the 12-230kDa separation system.
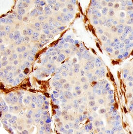
Annexin A1/Annexin I antibody in Human Breast by Immunohistochemistry (IHC-P).

Annexin A1/Annexin I in Human Breast.

Annexin A1/Annexin I was detected in immersion fixed paraffin-embedded sections of human breast using Goat Anti-Human/Mouse/Rat Annexin A1/Annexin I Antigen Affinity-purified Polyclonal Antibody (Catalog # AF3770) at 10 µg/mL overnight at 4 °C. Before incubation with the primary antibody, tissue was subjected to heat-induced epitope retrieval using Antigen Retrieval Reagent-Basic (Catalog # CTS013). Tissue was stained using the Anti-Goat HRP-DAB Cell & Tissue Staining Kit (brown; Catalog # CTS008) and counter-stained with hematoxylin (blue). Specific staining was localized to stromal cells. View our protocol for Chromogenic IHC Staining of Paraffin-embedded Tissue Sections.

Applications for Human/Mouse/Rat Annexin A1 Antibody

Application
Recommended Usage

Immunohistochemistry

5-15 µg/mL
Sample: Immersion fixed paraffin-embedded sections of human breast

Simple Western

10 µg/mL
Sample: Exosome Standards (HT-29) (Catalog # NBP3-11685), Exosome Standards (U87 MG) (Catalog # NBP2-49844), and MOLT-4 human acute lymphoblastic leukemia cell line

Western Blot

0.2 µg/mL
Sample: MOLT-4 human acute lymphoblastic leukemia cell line, NIH-3T3 mouse embryonic fibroblast cell line, and L6 rat myoblast cell line

Reviewed Applications

Read 2 reviews rated 4 using AF3770 in the following applications:

Formulation, Preparation, and Storage

Purification

Antigen Affinity-purified

Reconstitution

Reconstitute at 0.2 mg/mL in sterile PBS. For liquid material, refer to CoA for concentration.

Reconstitution Buffer Available:
Size / Price
Qty
Loading...

Formulation

Lyophilized from a 0.2 μm filtered solution in PBS with Trehalose. See Certificate of Analysis for details.
*Small pack size (-SP) is supplied either lyophilized or as a 0.2 µm filtered solution in PBS.

Shipping

Lyophilized product is shipped at ambient temperature. Liquid small pack size (-SP) is shipped with polar packs. Upon receipt, store immediately at the temperature recommended below.

Stability & Storage

Use a manual defrost freezer and avoid repeated freeze-thaw cycles.
  • 12 months from date of receipt, -20 to -70 °C as supplied.
  • 1 month, 2 to 8 °C under sterile conditions after reconstitution.
  • 6 months, -20 to -70 °C under sterile conditions after reconstitution.

Background: Annexin A1

The Annexins are a family of Calcium-dependent phospholipid-binding proteins that are preferentially located on the cytosolic face of the plasma membrane. The Annexin’s have a molecular weight of approximately 35 to 40 kDa and consist of a unique amino terminal domain followed by a homologous C-terminal core domain containing the calcium-dependent phospholipid-binding sites. The C‑terminal domain is comprised of four 60‑70 amino acid repeats, known as annexin repeats or an endonexin fold (Annexin A6 contains 8 annexin repeats). The four annexin repeats form a highly alpha-helical, tightly packed disc known as the annexin domain, which binds to phospholipids in the membrane in a calcium-dependent manner. Members of the annexin family play a role in cytoskeletal interactions, phospholipase inhibition, regulation of cellular growth, and intracellular signal transduction pathways. Annexin A1 (ANXA1), also known as annexin I, lipocortin I, and calpactin II, is an ~ 40 kDa protein with phospholipase A2 inhibitory activity. Since phospholipase A2 is required for the biosynthesis of the potent mediators of inflammation, prostaglandins and leukotrienes, Annexin A1 may have anti-inflammatory activity. Human Annexin A1 shares 88 and 89% identity with mouse and rat Annexin A1, respectively.

Alternate Names

ANX1, ANXA1, LPC1

Entrez Gene IDs

301 (Human); 16952 (Mouse); 25380 (Rat)

Gene Symbol

ANXA1

UniProt

Additional Annexin A1 Products

Product Documents for Human/Mouse/Rat Annexin A1 Antibody

Certificate of Analysis

To download a Certificate of Analysis, please enter a lot number in the search box below.

Note: Certificate of Analysis not available for kit components.

Product Specific Notices for Human/Mouse/Rat Annexin A1 Antibody

For research use only

Loading...
Loading...
Loading...
Loading...