Skip to main content

Human/Mouse CELSR2 Antibody

R&D Systems, part of Bio-Techne | Catalog # AF6739

R&D Systems, part of Bio-Techne
Discontinued Product
AF6739 has been discontinued. View all CELSR2 products.

Key Product Details

Species Reactivity

Validated:

Human, Mouse

Cited:

Mouse

Applications

Validated:

Immunohistochemistry, Western Blot, Flow Cytometry, CyTOF-ready

Cited:

Western Blot

Label

Unconjugated

Antibody Source

Polyclonal Goat IgG

Product Specifications

Immunogen

E. coli-derived recombinant human CELSR2
Cys51-Phe231
Accession # Q9HCU4

Specificity

Detects human CELSR2 in direct ELISAs and Western blots. In direct ELISAs, less than 5% cross-reactivity with recombinant human (rh) CELSR1 and rhCELSR3 is observed.

Clonality

Polyclonal

Host

Goat

Isotype

IgG

Scientific Data Images for Human/Mouse CELSR2 Antibody

Detection of CELSR2 antibody by Western Blot.

Detection of CELSR2 by Western Blot.

Western blot shows lysates of HEK293 human embryonic kidney cell line either mock transfected or transfected with human CELSR2. PVDF Membrane was probed with 1 µg/mL of Goat Anti-Human CELSR2 Antigen Affinity-purified Polyclonal Antibody (Catalog # AF6739) followed by HRP-conjugated Anti-Goat IgG Secondary Antibody (Catalog # HAF019). A specific band was detected for CELSR2 at approximately 240 kDa (as indicated). This experiment was conducted under reducing conditions and using Immunoblot Buffer Group 8.
Detection of CELSR2 antibody in SH-SY5Y Human Cell Line antibody by Flow Cytometry.

Detection of CELSR2 in SH‑SY5Y Human Cell Line by Flow Cytometry.

SH-SY5Y human neuroblastoma cell line was stained with Goat Anti-Human CELSR2 Antigen Affinity-purified Polyclonal Antibody (Catalog # AF6739, filled histogram) or isotype control antibody (Catalog # AB-108-C, open histogram), followed by Allophycocyanin-conjugated Anti-Goat IgG Secondary Antibody (Catalog # F0108).
Detection of CELSR2 antibody in bEnd.3 Mouse Cell Line antibody by Flow Cytometry.

Detection of CELSR2 in bEnd.3 Mouse Cell Line by Flow Cytometry.

bEnd.3 mouse endothelioma cell line was stained with Goat Anti-Human CELSR2 Antigen Affinity-purified Polyclonal Antibody (Catalog # AF6739, filled histogram) or isotype control antibody (Catalog # AB-108-C, open histogram), followed by Allophycocyanin-conjugated Anti-Goat IgG Secondary Antibody (Catalog # F0108).

Applications for Human/Mouse CELSR2 Antibody

Application
Recommended Usage

CyTOF-ready

Ready to be labeled using established conjugation methods. No BSA or other carrier proteins that could interfere with conjugation.

Flow Cytometry

2.5 µg/106 cells
Sample: SH‑SY5Y human neuroblastoma cell line and bEnd.3 mouse endothelioma cell line

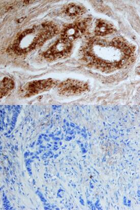
Immunohistochemistry

5-15 µg/mL
Sample: Immersion fixed paraffin-embedded sections of human breast

Western Blot

1 µg/mL
Sample: HEK293 human embryonic kidney cell line transfected with human CELSR2

Reviewed Applications

Read 1 review rated 4 using AF6739 in the following applications:

Formulation, Preparation, and Storage

Purification

Antigen Affinity-purified

Reconstitution

Sterile PBS to a final concentration of 0.2 mg/mL. For liquid material, refer to CoA for concentration.

Formulation

Lyophilized from a 0.2 μm filtered solution in PBS with Trehalose. *Small pack size (SP) is supplied either lyophilized or as a 0.2 µm filtered solution in PBS.

Shipping

Lyophilized product is shipped at ambient temperature. Liquid small pack size (-SP) is shipped with polar packs. Upon receipt, store immediately at the temperature recommended below.

Stability & Storage

Use a manual defrost freezer and avoid repeated freeze-thaw cycles.
  • 12 months from date of receipt, -20 to -70 °C as supplied.
  • 1 month, 2 to 8 °C under sterile conditions after reconstitution.
  • 6 months, -20 to -70 °C under sterile conditions after reconstitution.

Background: CELSR2

CELSR2 (Cadherin EGF LAG seven-pass G-type receptor 2; also cadherin family member 10/CDHF10, Flamingo1 and EGFL2) is a 300-330 kDa member of the LN‑7TM subfamily, GPCR 2 family of proteins. It is expressed on neurons, breast epithelium, Sertoli cells and germ cells, and through homophilic interactions, serves as either an adhesion or guidance molecule. Mature human CELSR2 is 2892 amino acids in length (aa 32-2923). It is a highly complex 7-transmembrane protein that contains a 2349 aa extended N-terminal extracellular region (aa 32-2380) plus a 310 aa C-terminal cytoplasmic domain. The N-terminal region contains nine consecutive cadherin domains (aa 182-1146) followed by a mixture of seven EGF-like and three laminin-like domains. There is a proteolytic cleavage site between Met2356-Thr2357 that generates a 250 kDa soluble fragment and a (mature) 60-65 kDa transmembrane segment that may reside on the cell membrane. Over aa 51‑231, human CELSR2 shares 93% aa identity with mouse CELSR2.

Long Name

Cadherin, EGF LAG Seven-pass G-type Receptor 2

Alternate Names

CDHF10, EGFL2, Flamingo1, MEGF3

Entrez Gene IDs

1952 (Human); 53883 (Mouse); 83465 (Rat)

Gene Symbol

CELSR2

UniProt

Additional CELSR2 Products

Product Documents for Human/Mouse CELSR2 Antibody

Certificate of Analysis

To download a Certificate of Analysis, please enter a lot number in the search box below.

Note: Certificate of Analysis not available for kit components.

Product Specific Notices for Human/Mouse CELSR2 Antibody

For research use only

Loading...
Loading...
Loading...
Loading...
Loading...