Skip to main content

Key Product Details

Species Reactivity

Human, Mouse

Applications

Immunohistochemistry, Western Blot

Label

Unconjugated

Antibody Source

Polyclonal Goat IgG

Product Specifications

Immunogen

E. coli-derived recombinant human DACH2
Gln419-Gln583
Accession # Q96NX9

Specificity

Detects human and mouse DACH2 in Western blots.

Clonality

Polyclonal

Host

Goat

Isotype

IgG

Scientific Data Images for Human/Mouse DACH2 Antibody

Detection of Human DACH2 antibody by Western Blot.

Detection of Human DACH2 by Western Blot.

Western blot shows lysates of Jurkat human acute T cell leukemia cell line, Daudi human Burkitt's lymphoma cell line, and Raji human Burkitt's lymphoma cell line. PVDF membrane was probed with 1 µg/mL of Goat Anti-Human/Mouse DACH2 Antigen Affinity-purified Polyclonal Antibody (Catalog # AF5230) followed by HRP-conjugated Anti-Goat IgG Secondary Antibody (Catalog # HAF109). A specific band was detected for DACH2 at approximately 65 kDa (as indicated). This experiment was conducted under reducing conditions and using Immunoblot Buffer Group 1.
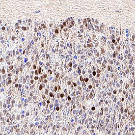
DACH2 antibody in Mouse Embryonic Brain by Immunohistochemistry (IHC-Fr).

DACH2 in Mouse Embryonic Brain.

DACH2 was detected in perfusion fixed frozen sections of mouse embryonic brain (13 d.p.c.) using Goat Anti-Human/Mouse DACH2 Antigen Affinity-purified Polyclonal Antibody (Catalog # AF5230) at 5 µg/mL for 1 hour at room temperature followed by incubation with the Anti-Goat IgG VisUCyte™ HRP Polymer Antibody (Catalog # VC004). Tissue was stained using DAB (brown) and counterstained with hematoxylin (blue). Specific staining was localized to nuclei in neuronal cells. View our protocol for IHC Staining with VisUCyte HRP Polymer Detection Reagents.

Applications for Human/Mouse DACH2 Antibody

Application
Recommended Usage

Immunohistochemistry

5-15 µg/mL
Sample: Perfusion fixed frozen sections of mouse embryonic brain (13 d.p.c.)

Western Blot

1 µg/mL
Sample: Jurkat human acute T cell leukemia cell line, Daudi human Burkitt's lymphoma cell line, and Raji human Burkitt's lymphoma cell line

Formulation, Preparation, and Storage

Purification

Antigen Affinity-purified

Reconstitution

Reconstitute at 0.2 mg/mL in sterile PBS. For liquid material, refer to CoA for concentration.

Reconstitution Buffer Available:
Size / Price
Qty
Loading...

Formulation

Lyophilized from a 0.2 μm filtered solution in PBS with Trehalose. *Small pack size (SP) is supplied either lyophilized or as a 0.2 µm filtered solution in PBS.

Shipping

Lyophilized product is shipped at ambient temperature. Liquid small pack size (-SP) is shipped with polar packs. Upon receipt, store immediately at the temperature recommended below.

Stability & Storage

Use a manual defrost freezer and avoid repeated freeze-thaw cycles.
  • 12 months from date of receipt, -20 to -70 °C as supplied.
  • 1 month, 2 to 8 °C under sterile conditions after reconstitution.
  • 6 months, -20 to -70 °C under sterile conditions after reconstitution.

Background: DACH2

DACH2 (Dachshund 2) is a 65 kDa (predicted) member of the DACH family of transcription factors. It is expressed in the dermomyotome and Mullerian duct, and promotes Mullerian duct formation and myogenin gene suppression. Human DACH2 is 599 amino acids (aa) in length and contains a DD1 domain in the N-terminus (aa 66‑162) that mediates DNA binding, and a C-terminal, coiled-coil DD2 domain (aa 452‑543) that interacts with EYA proteins. Multiple splice variants of DACH2 are known. There is an alternate start site at Met220 that may be accompanied by both a deletion of aa 259‑311 and a three aa substitution for aa 585‑599. In addition, there is a deletion of aa 163‑175 that may be accompanied by an Ala substitution for aa 584‑599. Finally, there is a 41 aa substitution for aa 1‑175. Over aa 419‑583, human DACH2 is 93% aa identical to mouse DACH2.

Long Name

Dachshund Homolog 2

Alternate Names

Dach2, dachshund homolog 2, dachshund homolog 2 (Drosophila), FLJ31391, MGC138545

Entrez Gene IDs

117154 (Human); 93837 (Mouse); 302333 (Rat)

Gene Symbol

DACH2

UniProt

Additional DACH2 Products

Product Documents for Human/Mouse DACH2 Antibody

Certificate of Analysis

To download a Certificate of Analysis, please enter a lot number in the search box below.

Note: Certificate of Analysis not available for kit components.

Product Specific Notices for Human/Mouse DACH2 Antibody

For research use only

Loading...
Loading...
Loading...
Loading...