Skip to main content

Key Product Details

Species Reactivity

Validated:

Human

Cited:

Human, Rabbit

Applications

Validated:

Immunohistochemistry, Western Blot, Immunoprecipitation

Cited:

Immunohistochemistry, Western Blot

Label

Unconjugated

Antibody Source

Polyclonal Goat IgG

Product Specifications

Immunogen

Mouse myeloma cell line NS0-derived recombinant human MMP-12
Leu17-Cys470
Accession # P39900

Specificity

Detects human MMP-12 in direct ELISAs and Western blots.

Clonality

Polyclonal

Host

Goat

Isotype

IgG

Scientific Data Images for Human MMP-12 Antibody

Detection of Human Pro-MMP-12 antibody by Western Blot.

Detection of Human Pro‑MMP‑12 by Western Blot.

Western blot shows lysates of human heart tissue. PVDF membrane was probed with 2 µg/mL of Goat Anti-Human MMP-12 Antigen Affinity-purified Polyclonal Antibody (Catalog # AF917) followed by HRP-conjugated Anti-Goat IgG Secondary Antibody (HAF019). A specific band was detected for Pro-MMP-12 at approximately 54 kDa (as indicated). This experiment was conducted under reducing conditions and using Immunoblot Buffer Group 8.
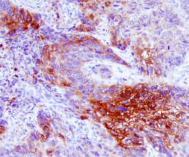
MMP-12 antibody in Human Squamous Cell Carcinoma by Immunohistochemistry (IHC-P).

MMP‑12 in Human Squamous Cell Carcinoma.

MMP-12 was detected in immersion fixed paraffin-embedded sections of human squamous cell carcinoma using Goat Anti-Human MMP-12 Antigen Affinity-purified Polyclonal Antibody (Catalog # AF917) at 10 µg/mL overnight at 4 °C. Before incubation with the primary antibody, tissue was subjected to heat-induced epitope retrieval using Antigen Retrieval Reagent-Basic (CTS013). Tissue was stained using the Anti-Goat HRP-DAB Cell & Tissue Staining Kit (brown; CTS008) and counterstained with hematoxylin (blue). Specific staining was localized to cancer cells. View our protocol for Chromogenic IHC Staining of Paraffin-embedded Tissue Sections.

Applications for Human MMP-12 Antibody

Application
Recommended Usage

Immunohistochemistry

5-15 µg/mL
Sample: Immersion fixed paraffin-embedded sections of human squamous cell carcinoma

Immunoprecipitation

25 µg/mL
Sample: Conditioned cell culture medium spiked with Recombinant Human MMP‑12 (Catalog # 917‑MP), see our available Western blot detection antibodies

Western Blot

2 µg/mL
Sample: Human heart tissue

Formulation, Preparation, and Storage

Purification

Antigen Affinity-purified

Reconstitution

Reconstitute at 0.2 mg/mL in sterile PBS. For liquid material, refer to CoA for concentration.

Reconstitution Buffer Available:
Size / Price
Qty
Loading...

Formulation

Lyophilized from a 0.2 μm filtered solution in PBS with Trehalose. *Small pack size (SP) is supplied either lyophilized or as a 0.2 µm filtered solution in PBS.

Shipping

Lyophilized product is shipped at ambient temperature. Liquid small pack size (-SP) is shipped with polar packs. Upon receipt, store immediately at the temperature recommended below.

Stability & Storage

Use a manual defrost freezer and avoid repeated freeze-thaw cycles.
  • 12 months from date of receipt, -20 to -70 °C as supplied.
  • 1 month, 2 to 8 °C under sterile conditions after reconstitution.
  • 6 months, -20 to -70 °C under sterile conditions after reconstitution.

Background: MMP-12

Matrix metalloproteinases (MMPs) are a family of zinc and calcium dependent endopeptidases with the combined ability to degrade all the components of the extracellular matrix. MMP-12 (macrophage elastase) is found in macrophages and its expression in monocytes can be induced by cytokines such as GM-CSF and CD40 signaling (1). In addition to elastin, MMP-12 can degrade a broad spectrum of substrates, including type IV collagen, fibronectin, laminin, vitronectin, proteoglycans, chondroitin sulfate, myelin basic protein, alpha1-antitrypsin, and plasminogen. It can also activate MMP-2 and MMP-3. MMP-12 is required for macrophage‑mediated proteolysis and matrix invasion in mice. MMP-12 is proposed to have a direct role in the pathogenesis of aortic aneurysms and in the development of pulmonary emphysema that results from chronic inhalation of cigarette smoke. Structurally, the pro MMP-12 consists of following domains: a pro domain, a catalytic domain containing the zinc-binding site, and a C-terminal hemopexin-like domain. The rhMMP-12 corresponds to the pro form that can be activated by autocatalysis under the conditions described above.

References

  1. S.D. Shapiro et al. (2004) in Handbook of Proteolytic Enzymes (eds. A.J. Barrett et al.) pp.540 - 544, Academic Press, San Diego.

Long Name

Matrix Metalloproteinase 12

Alternate Names

MMP12

Entrez Gene IDs

4321 (Human); 17381 (Mouse)

Gene Symbol

MMP12

UniProt

Additional MMP-12 Products

Product Documents for Human MMP-12 Antibody

Certificate of Analysis

To download a Certificate of Analysis, please enter a lot number in the search box below.

Note: Certificate of Analysis not available for kit components.

Product Specific Notices for Human MMP-12 Antibody

For research use only

Loading...
Loading...
Loading...
Loading...