Skip to main content

Key Product Details

Species Reactivity

Validated:

Human, Mouse

Cited:

Human, Mouse

Applications

Validated:

Immunohistochemistry, Western Blot

Cited:

Immunohistochemistry, Immunocytochemistry

Label

Unconjugated

Antibody Source

Monoclonal Mouse IgG2B Clone # 672911

Product Specifications

Immunogen

E. coli-derived recombinant human NGFRAP1/BEX3
Met1-Pro111
Accession # Q00994

Specificity

Detects human NGFRAP1/BEX3 in direct ELISAs.

Clonality

Monoclonal

Host

Mouse

Isotype

IgG2B

Scientific Data Images for Human/Mouse NGFRAP1/BEX3 Antibody

Detection of Human and Mouse NGFRAP1/BEX3 antibody by Western Blot.

Detection of Human and Mouse NGFRAP1/BEX3 by Western Blot.

Western blot shows lysates of HT-29 human colon adenocarcinoma cell line, Balb/3T3 mouse embryonic fibroblast cell line, and C2C12 mouse myoblast cell line. PVDF membrane was probed with 1 µg/mL of Mouse Anti-Human NGFRAP1/BEX3 Monoclonal Antibody (Catalog # MAB6858) followed by HRP-conjugated Anti-Mouse IgG Secondary Antibody (Catalog # HAF007). A specific band was detected for NGFRAP1/BEX3 at approximately 15 kDa (as indicated). This experiment was conducted under reducing conditions and using Immunoblot Buffer Group 1.
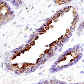
NGFRAP1/BEX3 antibody in Human Prostate by Immunohistochemistry (IHC-P).

NGFRAP1/BEX3 in Human Prostate.

NGFRAP1/BEX3 was detected in immersion fixed paraffin-embedded sections of human prostate using Mouse Anti-Human NGFRAP1/BEX3 Monoclonal Antibody (Catalog # MAB6858) at 15 µg/mL overnight at 4 °C. Before incubation with the primary antibody, tissue was subjected to heat-induced epitope retrieval using Antigen Retrieval Reagent-Basic (Catalog # CTS013). Tissue was stained using the Anti-Mouse HRP-DAB Cell & Tissue Staining Kit (brown; Catalog # CTS002) and counterstained with hematoxylin (blue). Specific staining was localized to epithelial cells. View our protocol for Chromogenic IHC Staining of Paraffin-embedded Tissue Sections.

Applications for Human/Mouse NGFRAP1/BEX3 Antibody

Application
Recommended Usage

Immunohistochemistry

8-25 µg/mL
Sample: Immersion fixed paraffin-embedded sections of human prostate

Western Blot

1 µg/mL
Sample: HT‑29 human colon adenocarcinoma cell line, Balb/3T3 mouse embryonic fibroblast cell line, and C2C12 mouse myoblast cell line

Formulation, Preparation, and Storage

Purification

Protein A or G purified from hybridoma culture supernatant

Reconstitution

Sterile PBS to a final concentration of 0.5 mg/mL. For liquid material, refer to CoA for concentration.

Reconstitution Buffer Available:
Size / Price
Qty
Loading...

Formulation

Lyophilized from a 0.2 μm filtered solution in PBS with Trehalose. *Small pack size (SP) is supplied either lyophilized or as a 0.2 µm filtered solution in PBS.

Shipping

Lyophilized product is shipped at ambient temperature. Liquid small pack size (-SP) is shipped with polar packs. Upon receipt, store immediately at the temperature recommended below.

Stability & Storage

Use a manual defrost freezer and avoid repeated freeze-thaw cycles.
  • 12 months from date of receipt, -20 to -70 °C as supplied.
  • 1 month, 2 to 8 °C under sterile conditions after reconstitution.
  • 6 months, -20 to -70 °C under sterile conditions after reconstitution.

Background: NGFRAP1/BEX3

NGFRAP1 (nerve growth factor receptor associated protein 1), also called BEX3 (brain-expressed X-linked protein 3), NADE (p75NTR-associated death executor) or FAP-1 (Fas-associated phosphatase-1), is a 24 kDa member of the BEX protein family. A nuclear export signal (aa 77-87) allows NGFRAP1 to export bound p75NTR. It is widely expressed, but highest in ovarian granulosa cells, testis, prostate, seminal vesicle and liver. Except for a 13-19 amino acid (aa) rodent Arg/His region at aa 35 that is not found in humans, human NGFRAP1 shares 94% aa identity with mouse and rat NGFRAP1. In humans, a 101 aa isoform with an alternative start site at aa 11 has been described.

Long Name

Nerve Growth Factor Receptor Associated Protein 1

Alternate Names

BEX3, HGR74, NADE

Entrez Gene IDs

27018 (Human); 12070 (Mouse); 117089 (Rat)

Gene Symbol

BEX3

UniProt

Additional NGFRAP1/BEX3 Products

Product Documents for Human/Mouse NGFRAP1/BEX3 Antibody

Certificate of Analysis

To download a Certificate of Analysis, please enter a lot number in the search box below.

Note: Certificate of Analysis not available for kit components.

Product Specific Notices for Human/Mouse NGFRAP1/BEX3 Antibody

For research use only

Loading...
Loading...
Loading...
Loading...