Skip to main content

Key Product Details

Species Reactivity

Validated:

Human, Mouse

Cited:

Human, Mouse, Transgenic Mouse

Applications

Validated:

Immunohistochemistry, Western Blot

Cited:

Immunohistochemistry, Western Blot, Immunocytochemistry, Immunoprecipitation, Chromatin Immunoprecipitation (ChIP)

Label

Unconjugated

Antibody Source

Polyclonal Sheep IgG

Product Specifications

Immunogen

E. coli-derived recombinant mouse EBF-2
Arg407-Ser519
Accession # O08792

Specificity

Detects mouse EBF-2 in direct ELISAs. Detects mouse and human EBF-2 in Western blots.

Clonality

Polyclonal

Host

Sheep

Isotype

IgG

Scientific Data Images for Human/Mouse EBF-2 Antibody

Detection of Human and Mouse EBF-2 antibody by Western Blot.

Detection of Human and Mouse EBF-2 by Western Blot.

Western blot shows lysates of 3T3-L1 mouse embryonic fibroblast adipose-like cell line and HepG2 human hepatocellular carcinoma cell line. PVDF membrane was probed with 1 µg/mL of Sheep Anti-Human/Mouse EBF-2 Antigen Affinity-purified Polyclonal Antibody (Catalog # AF7006) followed by HRP-conjugated Anti-Sheep IgG Secondary Antibody (HAF016). A specific band was detected for EBF-2 at approximately 65 kDa (as indicated). This experiment was conducted under reducing conditions and using Immunoblot Buffer Group 8.
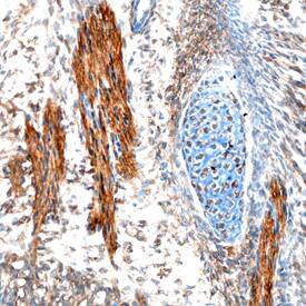
EBF-2 antibody in Mouse Embryo by Immunohistochemistry (IHC-Fr).

EBF-2 in Mouse Embryo.

EBF-2 was detected in immersion fixed frozen sections of mouse embryo (15 d.p.c.) using Sheep Anti-Mouse EBF-2 Antigen Affinity-purified Polyclonal Antibody (Catalog # AF7006) at 10 µg/mL overnight at 4 °C. Tissue was stained using the Anti-Sheep HRP-DAB Cell & Tissue Staining Kit (brown; CTS019) and counterstained with hematoxylin (blue). Specific staining was localized to developing muscle cells. View our protocol for Chromogenic IHC Staining of Frozen Tissue Sections.

Applications for Human/Mouse EBF-2 Antibody

Application
Recommended Usage

Immunohistochemistry

5-15 µg/mL
Sample: Immersion fixed frozen sections of mouse embryo (15 d.p.c.)

Western Blot

1 µg/mL
Sample: 3T3‑L1 mouse embryonic fibroblast adipose-like cell line and HepG2 human hepatocellular carcinoma cell line

Reviewed Applications

Read 1 review rated 5 using AF7006 in the following applications:

Formulation, Preparation, and Storage

Purification

Antigen Affinity-purified

Reconstitution

Sterile PBS to a final concentration of 0.2 mg/mL. For liquid material, refer to CoA for concentration.

Reconstitution Buffer Available:
Size / Price
Qty
Loading...

Formulation

Lyophilized from a 0.2 μm filtered solution in PBS with Trehalose. *Small pack size (SP) is supplied either lyophilized or as a 0.2 µm filtered solution in PBS.

Shipping

Lyophilized product is shipped at ambient temperature. Liquid small pack size (-SP) is shipped with polar packs. Upon receipt, store immediately at the temperature recommended below.

Stability & Storage

Use a manual defrost freezer and avoid repeated freeze-thaw cycles.
  • 12 months from date of receipt, -20 to -70 °C as supplied.
  • 1 month, 2 to 8 °C under sterile conditions after reconstitution.
  • 6 months, -20 to -70 °C under sterile conditions after reconstitution.

Background: EBF-2

EBF-2 (Early B cell Factor 2; also Mmot1, OLF3 and COE2) is a 62 kDa (predicted) member of the COE family of transcription factors. It is expressed in immature osteoblasts and Purkinje cells, and in the embryo is associated with the migration of postmitotic neuroblasts. In immature osteoblasts, EBF-2 appears to upregulate OPG, suppressing osteoclast formation. And in the developing retina, EBF-2 is found in ganglion, glycinergic Amacrine and horizontal cells, possibly promoting their development over that of photoreceptor cells. Mouse EBF-2 is 575 amino acids (aa) in length. It contains one DNA-binding region with an embedded C5-type zinc‑finger motif (aa 62-238), a dimerization ITP/TIG domain (aa 253-336), and a Pro/Ser-rich transactivation domain (aa 453-534). Although considered an HLH type transcription factor, it does not contain the typical "b", or basic amino acid sequence associated with bHLH factors. EBF-2 both homodimerizes, and heterodimerizes with EBF-1 and -3. There is an alternative start site at Met23. Over aa 407-519, mouse EBF-2 is identical in aa sequence to rat EBF-2 and shares 99% aa identity with human EBF-2.

Long Name

Early B-cell Factor 2

Alternate Names

COE2, EBF2, Mmot1

Entrez Gene IDs

64641 (Human); 13592 (Mouse); 361060 (Rat)

Gene Symbol

EBF2

UniProt

Additional EBF-2 Products

Product Documents for Human/Mouse EBF-2 Antibody

Certificate of Analysis

To download a Certificate of Analysis, please enter a lot number in the search box below.

Note: Certificate of Analysis not available for kit components.

Product Specific Notices for Human/Mouse EBF-2 Antibody

For research use only

Loading...
Loading...
Loading...
Loading...