Skip to main content

Key Product Details

Species Reactivity

Validated:

Human, Mouse

Cited:

Mouse, Frog - Xenopus (African Clawed Frog)

Applications

Validated:

Immunohistochemistry, Western Blot, Immunocytochemistry

Cited:

Immunohistochemistry, Western Blot

Label

Unconjugated

Antibody Source

Polyclonal Goat IgG

Product Specifications

Immunogen

E. coli-derived recombinant mouse GDF-3
Ala253-Gly366
Accession # Q07104

Specificity

Detects human and mouse GDF-3 in direct ELISAs and Western blots. In Western blots, less than 5% cross-reactivity with recombinant mouse (rm) GDF‑5, rmGDF‑6, rmGDF‑7, rmGDF‑8, and rmGDF‑9 is observed.

Clonality

Polyclonal

Host

Goat

Isotype

IgG

Scientific Data Images for Human/Mouse GDF-3 Antibody

Detection of Human GDF-3 antibody by Western Blot.

Detection of Human GDF‑3 by Western Blot.

Western blot shows lysates of BG01V human embryonic stem cells. PVDF membrane was probed with 1.5 µg/mL of Goat Anti-Human/Mouse GDF-3 Antigen Affinity-purified Polyclonal Antibody (Catalog # AF958) followed by HRP-conjugated Anti-Goat IgG Secondary Antibody (Catalog # HAF017). A specific band was detected for GDF-3 at approximately 42 kDa (as indicated). This experiment was conducted under reducing conditions and using Immunoblot Buffer Group 1.
GDF-3 antibody in BG01V Human Stem Cells by Immunocytochemistry (ICC).

GDF‑3 in BG01V Human Stem Cells.

GDF-3 was detected in immersion fixed BG01V human embryonic stem cells using Goat Anti-Human/Mouse GDF-3 Antigen Affinity-purified Polyclonal Antibody (Catalog # AF958) at 10 µg/mL for 3 hours at room temperature. Cells were stained using the NorthernLights™ 557-conjugated Anti-Goat IgG Secondary Antibody (red; Catalog # NL001) and counterstained with DAPI (blue). Specific staining was localized to cytoplasm. View our protocol for Fluorescent ICC Staining of Cells on Coverslips.
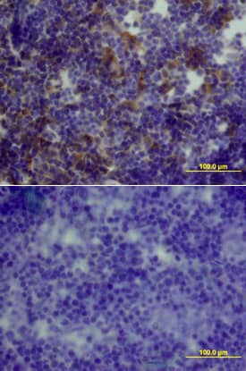
GDF-3 antibody in Mouse Thymus by Immunohistochemistry (IHC-Fr).

GDF‑3 in Mouse Thymus.

GDF-3 was detected in perfusion fixed frozen sections of mouse thymus using Mouse GDF-3 Antigen Affinity-purified Polyclonal Antibody (Catalog # AF958) at 15 µg/mL overnight at 4 °C. Tissue was stained using the Anti-Goat HRP-DAB Cell & Tissue Staining Kit (brown; Catalog # CTS008) and counterstained with hematoxylin (blue). Lower panel shows a lack of labeling if primary antibodies are omitted and tissue is stained only with secondary antibody followed by incubation with detection reagents. View our protocol for Chromogenic IHC Staining of Frozen Tissue Sections.

Applications for Human/Mouse GDF-3 Antibody

Application
Recommended Usage

Immunocytochemistry

5-15 µg/mL
Sample: Immersion fixed BG01V human embryonic stem cells

Immunohistochemistry

5-15 µg/mL
Sample: Perfusion fixed frozen sections of mouse thymus

Western Blot

1.5 µg/mL
Sample:

BG01V human embryonic stem cells

Formulation, Preparation, and Storage

Purification

Antigen Affinity-purified

Reconstitution

Reconstitute at 0.2 mg/mL in sterile PBS. For liquid material, refer to CoA for concentration.

Reconstitution Buffer Available:
Size / Price
Qty
Loading...

Formulation

Lyophilized from a 0.2 μm filtered solution in PBS with Trehalose. *Small pack size (SP) is supplied either lyophilized or as a 0.2 µm filtered solution in PBS.

Shipping

Lyophilized product is shipped at ambient temperature. Liquid small pack size (-SP) is shipped with polar packs. Upon receipt, store immediately at the temperature recommended below.

Stability & Storage

Use a manual defrost freezer and avoid repeated freeze-thaw cycles.
  • 12 months from date of receipt, -20 to -70 °C as supplied.
  • 1 month, 2 to 8 °C under sterile conditions after reconstitution.
  • 6 months, -20 to -70 °C under sterile conditions after reconstitution.

Background: GDF-3

GDF-3 (previously called Vgr-2) is a TGF-beta superfamily member belonging to the growth/differentiation factor family (1, 2). GDF-3 is expressed in undifferentiated embryonic stem (ES) cells, adipose tissue and the brain (2-4). In ES cells, it maintains pluripotency and influences early cell fate decisions (5, 6). For example, frog embryos injected with GDF-3 develop a secondary dorsal axis and deletion of mouse GDF-3 can produce defects in the anterior visceral endoderm of the pre‑gastrulation embryo (5, 6). In adipocytes, GDF-3 is induced by a high fat diet and promotes adipogenesis (3). GDF-3 has been reported to oppose BMP’s functions and to have a nodal-like activity in early development (1). The 366 amino acid (aa) mouse GDF-3 contains a 22 aa signal sequence, a 230 aa propeptide and a 114 aa mature protein that contains one potential N-glycosylation site. Most of GDF-3 is present as the prepro form, while the mature GDF-3 is presumably the secreted, active form (1). The mature protein contains the cysteine-knot structure that is conserved throughout family members. Since it lacks the fourth cysteine, which is responsible for the formation of inter-molecular disulfide bond, GDF-3 may exist as a non-covalent homodimer. Mature mouse GDF-3 shares 90%, 83%, and 83% aa identity with rat, human and canine GDF-3, respectively. Among family members, mature GDF-3 is most similar to mouse BMP-6 (45% aa identity) and Xenopus VG‑1 (52% aa identity).

References

  1. Levine, A.J. and A.H. Brivanlou (2006) Cell Cycle 5:1069.
  2. McPherron, A.C. and S-J. Lee (1993) J. Biol. Chem. 268:3444.
  3. Wang, W. et al. (2004) Biochem. Biophys. Res. Comm. 321:1024.
  4. Hexige, S. et al. (2005) Neurosci. Lett. 389:83.
  5. Levine, A.J. and A.H. Brivanlou (2005) Development 133:209.
  6. Chen, C. et al. (2006) Development 133:319.

Long Name

Growth Differentiation Factor 3

Alternate Names

GDF3, Vgr-2

Entrez Gene IDs

9573 (Human); 14562 (Mouse)

Gene Symbol

GDF3

UniProt

Additional GDF-3 Products

Product Documents for Human/Mouse GDF-3 Antibody

Certificate of Analysis

To download a Certificate of Analysis, please enter a lot number in the search box below.

Note: Certificate of Analysis not available for kit components.

Product Specific Notices for Human/Mouse GDF-3 Antibody

For research use only

Loading...
Loading...
Loading...
Loading...