Skip to main content

Key Product Details

Species Reactivity

Validated:

Human

Cited:

Human, Mouse

Applications

Validated:

Immunohistochemistry, Western Blot, ELISA Detection (Matched Antibody Pair)

Cited:

Immunohistochemistry, Immunohistochemistry-Paraffin, Western Blot, ELISA Development

Label

Biotin

Antibody Source

Polyclonal Goat IgG

Product Specifications

Immunogen

Mouse myeloma cell line NS0-derived recombinant human MICA
Ala22-Gln308
Accession # NP_001170990

Specificity

Detects human MICA in ELISAs and Western blots. In sandwich immunoassays, less than 0.2% cross reactivity with recombinant human (rh) MICB and rhMIC1 is observed.

Clonality

Polyclonal

Host

Goat

Isotype

IgG

Scientific Data Images for Human MICA Biotinylated Antibody

MICA antibody in Human Colon by Immunohistochemistry (IHC-P).

MICA in Human Colon.

MICA was detected in immersion fixed paraffin-embedded sections of human colon using Goat Anti-Human MICA Biotinylated Antigen Affinity-purified Polyclonal Antibody (Catalog # BAF1300) at 10 µg/mL overnight at 4 °C. Tissue was stained using the Anti-Goat HRP-DAB Cell & Tissue Staining Kit (brown; Catalog # CTS008) and counterstained with hematoxylin (blue). View our protocol for Chromogenic IHC Staining of Paraffin-embedded Tissue Sections.
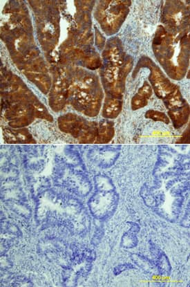
MICA antibody in Human Colon by Immunohistochemistry (IHC-P).

MICA in Human Colon.

MICA was detected in immersion fixed paraffin-embedded sections of human colon array using Goat Anti-Human MICA Biotinylated Antigen Affinity-purified Polyclonal Antibody (Catalog # BAF1300) at 10 µg/mL overnight at 4 °C. Tissue was stained using the Anti-Goat HRP-DAB Cell & Tissue Staining Kit (brown; Catalog # CTS008) and counterstained with hematoxylin (blue). Lower panel shows a lack of labeling if primary antibodies are omitted and tissue is stained only with secondary antibody followed by incubation with detection reagents. View our protocol for Chromogenic IHC Staining of Paraffin-embedded Tissue Sections.

Applications for Human MICA Biotinylated Antibody

Application
Recommended Usage

Immunohistochemistry

5-15 µg/mL
Sample: Immersion fixed paraffin-embedded sections of human breast cancer tissue and human colon

Western Blot

0.1 µg/mL
Sample: Recombinant Human MICA Fc Chimera (Catalog # 1300-MA)

Human MICA Sandwich Immunoassay

ELISA Detection (Matched Antibody Pair)
Recommended Concentration: 0.1-0.4 µg/mL
Use in combination with these reagents:
  • Capture Reagent: Human MICA Antibody (Catalog # MAB13002)
  • Standard: Recombinant Human MICA Fc Chimera Protein, CF (Catalog # 1300-MA)
Please Note: Optimal dilutions of this antibody should be experimentally determined.

Reviewed Applications

Read 1 review rated 3 using BAF1300 in the following applications:

Formulation, Preparation, and Storage

Purification

Antigen Affinity-purified

Reconstitution

Reconstitute at 0.2 mg/mL in sterile PBS.

Reconstitution Buffer Available:
Size / Price
Qty
Loading...

Formulation

Lyophilized from a 0.2 μm filtered solution in PBS with BSA as a carrier protein.

Shipping

The product is shipped at ambient temperature. Upon receipt, store it immediately at the temperature recommended below.

Stability & Storage

Use a manual defrost freezer and avoid repeated freeze-thaw cycles.
  • 12 months from date of receipt, -20 to -70 °C as supplied.
  • 1 month, 2 to 8 °C under sterile conditions after reconstitution.
  • 6 months, -20 to -70 °C under sterile conditions after reconstitution.

Background: MICA

MICA (MHC class I chain-related gene A) is a transmembrane glycoprotein that functions as a ligand for human NKG2D. A closely related protein, MICB, shares 85% amino acid identity with MICA. These proteins are distantly related to the MHC class I proteins. They possess three extracellular Ig-like domains, but they have no capacity to bind peptide or interact with beta2-microglobulin. The genes encoding these proteins are found within the Major Histocompatibility Complex on human chromosome 6. The MICA locus is highly polymorphic with more than 50 recognized human alleles. MICA is absent from most cells but is frequently expressed in epithelial tumors and can be induced by bacterial and viral infections. MICA is a ligand for human NKG2D, an activating receptor expressed on NK cells, NKT cells, gamma delta T cells, and CD8+ alpha beta T cells. Recognition of MICA by NKG2D results in the activation of cytolytic activity and/or cytokine production by these effector cells. MICA recognition is involved in tumor surveillance, viral infections, and autoimmune diseases.

References

  1. Groh, V. et al. (2001) Nature Immunol. 2:255.
  2. Stephens, H. (2001) Trends Immunol. 22:378.
  3. Bauer, S. et al. (1999) Science 285:727.
  4. Groh, V. et al. (2002) Nature 419:734.
  5. Steinle, A. et al. (2001) Immunogenetics 53:279.
  6. Pende, D. et al. (2002) Cancer Res. 62:6178.
  7. NKG2D and its Ligands (2002) http://www.RnDSystems.com.

Long Name

MHC Class I-related Protein A

Alternate Names

FLJ60820, MGC111087, PERB11.1

Entrez Gene IDs

100507436 (Human)

Gene Symbol

MICA

UniProt

Additional MICA Products

Product Documents for Human MICA Biotinylated Antibody

Certificate of Analysis

To download a Certificate of Analysis, please enter a lot number in the search box below.

Note: Certificate of Analysis not available for kit components.

Product Specific Notices for Human MICA Biotinylated Antibody

For research use only

Loading...
Loading...
Loading...
Loading...