Skip to main content

Key Product Details

Validated by

Biological Validation

Species Reactivity

Validated:

Human, Mouse

Cited:

Mouse, Transgenic Mouse

Applications

Validated:

Western Blot

Cited:

Immunohistochemistry-Frozen, Western Blot

Label

Unconjugated

Antibody Source

Monoclonal Rat IgG1 Clone # 91508

Product Specifications

Immunogen

E. coli-derived recombinant mouse BID
Met1-Asp195
Accession # P70444

Specificity

Detects human and mouse BID in Western blots. Detects full-length mouse BID and the 15 kDa carboxyl-terminal fragment (tBID) generated by cleavage with Caspase-8. The antibody also detects human BID. However, in Western blots of recombinant human and mouse BID, the antibody is most sensitive for mouse BID.

Clonality

Monoclonal

Host

Rat

Isotype

IgG1

Scientific Data Images for Human/Mouse BID Antibody

Detection of Human and Mouse BID antibody by Western Blot.

Detection of Human and Mouse BID by Western Blot.

Western blot shows lysates of Recombinant Mouse BID and Recombinant Human BID untreated (-) or treated (+) with Caspase-8. PVDF membrane was probed with 1 µg/mL Rat Anti-Human/Mouse BID Monoclonal Antibody (Catalog # MAB860) followed by HRP-conjugated Anti-Rat IgG Secondary Antibody (Catalog # HAF005). Specific bands for BID were detected at approximately 12 kDa and 20 kDa (as indicated). This experiment was conducted under reducing conditions and using Immunoblot Buffer Group 4.
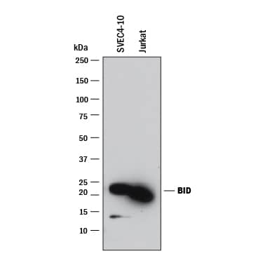
Detection of Human and Mouse BID antibody by Western Blot.

Detection of Human and Mouse BID by Western Blot.

Western blot shows lysates of SVEC4-10 mouse vascular endothelial cell line and Jurkat human acute T cell leukemia cell line. PVDF membrane was probed with 1 µg/mL of Rat Anti-Human/Mouse BID Monoclonal Antibody (Catalog # MAB860) followed by HRP-conjugated Anti-Rat IgG Secondary Antibody (Catalog # HAF005). A specific band was detected for BID at approximately 20 kDa (as indicated). This experiment was conducted under reducing conditions and using Immunoblot Buffer Group 1.
Detection of BID by Western Blot

Detection of BID by Western Blot

Vector control S. Typhimurium does not activate apoptotic backup pathways in vitro.(A–E) Bone marrow-derived macrophages (BMMs) were infected with indicated SPI2-induced S. Typhimurium strains. (A) Western blot analysis of whole cell lysates at 4 hpi. Results from one experiment. (B) Lactate dehydrogenase (LDH) release at 1–8 hpi. Results representative of three independent experiments. Data are represented as mean ± SD of three technical replicates. Data performed at the same time as Figure 1E, graphed separately for visualization. (C) LDH release at 1–8 hpi. Results from one experiment. Data are represented as mean ± SD of three technical replicates. (D–E) Immunofluorescence and brightfield at 4 hpi. Cells were stained with PI, cleaved caspase-3/7, and Hoechst. Representative image from two (brightfield, PI) or one (cleaved caspase-3/7) independent experiments. Data performed at the same time as Figure 1F. (D) 60 x magnification, scale bar 20 µm. (E) 20 x stitched image, scale bar 500 µm.Figure 1—figure supplement 1—source data 1.Western blot images for Figure 1—figure supplement 1A.Figure 1—figure supplement 1—source data 2.Data for Figure 1—figure supplement 1B–C.Western blot images for Figure 1—figure supplement 1A.Data for Figure 1—figure supplement 1B–C. Image collected and cropped by CiteAb from the following open publication (https://pubmed.ncbi.nlm.nih.gov/38055781), licensed under a CC-BY license. Not internally tested by R&D Systems.

Applications for Human/Mouse BID Antibody

Application
Recommended Usage

Western Blot

1 µg/mL
Sample: Recombinant Mouse BID and Recombinant Human BID untreated or treated with Caspase-8, SVEC4‑10 mouse vascular endothelial cell line, and Jurkat human acute T cell leukemia cell line

Reviewed Applications

Read 3 reviews rated 4.3 using MAB860 in the following applications:

Formulation, Preparation, and Storage

Purification

Protein A or G purified from hybridoma culture supernatant

Reconstitution

Reconstitute at 0.5 mg/mL in sterile PBS. For liquid material, refer to CoA for concentration.

Reconstitution Buffer Available:
Size / Price
Qty
Loading...

Formulation

Lyophilized from a 0.2 μm filtered solution in PBS with Trehalose. *Small pack size (SP) is supplied either lyophilized or as a 0.2 µm filtered solution in PBS.

Shipping

Lyophilized product is shipped at ambient temperature. Liquid small pack size (-SP) is shipped with polar packs. Upon receipt, store immediately at the temperature recommended below.

Stability & Storage

Use a manual defrost freezer and avoid repeated freeze-thaw cycles.
  • 12 months from date of receipt, -20 to -70 °C as supplied.
  • 1 month, 2 to 8 °C under sterile conditions after reconstitution.
  • 6 months, -20 to -70 °C under sterile conditions after reconstitution.

Background: BID

BID is a member of the Bcl-2 family of proteins that regulates outer mitochondrial membrane permeability. BID is cytosolic in healthy cells but upon delivery of an apoptotic signal, BID is cleaved by Caspase-8. The cleaved form is translocated to the mitochondria outer membrane where it binds to BAK and the resulting complex causes altered mitochondrial membrane permeability.

Long Name

BH3 Interacting Domain Death Agonist

Alternate Names

apoptic death agonist, BH3 interacting domain death agonist, BH3-interacting domain death agonist, BID isoform ES(1b), BID isoform L(2), BID isoform Si6, desmocollin type 4, FP497, Human BID coding sequence, MGC15319, MGC42355, p22 BID, tbid

Entrez Gene IDs

637 (Human); 12122 (Mouse)

Gene Symbol

BID

UniProt

Additional BID Products

Product Documents for Human/Mouse BID Antibody

Certificate of Analysis

To download a Certificate of Analysis, please enter a lot number in the search box below.

Note: Certificate of Analysis not available for kit components.

Product Specific Notices for Human/Mouse BID Antibody

For research use only

Loading...
Loading...
Loading...
Loading...
Loading...