Skip to main content

Human MMP-9 Antibody

R&D Systems, part of Bio-Techne | Catalog # AB911

Catalog #
Availability
Size / Price
Qty
Loading...
AB911

Key Product Details

Species Reactivity

Validated:

Human

Cited:

Human

Applications

Validated:

Immunohistochemistry, Western Blot, Immunocytochemistry, Immunoprecipitation

Cited:

Immunohistochemistry, Western Blot

Label

Unconjugated

Antibody Source

Polyclonal Goat IgG

Product Specifications

Immunogen

Chinese hamster ovary cell line CHO-derived recombinant human MMP-9

Specificity

Detects human MMP‑9 in Western blots. In Western blots, less than 1% cross-reactivity with recombinant human MMP-1, -2, -3, -7, -8, -10, -12 and -13 is observed.

Clonality

Polyclonal

Host

Goat

Isotype

IgG

Scientific Data Images for Human MMP-9 Antibody

MMP-9 antibody in MMP-9 transfected NS0 Mouse Cell Line by Immunocytochemistry (ICC).

MMP‑9 in MMP‑9 transfected NS0 Mouse Cell Line.

MMP‑9 was detected in immersion fixed MMP-9 transfected NS0 mouse myeloma cell line using Goat Anti-Human MMP‑9 Polyclonal Antibody (Catalog # AB911) at 5 µg/mL for 3 hours at room temperature. Cells were stained (red) and counterstained (green). Specific labeling was localized to the cytoplasm. View our protocol for Fluorescent ICC Staining of Cells on Coverslips.
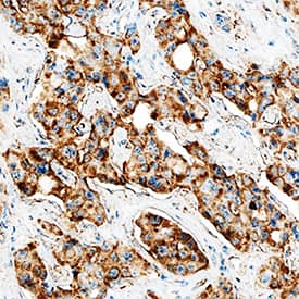
MMP-9 antibody in Human Liver Cancer Tissue by Immunohistochemistry (IHC-P).

MMP‑9 in Human Liver Cancer Tissue.

MMP-9 was detected in immersion fixed paraffin-embedded sections of human liver cancer tissue using Goat Anti-Human MMP-9 Polyclonal Antibody (Catalog # AB911) at 10 µg/mL overnight at 4 °C. Tissue was stained using the Anti-Goat HRP-DAB Cell & Tissue Staining Kit (brown; Catalog # CTS008) and counterstained with hematoxylin (blue). Specific staining was localized to cytoplasm in cancer cells. View our protocol for Chromogenic IHC Staining of Paraffin-embedded Tissue Sections.
Detection of MMP-9 by Western Blot

Detection of MMP-9 by Western Blot

Neutrophil degranulation is increased in response to C3d treatment. Neutrophils isolated from HC individuals were incubated at 37 °C and remained unstimulated (Con) or were stimulated with C3d (2–40 µg/mL) or TNF-alpha (10 ng / 2 × 107 cells) (A–C). (A) Cell-free supernatants were collected at 10 min and immunoblotted for markers of tertiary granule (MMP-9), secondary granule (hCAP-18), or primary granule (BPI) release. Densitometry of MMP-9 (B), hCAP-18 (C), and BLPI (D) immunobands was performed. Western blot analyses of whole cell lysates demonstrated equal expression levels of beta-actin, confirming the use of equal cell numbers per reaction. C3d-challenged neutrophils released significantly greater levels of all three granule types when compared to untreated controls (Con) (n = 5 biological repeats, ANOVA followed by Bonferroni post-hoc test for selected groups). All results are expressed as relative densitometry units (DU), with representative Western blots presented. Image collected and cropped by CiteAb from the following open publication (https://pubmed.ncbi.nlm.nih.gov/34944741), licensed under a CC-BY license. Not internally tested by R&D Systems.

Applications for Human MMP-9 Antibody

Application
Recommended Usage

Immunocytochemistry

5-15 µg/mL
Sample: Immersion fixed MMP‑9 transfected NS0 mouse myeloma cell line

Immunohistochemistry

5-15 µg/mL
Sample:  Immersion fixed paraffin-embedded sections of human liver cancer tissue

Immunoprecipitation

25 µg/mL
Sample: Conditioned cell culture medium spiked with Recombinant Human MMP-9 (Catalog # 911-MP), see our available Western blot detection antibodies

Western Blot

1 µg/mL
Sample: Recombinant Human MMP-9 Western Blot Standard (Catalog # WBC018)

Formulation, Preparation, and Storage

Purification

Protein A or G purified

Reconstitution

Reconstitute at 1 mg/mL in sterile PBS.

Reconstitution Buffer Available:
Size / Price
Qty
Loading...

Formulation

Lyophilized from a 0.2 μm filtered solution in PBS with Trehalose.

Shipping

The product is shipped at ambient temperature. Upon receipt, store it immediately at the temperature recommended below.

Stability & Storage

Use a manual defrost freezer and avoid repeated freeze-thaw cycles.
  • 12 months from date of receipt, -20 to -70 °C as supplied.
  • 1 month, 2 to 8 °C under sterile conditions after reconstitution.
  • 6 months, -20 to -70 °C under sterile conditions after reconstitution.

Background: MMP-9

MMP-9 (Gelatinase B) is a metalloproteinase that degrades multiple extracellular matrix components including Gelatin, Collagens III, IV, V, and XI, Elastin, Nidogen-1, and Vitronectin. It also cleaves a variety of chemokines and growth factors (e.g. IL-1 beta, CXCL8/IL-8, CXCL7, CXCL4, CXCL1, Latent TGF-beta, membrane bound TNF-alpha, VEGF, and FGF basic), Amyloid beta peptide, Substance P, and Myelin Basic Protein. MMP-9 can trigger signaling through various transmembrane proteins or inhibit signaling by inducing their shedding from the cell surface (e.g. CD44, E-Cadherin, Integrins, ICAM-1, and CD25/IL-2 R alpha). The activity of MMP-9 is regulated by its association with the TIMP-1 protease inhibitor. Circulating levels of MMP-9 are elevated in many inflammatory disorders including intraluminal thrombus formation, atherosclerosis, Crohn’s disease, hepatitis C virus infection, colorectal cancer, and Duchenne muscular dystrophy.

Long Name

Matrix Metalloproteinase 9

Alternate Names

CLG4B, Gelatinase B, GELB, MANDP2, MMP9

Entrez Gene IDs

4318 (Human); 17395 (Mouse); 81687 (Rat); 102117693 (Cynomolgus Monkey)

Gene Symbol

MMP9

Additional MMP-9 Products

Product Documents for Human MMP-9 Antibody

Certificate of Analysis

To download a Certificate of Analysis, please enter a lot number in the search box below.

Note: Certificate of Analysis not available for kit components.

Product Specific Notices for Human MMP-9 Antibody

For research use only

Loading...
Loading...
Loading...
Loading...
Loading...