Skip to main content

Key Product Details

Species Reactivity

Validated:

Human, Mouse

Cited:

Human, Mouse

Applications

Validated:

Immunohistochemistry, Western Blot, Simple Western

Cited:

Immunohistochemistry, Western Blot

Label

Unconjugated

Antibody Source

Monoclonal Mouse IgG1 Clone # 315304

Product Specifications

Immunogen

E. coli-derived recombinant human cIAP‑2/HIAP‑1
Asn2-Ser604
Accession # Q13489

Specificity

Detects human and mouse cIAP‑2/HIAP‑1 in Western blots. Does not cross-react with HEK293 cells transfected with cIAP-1.

Clonality

Monoclonal

Host

Mouse

Isotype

IgG1

Scientific Data Images for Human/Mouse cIAP-2/HIAP-1 Antibody

cIAP-2/HIAP-1 antibody in Human Colon Cancer Tissue by Immunohistochemistry (IHC-P).

cIAP‑2/HIAP‑1 in Human Colon Cancer Tissue.

cIAP-2/HIAP-1 was detected in immersion fixed paraffin-embedded sections of human colon cancer tissue using Mouse Anti-Human/Mouse cIAP-2/ HIAP-1 Monoclonal Antibody (Catalog # MAB817) at 25 µg/mL overnight at 4 °C. Tissue was stained using the Anti-Mouse HRP-DAB Cell & Tissue Staining Kit (brown; Catalog # CTS002) and counter-stained with hematoxylin (blue). View our protocol for Chromogenic IHC Staining of Paraffin-embedded Tissue Sections. This application has not been tested in mouse samples.
Detection of Human and Mouse cIAP-2/HIAP-1 antibody by Western Blot.

Detection of Human and Mouse cIAP‑2/HIAP‑1 by Western Blot.

Western blot shows lysates of Raji human Burkitt's lymphoma cell line, Daudi human Burkitt's lymphoma cell line, and A20 mouse B cell lymphoma cell line. PVDF membrane was probed with 0.5 µg/mL of Mouse Anti-Human/Mouse cIAP-2/HIAP-1 Monoclonal Antibody (Catalog # MAB817) followed by HRP-conjugated Anti-Mouse IgG Secondary Antibody (Catalog # HAF007). A specific band was detected for cIAP-2/HIAP-1 at approximately 68 kDa (as indicated). This experiment was conducted under reducing conditions and using Immunoblot Buffer Group 5.
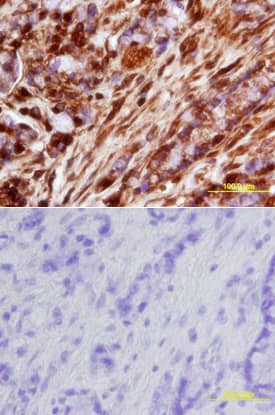
cIAP-2/HIAP-1 antibody in Human Colon by Immunohistochemistry (IHC-P).

cIAP‑2/HIAP‑1 in Human Colon.

cIAP-2/HIAP-1 was detected in immersion fixed paraffin-embedded sections of human colon array using Mouse Anti-Human/Mouse cIAP-2/HIAP-1 Monoclonal Antibody (Catalog # MAB817) at 25 µg/mL overnight at 4 °C. Tissue was stained using the Anti-Mouse HRP-DAB Cell & Tissue Staining Kit (brown; Catalog # CTS002) and counterstained with hematoxylin (blue). Lower panel shows a lack of labeling if primary antibodies are omitted and tissue is stained only with secondary antibody followed by incubation with detection reagents. View our protocol for Chromogenic IHC Staining of Paraffin-embedded Tissue Sections. This application has not been tested in mouse samples.

Applications for Human/Mouse cIAP-2/HIAP-1 Antibody

Application
Recommended Usage

Immunohistochemistry

8-25 µg/mL
Sample: Immersion fixed paraffin-embedded sections of normal human colon and human colon cancer tissue

Simple Western

10 µg/mL
Sample: HEK293 human embryonic kidney cell line transfected with cIAP-2 and Raji human Burkitt's lymphoma cell line

Western Blot

0.5 µg/mL
Sample: Raji human Burkitt's lymphoma cell line, Daudi human Burkitt's lymphoma cell line, and A20 mouse B cell lymphoma cell line

Reviewed Applications

Read 1 review rated 4 using MAB817 in the following applications:

Formulation, Preparation, and Storage

Purification

Protein A or G purified from hybridoma culture supernatant

Reconstitution

Reconstitute at 0.5 mg/mL in sterile PBS. For liquid material, refer to CoA for concentration.

Reconstitution Buffer Available:
Size / Price
Qty
Loading...

Formulation

Lyophilized from a 0.2 μm filtered solution in PBS with Trehalose. *Small pack size (SP) is supplied either lyophilized or as a 0.2 µm filtered solution in PBS.

Shipping

Lyophilized product is shipped at ambient temperature. Liquid small pack size (-SP) is shipped with polar packs. Upon receipt, store immediately at the temperature recommended below.

Stability & Storage

Use a manual defrost freezer and avoid repeated freeze-thaw cycles.
  • 12 months from date of receipt, -20 to -70 °C as supplied.
  • 1 month, 2 to 8 °C under sterile conditions after reconstitution.
  • 6 months, -20 to -70 °C under sterile conditions after reconstitution.

Background: cIAP-2/HIAP-1

cIAP-2 (also known as MIHC and HIAP-1) is a member of the inhibitor of apoptosis (IAP) family of proteins that inhibit the proteolytic activity of mature caspases. Human cIAP-2 is a 604 amino acid protein that contains 3 BIR (baculovirus inhibitor of apoptosis) domains, a RING finger domain, and a caspase recruitment domain (CARD). cIAP-2 inhibits caspases through the direct interaction of its BIR domain with the active caspase. Caspase activity may be restored through interactions with the Reaper like motif on mitochondrial proteins such as SMAC/Diablo or HtrA2/Omi. cIAP-2 is reported to be cleaved by HtrA2/Omi.

References

  1. Roy, N. et al. (1997) EMBO J. 23:6914.
  2. Deveraux, Q. et al. (1997) Nature 388:300.
  3. Deveraux, Q. and J. Reed (1999) Genes & Develop. 13:239.
  4. Srinivasula, S.M. et al. (2003) J. Biol. Chem. 278:31469.
  5. Yang, Q-H. et al. (2003) Genes Dev. 17:1487.

Alternate Names

BIRC3, cIAP2, HIAP-1, MIHC

Entrez Gene IDs

330 (Human)

Gene Symbol

BIRC3

UniProt

Additional cIAP-2/HIAP-1 Products

Product Documents for Human/Mouse cIAP-2/HIAP-1 Antibody

Certificate of Analysis

To download a Certificate of Analysis, please enter a lot number in the search box below.

Note: Certificate of Analysis not available for kit components.

Product Specific Notices for Human/Mouse cIAP-2/HIAP-1 Antibody

For research use only

Loading...
Loading...
Loading...
Loading...