Skip to main content

Key Product Details

Species Reactivity

Validated:

Human, Mouse

Cited:

Human

Applications

Validated:

Immunohistochemistry, Western Blot

Cited:

Immunohistochemistry, Western Blot

Label

Unconjugated

Antibody Source

Monoclonal Mouse IgG1 Clone # 932612

Product Specifications

Immunogen

E. coli-derived recombinant human MIF
Met1-Phe114
Accession # P14174

Specificity

Detects human MIF in direct ELISA and Western Blots.

Clonality

Monoclonal

Host

Mouse

Isotype

IgG1

Scientific Data Images for Human/Mouse MIF Antibody

Detection of Mouse MIF antibody by Western Blot.

Detection of Mouse MIF by Western Blot.

Western blot shows lysates of RAW 264.7 mouse monocyte/macrophage cell line and J774A.1 mouse reticulum cell sarcoma macrophage cell line. PVDF membrane was probed with 2 µg/mL of Mouse Anti-Human/Mouse MIF Monoclonal Antibody (Catalog # MAB2892) followed by HRP-conjugated Anti-Mouse IgG Secondary Antibody (Catalog # HAF018). A specific band was detected for MIF at approximately 12 kDa (as indicated). This experiment was conducted under reducing conditions and using Immunoblot Buffer Group 1.
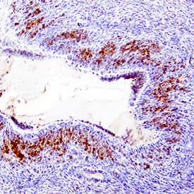
MIF antibody in Human Ovary by Immunohistochemistry (IHC-P).

MIF in Human Ovary.

MIF was detected in immersion fixed paraffin-embedded sections of human ovary using Mouse Anti-Human/ Mouse MIF Monoclonal Antibody (Catalog # MAB2892) at 15 µg/mL overnight at 4 °C. Tissue was stained using the Anti-Mouse HRP-DAB Cell & Tissue Staining Kit (brown; Catalog # CTS002) and counterstained with hematoxylin (blue). Specific staining was localized to epithelial cells. View our protocol for Chromogenic IHC Staining of Paraffin-embedded Tissue Sections.

Applications for Human/Mouse MIF Antibody

Application
Recommended Usage

Immunohistochemistry

8-25 µg/mL
Sample: Immersion fixed paraffin-embedded sections of human ovary

Western Blot

2 µg/mL
Sample: RAW 264.7 mouse monocyte/macrophage cell line and J774A.1 mouse reticulum cell sarcoma macrophage cell line

Formulation, Preparation, and Storage

Purification

Protein A or G purified from hybridoma culture supernatant

Reconstitution

Reconstitute at 0.5 mg/mL in sterile PBS. For liquid material, refer to CoA for concentration.

Reconstitution Buffer Available:
Size / Price
Qty
Loading...

Formulation

Lyophilized from a 0.2 μm filtered solution in PBS with Trehalose. *Small pack size (SP) is supplied either lyophilized or as a 0.2 µm filtered solution in PBS.

Shipping

Lyophilized product is shipped at ambient temperature. Liquid small pack size (-SP) is shipped with polar packs. Upon receipt, store immediately at the temperature recommended below.

Stability & Storage

Use a manual defrost freezer and avoid repeated freeze-thaw cycles.
  • 12 months from date of receipt, -20 to -70 °C as supplied.
  • 1 month, 2 to 8 °C under sterile conditions after reconstitution.
  • 6 months, -20 to -70 °C under sterile conditions after reconstitution.

Background: MIF

MIF (or macrophage migration inhibitory factor) was the first lymphokine/cytokine to be recognized in the pregenomics era (1, 2). Regardless, it is one of the least understood of all inflammatory mediators (1, 3). Human MIF is a 12.5 kDa, 115 amino acid (aa) nonglycosylated polypeptide that is synthesized without a signal sequence (4 - 7). Secretion occurs nonclassically via an ABCA1 transporter (8). The initiating Met is removed, leaving Pro as the first amino acid. The molecule consists of two alpha-helices and six beta-strands, four of which form a beta-sheet. The two remaining beta-strands interact with other MIF molecules, creating a trimer (2, 9, 10). Structure-function studies suggest MIF is bifunctional with segregated topology. The N- and C-termini mediate enzyme activity (in theory). Phenylpyruvate tautomerase activity (enol-to-keto) has been demonstrated and is dependent upon Pro at position #1 (11). Amino acids 50 - 65 have also been suggested to contain thiol-protein oxidoreductase activity (12). MIF has proinflammatory cytokine activity centered around aa’s 49 - 65. On fibroblasts, MIF induces, IL-1, IL-8 and MMP expression; on macrophages, MIF stimulates NO production and TNF-alpha release following IFN-gamma activation (13, 14). MIF apparently acts through CD74 and CD44, likely in some form of trimeric interaction (15, 16). Human MIF is active on mouse cells (14). Human MIF is 90%, 94%, 95%, and 90% aa identical to mouse, bovine, porcine and rat MIF, respectively.

References

  1. Norand, E.F. and M. Leech (2005) Front. Biosci. 10:12.
  2. Donn, R.P. and D.W. Ray (2004) J. Endocrinol. 182:1.
  3. Calandra, T. and T. Roger (2003) Nat. Rev. Immunol. 3:791.
  4. Kozak, C.A. et al. (1995) Genomics 27:405.
  5. Weiser, W.Y. et al. (1989) Proc. Natl. Acad. Sci. USA 86:7522.
  6. Paralkar, V. and G. Wistow (1994) Genomics 19:48.
  7. Wistow, G.J. et al. (1993) Proc. Natl. Acad. Sci. USA 90:1272.
  8. Flieger, O. et al. (2003) FEBS Lett. 551:78.
  9. Philo, J.S. et al. (2004) Biophys. Chem. 108:77.
  10. Sun, H-W. et al. (1996) Protein Eng. 9:631.
  11. Stamps, S.L. et. al. (2000) Biochemistry 39:9671.
  12. Nguyen, M.T. et al. (2003) J. Biol. Chem. 278:33654.
  13. Sato, A. et al. (2003) Dev. Comp. Immunol. 27:401.
  14. Bernhagen, J. et al. (1994) Biochemistry 33:14144.
  15. Leng, L. et al. (2003) J. Exp. Med. 197:1467.
  16. Meyer-Siegler, K.L. and P.L. Vera (2005) J. Urol. 173:615.

Long Name

Macrophage Migration Inhibitory Factor

Alternate Names

EC 5.3.2.1, EC 5.3.3.12, GIFmacrophage migration inhibitory factor, GLIF, Glycosylation-inhibiting factor, L-dopachrome isomerase, L-dopachrome tautomerase, macrophage migration inhibitory factor (glycosylation-inhibiting factor), MMIF, Phenylpyruvate tautomerase

Entrez Gene IDs

4282 (Human); 17319 (Mouse)

Gene Symbol

MIF

UniProt

Additional MIF Products

Product Documents for Human/Mouse MIF Antibody

Certificate of Analysis

To download a Certificate of Analysis, please enter a lot number in the search box below.

Note: Certificate of Analysis not available for kit components.

Product Specific Notices for Human/Mouse MIF Antibody

For research use only

Loading...
Loading...
Loading...
Loading...
Loading...